Предхирургический этап лечения
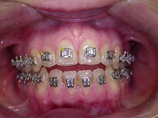
На первом этапе лечения больным в основной группе фиксировали несъемную ортодонтическую аппаратуру - брекет-систему фирм “Dentarum” (Германия) и “Leone” (Италия) с характеристикой рабочего паза 0,018 дюйма (рис. 3.2.1 а, б, с).

а

Б в
Рис. 3.2.1 (а, б, с). Фото больного «А», 29 лет, основная группа. Предхирургический этап лечения (установка брекет-системы прямым способом).
Фиксация брекетов проводилась прямым способом – фотополимерным композитом. Для нивелирования зубных рядов использовались круглые нитиноловые дуги от 0,012 до 0,018 дюйма и прямоугольные 0,016x0,022 – 0,017х 0,125 дюйма. При нивелировании зубов в зубную дугу закрывали тремы и диастему, придавали зубам физиологическую ангуляцию и торк.
Продолжительнось первого этапа лечения в основной группе составила - 90 дней.
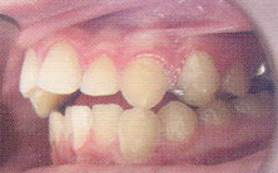
На первом этапе лечения больным в контрольной группе фиксировали несъемную ортодонтическую аппаратуру - брекет-систему фирм “Dentarum” (Германия) и “Leone” (Италия) с характеристикой рабочего паза 0,018 дюйма (рис. 3.2.5 а, б, с).

а

Б в
Рис. 3.2.5 (а, б, с). Фото больного «Б», 25 лет, контрольная группа, перед ортодонтическим лечением.
Фиксация брекетов проводилась прямым способом – фотополимерным композитом. Для нивелирования зубных рядов использовались круглые нитиноловые дуги от 0,012 до 0,018 дюйма и прямоугольные 0,016x0,022 – 0,017х 0,125 дюйма (рис. 3.2.6 а, б, с). При нивелировании зубов в зубную дугу закрывали тремы и диастему, придавали зубам физиологическую ангуляцию и торк.

а

Б в
Рис. 3.2.6 (а, б, с). Фото больного «Б», 25 лет, контрольная группа. Установка брекет-системы, нивелирование зубов в зубную дугу
Продолжительнось первого этапа лечения в контрольной группе составила - 90 дней.
Дата добавления: 2015-08-04; просмотров: 1173;
