ГЛАВА 344. ЧЕРЕПНО-МОЗГОВАЯ И СПИНАЛЬНАЯ ТРАВМЫ
Л. X. Роппер (А. Н. Hopper)
Черепно-мозговые травмы особенно распространены в индустриально развитых странах, причем многие бальные поражаются в зрелом трудоспособном возрасте. Чтобы оценить медицинское и социальное значение этой проблемы, следует указать, что ежегодно травмы головы получают почти 10 млн американцев и примерно 20% из них настолько серьезны, что сопровождаются повреждением головного мозга. Среди мужчин моложе 35 лет основной причиной смерти служат несчастные случаи, особенно дорожно-транспортные происшествия, которые более чем в 70 % случаев сопровождаются травмами головы. Небольшие травмы головы распространены настолько широко, что практически все врачи сталкиваются с пациентами, требующими неотложной помощи или имеющими различные последствия перенесенных травм. Черепно-мозговым травмам часто сопутствуют травматические поражения спинного мозга. Оба варианта травм лучше всего рассматривать вместе в разделе, посвященном травмам нервной системы.
Снижение летальности при черепно-мозговых и спинальных травмах за последнее десятилетие можно объяснить главным образом мерами общественной охраны здоровья, такими как использование ремней безопасности и мотоциклетных шлемов, а также развитием системы скорой медицинской помощи с квалифицированным персоналом. Для того чтобы правильно поставить диагноз, назначить адекватное лечение и определить прогноз, врач должен распознать все патологические процессы, обусловленные полученной трамой.
Типы черепно-мозговых травм
Переломы костей черепа
Удары черепа вызывают переломы в тех случаях, когда их сила превышает эластическую толерантность костей. В ^/з случаев переломам костей черепа сопутствуют внутричерепные поражения. Наличие перелома черепа во много раз повышает вероятность возникновения непосредственно под ним субдуральной или эпидуральной гематомы. Следовательно, особенности переломов служат важными указателями локализации и степени тяжести травмы; они вызывают также повреждения черепных нервов и создают пути проникновения в спинномозговую жидкость (СМЖ) для бактерий (менингит), воздуха (пневмоцефалия) и пути утечки СМЖ. Переломы классифицируются на линейные, переломы основания черепа, сложные и вдавленные. На долю линейных переломов приходится 80% переломов костей черепа, и им чаще всего сопутствуют субдуральные и эпидуральные гематомы. Линейные переломы обычно распространяются от места нанесения удара до основания черепа.
Переломы основания черепа часто являются продолжением близко локализующихся переломов конвекситальной поверхности черепа, но могут возникать изолированно в связи с нагрузкой на дно средней черепной ямки или на затылочный отдел. Обычно они располагаются параллельно каменистой части височной кости или вдоль клиновидной кости в направлении к турецкому седлу и решетчатой борозде носовой кости. В большинстве случаев переломы бывают неосложненными, но они могут обусловливать утечку СМЖ, пневмоцефалию, образование каротидно-кавернозного соустья. Переломы костей основания черепа нередко сопровождаются симптомами гемотимпанита (кровь за барабанной перепонкой), поздним кровоподтеком над сосцевидным отростком (симптом Battle) или периорбитальным экхимозом («симптом енота»). Поскольку обычное рентгенологическое обследование не всегда позволяет диагностировать переломы костей основания черепа, подозрение о них должно возникать при наличии данных клинических симптомов. Утечка СМЖ может происходить также через решетчатую пластинку и прилежащую пазуху и проявляться в виде водянистых выделений из носа (ликворная ринорея). Персистирующая ринорея или рецидивирующий менингит служат показанием для хирургического восстановления поврежденных оболочек мозга в месте перелома. Зачастую бывает сложно установить место истечения СМЖ, и в таких случаях целесообразно выполнить компьютерную томографию с предварительной инсталляцией в СМЖ метризамида или введение в СМЖ радиоизотопа или флюоресцеина с последующим исследованием поглощения абсорбирующими носовыми тампонами. Область периодических утечек визуализируется редко; чаще всего происходит их спонтанное устранение. Переломы турецкого седла, не диагностируемые иногда с помощью радиологических методов, могут приводить к выраженным нейроэндокринным расстройствам. Иногда переломы спинки турецкого седла вызывают параличи VI и VII нервов, повреждения зрительного нерва. Наличие граничащего с воздухом уровня жидкости в пазухе клиновидной кости свидетельствует о переломе в области дна турецкого седла.
При переломах каменистой части височной кости, обычно по длинной ее оси, в 20% случаев наблюдают паралич лицевого нерва. Другими осложнениями являются разъединения слуховых косточек и ликворная оторея. Поперечные переломы каменистой части височной кости происходят реже, но почти всегда сопровождаются повреждениями улитки, лабиринтов и часто — лицевого нерва. Наружное кровотечение из уха может быть вызвано переломами каменистой кости, но чаще наблюдается локальный разрыв наружного канала при ссадинах. Переломы лобной кости часто имеют характер вдавленных, с вовлечением лобных, параназальных пазух и глазниц; если происходит перерыв обонятельных нитей, прободающих решетчатую пластику, может возникнуть аносмия.
Вдавленные переломы костей черепа часто бывают сложными, поскольку энергия удара при формировании перелома рассеивается, но за исключением амнезии, обусловленной сотрясением мозга, не проявляется клинически.
Некоторые переломы приводят к ушибам мозга и появлению очаговых неврологических симптомов, соответствующих поражению нижерасположенного участка коры. В большинстве случаев требуется хирургическое лечение с элевацией костей. Запоздалая или неполная хирургическая обработка раны сопряжена с высокой частотой инфекции. При рваных ранах кожных покровов над областью перелома костей черепа и разрыве нижерасположенных оболочек мозга, а также прохождении перелома через заднюю стенку полости носа в полость черепа могут проникнуть бактерии или воздух, что приводит к менингиту, развитию абсцесса или пневмоцефалии.
Травмы черепных нервов
К числу черепных нервов, подверженных травматизации при переломах костей основания черепа, относятся обонятельный, зрительный, глазодвигательный, блоковый, первая и вторая ветви тройничного, лицевой и слуховой нервы. Аносмия и утрата вкусовой чувствительности (особенно потеря восприятия ароматических запахов с сохранностью элементарных вкусовых ощущений) отмечается примерно в 10% случаев серьезных травм головы, особенно ее задней части. Это происходит в связи со смещением мозга и пересечением волокон обонятельного нерва. После выздоровления остаточная гипосмия обычно сохраняется, но, если на протяжении нескольких месяцев у больного диагностируют двустороннюю аносмию, это свидетельствует о неблагоприятном прогнозе. Переломы клиновидной кости могут вызвать ушиб или перерыв зрительного нерва и привести к полной или частичной слепоте на стороне поражения, а также выпадению прямой реакции зрачка на свет (при равной величине зрачков) с сохранением содружественной реакции. Частичные травмы зрительных нервов при закрытых черепно-мозговых травмах обусловливают нечеткость, расплывчатость зрения, центральные или парацентральные скотомы и секторальные дефекты полей зрения. Характер восстановления зрения широко варьирует; прямая травма глазницы может явиться причиной кратковременного затуманивания видения близко расположенных предметов в связи с преходящей иридоплегией. Травма глазодвигательного нерва вызывает поворот глазного яблока кнаружи, невозможность его движений кнутри и по вертикали, фиксированное расширение зрачка, тогда как острота зрения не страдает. Двоение, отмечающееся лишь при взгляде вниз, свидетельствует о поражении блокового нерва при переломе малого крыла клиновидной кости. Нередко изолированное поражение блокового нерва при небольшой травме, проявляющееся лишь через несколько дней. Больные сообщают об исчезновении двоения при повороте головы в противоположную от пораженного глаза сторону. Прямая травма лицевого нерва при переломе основания черепа проявляется немедленно у 3% больных с тяжелыми травмами, но может быть диагностирована и лишь спустя 5—7 дней. Данное поражение характерно для переломов каменистой части височной кости, особенно при менее распространенных переломах поперечного типа. При задержанном параличе лицевого нерва прогноз благоприятный; механизм его развития неизвестен. Травма VIII черепного нерва при переломах каменистой части височной кости немедленно приводит к снижению слуха, головокружению и нистагму; нистагм часто бывает позиционным. Глухота, обусловленная травмой нерва, должна быть отдифференцирована от глухоты вследствие разрыва барабанной перепонки, кровоизлияния в среднее ухо и разъединения слуховых косточек при переломе, проходящем через среднее ухо. Потеря восприятия высоких звуков происходит при непосредственном сотрясении улитки внутреннего уха.
Сотрясение
Сотрясение характеризуется немедленной, но преходящей утратой сознания, часто описывается как «ошеломляющий и неожиданный удар» и сопровождается кратковременной амнезией. Обычно причиной его служит тупой удар по лобной или затылочной области, что обусловливает резкое движение мозга внутри полости черепа. В тяжелых случаях могут появиться симптомы со стороны вегетативной нервной системы — бледность, брадикардия, состояние слабости или дурноты, нерезко выраженная гипотензия, вялые реакции зрачков, но у большинства больных отклонений в неврологическом статусе не обнаруживают. Высшие приматы особенно восприимчивы к сотрясению мозга, тогда как некоторые животные, в том числе и птицы (например, козлы, бараны, дятлы), способны переносить удары и обратные толчки, скорость которых в сотни раз превышает те, что может переносить человек. Полагают, что механизмом потери сознания при сотрясении мозга служит преходящая электрофизиологическая дисфункция активирующей ретикулярной системы верхнего отдела среднего мозга, вызванная ротацией больших полушарий на относительно фиксированном стволе мозга. Механизм амнезии неизвестен. При сотрясении больших и малых микроскопических изменений в мозге обычно не происходит, но выявляемые биохимические и ультраструктурные изменения, такие как истощение митохондриальной АТФ и местное нарушение гематоэнцефалического барьера, свидетельствуют о том, что происходят сложные сдвиги. При компьютерной томографии получают нормальные результаты, а в СМЖ обычно не находят эритроцитов, как это бывает при более тяжелых травмах.
Амнезия при сотрясении обычно следует за несколькими мгновениями пребывания больного в бессознательном состоянии после травмы, хотя крайне редко потери сознания не наблюдают вообще. При легких травмах из памяти больного выпадают момент получения травмы и предшествующие ему эпизоды, при более тяжелых амнезия распространяется на предшествовавшие недели (редко — месяцы). Антероградная амнезия обычно бывает кратковременной и быстро исчезает у больных, находящихся в ясном сознании. Выраженность ретроградной амнезии предлагается рассматривать в качестве ориентировочного критерия оценки тяжести травмы. Улучшение обычно отмечается при последовательном восстановлении от ранее произошедших событий до более поздних воспоминаний, при этом в тяжелых случаях иногда сохраняются островки амнезии. Не редкость и истерическая посттравматическая амнезия — состояние, при котором больной старается подробно изложить события, о которых он не сможет вспомнить при последующем обследовании, совершает эксцентричные действия, не может вспомнить свое имя. При этом наблюдают также несоразмерные или избирательные выпадения памяти или чрезмерный антероградный дефицит в сравнении с тяжестью травмы.
Ушиб, кровоизлияние в мозг и резаные повреждения
Поражения полушарий мозга. Ушибы поверхности мозга и кровоизлияния могут быть вызваны сильными механическими воздействиями, перемещающими полушария относительно черепа. Торможение смещающегося мозга приводит к его ушибам о внутреннюю поверхность черепа, локализующимся как непосредственно над местом нанесения удара (поражение за счет удара), так и в противоположной области мозга (поражение за счет противоудара). Если в результате ушиба больной после кратковременного пребывания в сознании впадает на длительное время в бессознательное состояние, следует заподозрить у него закрытую травму мозга, варьирующую от мелких поверхностных кортикальных петехий до геморрагического или некротического разрушения обширных участков полушария. Поскольку при тупом ударе, например, о приборную доску автомобиля полушария мозга смещаются, они соприкасаются с выступающими частями костей основания черепа (клиновидной и лобной), что приводит к ушибам орбитальных поверхностей лобных долей, передних и базальных отделов височных долей. Передний отдел мозолистого тела также может подвергнуться ушибу при ударе о серп мозга. При воздействии сил с боковым направлением, например, при ударе о дверцу машины ушибам подвергается поверхность полушарий.
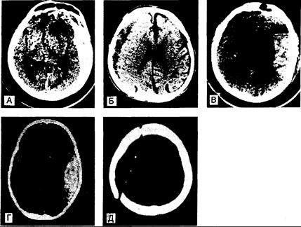
При компьютерной томографии места ушибов проявляются в виде расплывчатых участков повышенной яркости, соответствующих зонам кортикальных и субкортикальных кровоизлияний с сопутствующим отеком мозга, обусловливающим смещение прилежащих структур, в частности боковых желудочков мозга (рис. 344-1, в). Несколько часов спустя окружающая отечная ткань визуализируется в виде кольца низкой плотности. Сливающиеся, приближающиеся к округлой форме места ушибов можно отдифференцировать от зон спонтанных внутримозговых кровоизлияний по той особенности, что первые распространяются до поверхности коры. В отдельных случаях через неделю вокруг области ушиба при контрастном усилении можно выявить кольцевидное образование, которое ошибочно принимают за опухоль или абсцесс. Глиальные и макрофагальные реакции, начинающиеся в течение 2 дней, спустя год вызывают образование рубцовых наполненных гемосидерином углублений на поверхности мозга (plaques jaune), служащих одной из причин посттравматической эпилепсии. Крупные одиночные кровоизлияния после небольшой травмы возникают у больных с геморрагическими диатезами или лиц пожилого возраста. Иногда они бывают обусловлены амилоидозом сосудов головного мозга.
Клинические симптомы ушиба зависят от его локализации и величины; чаще всего это гемипарез и поворот взора (gase preference), что напоминает картину инсульта в бассейне левой средней мозговой артерии. Массивные двусторонние ушибы вызывают кому с разгибательной установкой туловища. Если произошел ушиб лобных долей, больной находится в состоянии абулии, он неразговорчив, у него может появиться неадекватное чувство юмора. Ушибы височных долей вызывают синдром агрессивно-воинственного поведения, описываемый ниже. При значительных ушибах наиболее угрожающий характер носит вторичный эффект прогрессирующего отека мозга. В случае его нарастания наступает кома с симптомами вторичного сдавления ствола мозга (расширение зрачков). В период непосредственно после ушиба, как и вообще в течение нескольких недель после большинства острых травм головы, эпилептические припадки возникают редко.
Глубокие кровоизлияния в центральное белое вещество могут являться результатом слияния ушибов в глубине борозды. Между тем кровоизлияние в подкорковые узлы и промежуточный мозг и другие глубинные гематомы, обусловленные воздействиями на мозг сил вращательного и рассекающего характера, часто возникают независимо от поверхностного поражения. В окружающей гематому ткани мозга может формироваться отек, приводящий к увеличению пораженной области в объеме и нарастающему повышению внутричерепного давления.

Рис. 344-1. Компьютерные томограммы больных с черепно-мозговой травмой. а — острые субдуральные гематомы со сдавлением прилежащей ткани мозга; б — хроническая субдуральная гематома, рентгенологически менее плотная, чем ткань мозга; в — контузионно-травматическое кровоизлияние в лобной и теменной долях; г — эпидуральная гематома, вызванная переломом с разрывом средней оболочечной артерии. Типичное чечсвицеобразное очертание кровоизлияния; д — переломы черепа по ходу траектории движения пули. Изменение окон при анализе КТ даст преимущество в визуализации переломов и рентгенологически плотных объектов. При этом изображение напоминает простую рентгенограмму.
Другой тип поражения белого вещества — «рассечение» — патологоанатомически характеризуется распространенными острыми разрывами аксонов. В областях поражения белого вещества в течение нескольких месяцев происходит глиальная пролиферация. Характерны небольшие участки тканевых разрывов в мозолистом теле и дорсолатеральных отделах моста. Множественностью перерывов аксонов в глубинном белом веществе обоих полушарий можно объяснить стойкость сохранения комы или вегетативного состояния, но частоих причиной служат также кровоизлияния в средний и промежуточный мозг. Поражения по типу рассечения обычно не визуализируются при компьютерной томографии (КТ), но в тяжелых случаях определяются мелкие кровоизлияния в мозолистом теле и полуовальном центре.
Иногда черепно-мозговая травма вызывает диффузный отек мозга в течение нескольких часов после травмы. Большинство таких случаев обусловлено обширным ушибом, хотя при КТ не удается выявить значительных очаговых поражений и кровоизлияния; отек приводит к масс-эффекту с гибельными последствиями. Данная проблема встречается у детей и взрослых лиц молодого возраста, у которых генерализованный отек мозга может развиться немедленно, по-видимому, в связи с микрососудистыми разрывами, гипертензией и резко увеличенным мозговым кровотоком.
Глубокие внутримозговые кровоизлияния могут возникать через несколько дней после тяжелой травмы. При внезапном нарастании неврологической симптоматики часто у больных, уже находящихся в коме, или стойком необъяснимом повышении внутричерепного давления необходимо провести КТ с целью обнаружения отсроченного кровоизлияния.
Кровоизлияние в ствол мозга. Небольшие кровоизлияния в верхние отделы среднего мозга вызывают синдром, характеризующийся комой, расширением зрачков (хотя зрачки могут быть и умеренной величины) с исчезновением их реакции на свет и нарушением или отсутствием окулоцефалических рефлекторных движений глаз. Кровоизлияния эти, чаще линейной или овальной формы, хорошо видны при КТ, хотя появление их может несколько запаздывать. При раздражении часто возникает экстензорная поза, в его отсутствие конечности остаются вялыми. Если при обследовании у больного наблюдают все перечисленные выше клинические признаки, у него следует заподозрить кровоизлияние независимо от того, удастся ли его выявить при КТ. Иногда кровоизлияние в средний мозг может быть следствием первичной травмы в результате воздействия вращательных сил на верхний отдел среднего мозга; может появиться вследствие вторичного сдавления ствола мозга супратенториальными гематомами и боковыми тканевыми смещениями или давлением со стороны расположенных поблизости височных долей. В патологоанатомическом материале при тяжелых, острых, фатальных травмах обнаруживаются мелкие линейные и овальные кровоизлияния в нижнеталамической и субталамической областях и на всем протяжении вдоль средней линии ствола мозга.
Резидуальные симптомы первичных и вторичных стволовых кровоизлияний или очагов ишемии включают тремор, расширение зрачков, нарушение движений глазных яблок или синдром бодрствующей комы (см. гл. 21). Кровоизлияния в средний и промежуточный мозг являются единственными четко установленными стволовыми поражениями, ответственными за развитие комы. Большинство других случаев комы, не сопровождающихся неподвижностью зрачков, которые нельзя объяснить результатами КТ, вероятно, связаны с диффузными травмами по типу аксональных разрывов в полушариях мозга.
Субдуральные и эпидуральные гематомы
При тяжелых травмах головы кровоизлияния под твердую мозговую оболочку (субдуральные) и в пространство между твердой оболочкой и черепом (эпидуральные) могут сопровождаться ушибами и другими травмами, что затрудняет определение их относительного вклада в имеющуюся клиническую картину. Однако субдуральная и эпидуральная гематомы часто встречаются в виде первичных поражений и имеют характерные клинические и КТ-проявления. Поскольку сопутствующие гематомам масс-эффект и увеличение внутричерепного давления могут представлять собой угрозу для жизни больного, то необходимо как можно скорее диагностировать их и удалить хирургическим путем.
Острая субдуральная гематома. Симптомы острой субдуральной гематомы возникают спустя минуты или часы после травмы. В состоянии примерно 1/3 больных отмечается светлый промежуток до последующего наступления комы, но у большинства из них сомнолентность или кома развиваются уже с момента травмы. Больные, приходящие в себя, жалуются на головную боль на стороне поражения, зрачок на этой же стороне у большинства из них часто бывает несколько расширен, но в 5—10% случаев расширение зрачка наблюдается контрлатерально по отношению к гематоме. Ступор или кома с односторонним расширением зрачка служат важными симптомами при крупных гематомах. Латерализованные симптомы, такие как гемипарез, могут выявляться на той же стороне, где локализуется гематома, однако оказать помощь при постановке диагноза они могут лишь у некоторых больных. Внезапные эпилептические припадки или изолированные гемианопсии встречаются редко. При КТ обнаруживают сгусток крови, что дает возможность своевременно его удалить (см. рис. 344-1, а). При ангиографии в косых проекциях также можно выявить субдуральную гематому, и этот метод применяют, если нельзя осуществить КТ. Если состояние пациента резко ухудшается, у него происходят быстрое угнетение сознания и расширение зрачка, то до радиологического подтверждения субдуральной гематомы следует наложить трепанационные отверстия или осуществить неотложную краниотомию. Для больных алкоголизмом и лиц пожилого возраста характерен подострый синдром, при котором сонливость, головная боль, дезориентация и легкий гемипарез развиваются в период от нескольких дней до 2 нед после травмы.
Гематома не всегда является следствием прямой травмы или поверхностного ушиба; иногда, особенно у пожилых людей, бывает достаточно воздействия сил ускорения. Большинство субдуральных гематом представляют собой небольшие увеличивающиеся скопления крови над поверхностью полушария, прилежащей к геморрагическим ушибам на поверхности полушария. Полагают, что более крупные сгустки в основном имеют венозное происхождение, хотя часто обнаруживаются дополнительные участки артериального кровотечения, а некоторые гематомы в ходе хирургического вмешательства определяют как полностью артериальные. Чаще всего гематомы локализуются над лобно-височными областями, несколько реже — внизу средней черепной ямки или над затылочными полюсами. Реже сгустки располагаются между полушариями, в задней черепной ямке или с двух сторон на конвекситальной поверхности полушарий. В подобных случаях клиническая диагностика затруднена, хотя при этом наблюдают сонливость и соответствующие очаговые симптомы. Мелкие субдуральные гематомы могут протекать бессимптомно, и таким больным лечения обычно не требуется.
Острая эпидуральная гематома. Эпидуральные гематомы развиваются быстрее и поэтому могут быть более опасными. Они встречаются в 1—3% всех случаев травм головы и почти в 10% тяжелых травм. Они реже, чем субдуральные гематомы, сопровождаются поражением подлежащей коры. Большинство больных при первом осмотре находятся в бессознательном состоянии, и нередко у них диагностируют также субдуральную гематому и ушиб мозга. Полагают, что для эпидурального кровоизлияния характерен светлый промежуток длительностью от нескольких минут до нескольких часов до наступления комы. Хотя этот промежуток наблюдается не всегда, но именно им обусловлен временной профиль гематомы. Сонливость, переходящая в кому, расширение зрачка и очаговые симптомы поражения полушарий в определенной мере сходны с симптоматикой субдуральной гематомы, но развиваются быстрее.
Локализация эпидуральных гематом объясняется их происхождением из разорвавшихся сосудов твердой мозговой оболочки, чаще всего средней оболочечной артерии. Поэтому сгустки крови в эпидуральном пространстве располагаются над боковой поверхностью височной доли. У большинства больных имеются переломы сквамозной части височной кости по ходу разорвавшегося сосуда. Реже наблюдаются эпидуральные гематомы, локализующиеся в лобной, нижневисочной и теменно-затылочной областях и развивающиеся в тех случаях, когда переломы приводят к разрывам ветвей средней оболочечной артерии. Иногда разрывы твердой мозговой оболочки, проходящие через сагиттальный или боковой синусы, а также разрывы мелких диплоэтических вен вызывают эпидуральные венозные кровоизлияния. Эпидуральные гематомы отслаивают плотно прикрепленную твердую оболочку мозга от внутренней поверхности костей черепа, формируя сгусток, который на компьютерных томограммах имеет характерные чечевицеобразные очертания (см. рис. 344-1, г). Они относительно редко встречаются среди лиц пожилого возраста в связи с более тесным прикреплением твердой мозговой оболочки к черепу, что характерно для лиц преклонного возраста. Эпидуральные гематомы задней черепной ямки также встречаются редко и клиническая диагностика их затруднена; как правило, они появляются в результате хирургических операций, например, по удалению невриномы слухового нерва.
Хроническая субдуральная гематома. При хронической субдуральной гематоме предшествующий причинный травматический фактор известен реже; 20—30% больных не в состоянии сообщить о травме. У лиц пожилого возраста и больных с геморрагическими диатезами гематомы могут возникать спонтанно. Причинные факторы могут быть банальными и незначительными (ушиб головы о ветку дерева, резкий наклон вперед при внезапной остановке автомобиля, удар головой при падении или обмороке), и со временем больные часто забывают об этом эпизоде. После травмы проходит период длительностью в несколько недель и даже месяцев до того, как появляются головные боли (отмечаются часто, но не у всех больных), замедление мышления, спутанность, личностные изменения, эпилептические припадки и легкий гемипарез, представляющие собой основные симптомы заболевания. Типичны колебания в интенсивности головной боли, часто сопутствующие изменениям положения головы. В большинстве случаев хронические субдуральные гематомы бывают двусторонними и дают клинические синдромы, которые особенно часто вводят врачей в заблуждение. Первоначально нередко диагностируют инсульт, опухоль мозга; лекарственную интоксикацию или депрессивную, сенильную или какую-либо иную форму деменции. В последнем случае основой для постановки диагноза служат расстройства сознания (сонливость, безынициативность, бессвязность мышления), которые выражены больше, чем очаговые или латерализованные симптомы, например гемипарез. Гемианестезия и гемианопсия наблюдаются редко, по-видимому, в связи с тем, что соответствующие анатомические структуры расположены глубоко и слабо подвержены компрессии. Подозрение на диагноз гематомы возникает, если у больного выявляют симптомы, сходные с таковыми при деменциях, но возникающие быстро, и особенно сопровождающиеся головной болью. Симптомы при этом не всегда нарастают. Хотя при их усугублении больной впадает в кому, но уровень сознания колеблется и больной периодически приходит в себя, у него расширяется зрачок, как это бывает при острой субдуральной гематоме. В таких случаях, помимо хронической гематомы, наблюдается острое кровотечение. Иногда у больных периодически возникают гемипарез или афазия, удерживающиеся более 10 мин и неотличимые от проявлений преходящей ишемической атаки. Больные, у которых не удалось выявить небольшую двустороннюю субдуральную гематому и которые, по-видимому, плохо перенесут операцию, анестезию и препараты, угнетающие нервную систему, часто остаются в состоянии сомнолентности или спутанности сознания в течение длительного периода после операции.
При рентгенографии черепа не находят каких-либо изменений, за исключением смещения в сторону кальцифицированного шишковидного тела; иногда неожиданно может быть выявлен перелом. При КТ без введения контрастного вещества обычно видно объемное образование низкой плотности над конвекситальной поверхностью полушария (см. рис. 344-1, б), но иногда обнаруживают лишь смещение срединных структур и сдавление боковых желудочков, поскольку рентгеновская плотность сгустка крови постепенно выравнивается с таковой прилежащей ткани мозга — это происходит спустя 2—6 нед. Хронические двусторонние гематомы часто могут остаться незамеченными из-за отсутствия бокового смещения ткани. Если у больных пожилого возраста компьютерные томограммы «сверхнормальные», т. е. отсутствуют кортикальные борозды и желудочки небольшого размера, то следует заподозрить наличие двусторонних гематом, имеющих одинаковую плотность с мозговой тканью. При введении контрастного вещества в некоторых случаях обнаруживают хроническую фиброзную капсулу. Часто наиболее эффективным методом для подтверждения диагноза оказывается радиоизотопное сканирование мозга в передних проекциях. СМЖ может быть неизмененной, кровянистой или ксантохромией в зависимости от того, есть ли в ней примесь крови из области ушиба или субарахноидального кровоизлияния; давление СМЖ обычно повышено. Однако осуществлять люмбальную пункцию при данном диагнозе не рекомендуют в связи с риском нарастания смещения тканей. Хронические субдуральные гематомы могут постепенно увеличиваться, и тогда их клинические проявления сходны с таковыми при опухолях. Лечение кортикостероидами эффективно лишь в некоторых случаях, тогда как хирургическое удаление чаще всего завершается успешно. Из твердой мозговой оболочки образуются фиброзные мембраны (псевдомембраны), и гематомы инкапсулируются. При повторном накоплении жидкости требуются краниотомия и удаление мембран. Мелкие гематомы в основном подвергаются резорбции, и сохраняются лишь организующие мембраны, которые через много лет подвергаются кальцификации.
Проникающие травмы, сдавления и рваные раны
Тангенциальные повреждения скальпа в результате пулевого ранения могут вызывать неврологические симптомы или отсроченные эпилептические припадки, обусловленные мелкими геморрагиями и ушибами, даже если снаряд не проникает в мозг. Пули, входящие в мозг, вызывают значительное повреждение благодаря своей огромной кинетической энергии. Раневой канал окружен цилиндрической зоной некроза. Травмы различаются в зависимости от типа снаряда; мягкие пули обычно раздрабливаются при ударе и оставляют по ходу своего движения металлические фрагменты, при этом имеет место диспропорционально малое поражение паренхимы мозга (см. рис. 344-1, д). Пули, обладающие высокой скоростью и энергией, разрывают ткань и вызывают массивное разрушение мозга.
Пенетрирующие пулевые ранения приводят к быстрому (в течение нескольких минут) повышению внутричерепного давления, что обусловлено объемом вторичного кровоизлияния и степенью развивающегося отека. Риск инфицирования особенно высок при ранениях мягкими пулями, шрапнелью, гранатами и минами, поскольку мелкие металлические фрагменты переносят поверхностные бактерии и «загрязняют» мозг. Тем не менее большинство нейрохирургов назначают системные антибиотики с профилактической целью и проводят хирургическую обработку раны при всех типах проникающих травм. Травматические аневризмы могут формироваться в связи с разрывом стенок сосуда ударной волной от снаряда. Чаще всего раны входного отверстия локализуются на лице в области глазницы. Аневризмы характеризуются непредсказуемым течением; если происходитих разрыв, то обычно это бывает в течение первого месяца. Прогноз при огнестрельных ранениях благоприятный, если больной находится в сознании, и неблагоприятный, если с самого начала развивается кома.
Другие инородные тела, попавшие в полость черепа (осколки остроконечных инструментов, частицы высокоскоростного резца и т. п.), могут остаться незамеченными, если при небольших проникающих ранах не была проведена рентгенография черепа. Необходимо удалить инородное тело, обработать рану и провести тщательную ревизию области кровоизлияния и некроза.
Травматическая окклюзия и расслоение сосудов
Небольшая, иногда незаметная травма шеи может вызвать расслоение (отделение интимы или медии) внутренней сонной или позвоночной артерии. Иногда подобные травмы могут быть получены во время проведения манипуляций на шее при хиропрактике. Тяжелая тупая травма шеи может вызвать расслоение в нескольких сантиметрах выше начала внутренней сонной артерии. У больных, находящихся в ясном сознании, отмечают местную боль в области шеи под внутренней сонной артерией, синдром Горнера и головную боль в передней части черепа на той же стороне. У некоторых больных с расслоением внутренней сонной артерии в дальнейшем развиваются обширные инсульты в бассейне средней мозговой артерии с гемиплегией, выпадением полей зрения и общей чувствительности и (при поражении доминантного полушария) афазией. У больных, находящихся в состоянии сомнолентности или комы, трудно диагностировать расслоение и инсульт, но о них свидетельствуют необъяснимая гемиплегия, односторонний миоз, признаки инфаркта мозга, выявляемые при КТ. При ангиографии обнаруживают типичный «признак отделения», характеризующийся протяженным сужением просвета сосуда длиной 5—10 см, или полную закупорку сонной артерии, начинающуюся с уровня на несколько сантиметров дистальнее бифуркации и иногда сопровождающуюся дистальной эмболией средней мозговой артерии. В редких случаях переломы основания черепа вызывают расслоение сонной артерии, начиная от точки входа артерии в череп. Травматические «ложные» аневризмы шейного отдела сонной артерии обусловливаются глубокими проникающими и иногда непроникающими тупыми травмами шеи. Пульсирующее объемное образование и шум над артерией подтверждают диагноз и указывают на необходимость восстановительной хирургической операции. Травматическое расслоение позвоночной артерии вызывает головокружение, рвоту, головную боль субокципитальной или супраорбитальной локализации и признаки ишемии боковых отделов продолговатого мозга. Эти симптомы часто связывают с ушибом вестибулярного аппарата. У больных в состоянии сомнолентности или комы единственным свидетельством закупорки позвоночной артерии может служить видимый на КТ инфаркт в нижнем отделе мозжечка.
Повреждения внутричерепных сосудов встречаются редко; исключение составляют проникающие ранения. Высокоскоростные снаряды, как уже обсуждалось выше, разрывают сосудистую стенку, приводя к формированию аневризм крупных сосудов вблизи от раны (обычно поверхностной ветви средней мозговой артерии). Уже имеющиеся мешковидные аневризмы могут разрываться после переломов костей основания черепа, и предположение в пользу данного диагноза возникает при появлении профузного субарахноидального кровоизлияния, которое невозможно объяснить наличием крови в субдуральном пространстве, выявленном при КТ. Вазоспазм при травматическом субарахноидальном кровоизлиянии может играть определенную роль в развитии инфаркта после травмы головы.
Артериовенозные анастомозы (фистулы) кавернозного синуса представляют собой серьезные осложнения у больных, перенесших тяжелые травмы головы. Первоначально появляется шум, слышимый самому больному (и во многих случаях — врачу), проптоз, инъекции конъюнктивы и нарушения зрения. При ангиографии выявляют раннее заполнение кавернозного синуса и дренирующих его венозных ветвей. Обычно фистула увеличивается, вызывая усиливающиеся тяжелые локальные изменения вокруг глазного яблока и глазницы, при этом шансы на восстановление зрения уменьшаются. Примерно в 10% случаев, главным образом при мелких фистулах, возможно их спонтанное разрешение. Предпринимаются попытки использовать такие методы хирургической коррекции, как лигирование сонной артерии, непосредственная облитерация анастомоза или кавернозного синуса и баллонная эмболизация под контролем ангиографии. Разъемную баллонную технику успешно используют во многих случаях. Если больной не в состоянии перенести терапевтическую каротидную окклюзию (при незавершенности виллизиева круга), следует создать анастомоз между поверхностной височной артерией и средней мозговой артерией до корригирования самой фистулы.
Внутричерепное давление и мозговой кровоток
Патофизиология регуляции внутричерепного давления (ВЧД) и его взаимосвязи с мозговым кровотоком (МК), играющая роль во многих патологических процессах, включая кровоизлияние в мозг, энцефалиты, отек мозга при инсульте, лучше всего изучена при черепно-мозговой травме. Содержимое черепной полости (мозг, СМЖ и кровь) заключено в структуру из неподвижно и прочно соединенных между собой костей черепа. При развитии объемных патологических процессов в полости черепа объем этих компонентов изменяется. Мозг практически несжимаем, поэтому основными амортизаторами возрастающего внутричерепного объема служат СМЖ и кровь. Взаимосвязь между приростами внутричерепного давления и сопутствующими увеличениями ВЧД, называемая пластичностью, приближается к экспоненциальной функции после того, как превышаются объемные буферные способности СМЖ и крови. В норме ВЧД колеблется от 2 до 12 торр. Повышение ВЧД до 15—40 торр не так опасно само по себе, как сопутствующие этому быстро развивающиеся вторичные поражения, обусловленные резким снижением общей перфузии мозга, когда ВЧД становится выше давления крови внутри черепа, и смещением ткани мозга, приводящим к поражению зрительного бугра и ствола мозга. Таким образом, общее поражение при повышении ВЧД является ишемическим и обусловлено разницей между ВЧД и кровяным давлением в основных артериях мозга. Эту разницу называют церебральным перфузионным давлением, или ЦП Д. Считается, что ЦПД ниже 40—60 торр пагубно влияет на нервные клетки, поэтому лечение направлено на поддержание перфузии в этих пределах. Показатели ЦПД целесообразно сохранять повышенными (т. е. удерживать ВЧД ниже 15—20 торр) с тем, чтобы обеспечить некоторую безопасность в случае преходящих подъемов ВЧД. Физиологические сдвиги или медикаментозные воздействия, приводящие к увеличению артериального давления, не улучшают ЦПД, потому что при повышении внутрисосудистого давления усиливается отек пораженных отделов мозга и индуцируются плоские волны (см. ниже), вызывая дальнейшее возрастание ВЧД и в конечном счете — уменьшение перфузии.
Наиболее важным вторичным осложнением черепно-мозговой травмы является повышение внутричерепного давления, обусловленное дополнительным объемом вследствие ушибов, гематом и нарастающего перифокального отека. У больных с закрытой травмой головы существует тесная взаимосвязь между клиническим исходом и ВЧД. По меньшей мере у 50% больных, погибающих от травмы головы, непосредственной причиной смерти служит неконтролируемое повышение ВЧД, а исход находится в обратной зависимости от уровня ВЧД, который удается поддерживать у больных с острой травмой в условиях современных отделений интенсивной терапии.
Как считают многие исследователи, агрессивное лечение при высоком ВЧД в современных отделениях интенсивной терапии улучшает выживаемость после тяжелых травм головы. Роль прямого мониторинга ВЧД для контроля лечения вызывает противоречивые суждения.
В состоянии покоя ВЧД, ЦПД и пластичность спонтанно прерываются подъемами ВЧД, обозначаемыми как плоские волны. Они часто обусловливаются медицинскими манипуляциями и такими факторами, как отсасывания, физиотерапия, избыточное введение жидкости, боль. Эти плоские волны длительностью 1—10 мин и величиной 25—60 торр особенно выражены у пациентов со сниженной внутричерепной пластичностью. Лучше всего они определяются при продолжительной регистрации ВЧД. Вероятно, плоские волны бывают вызваны падением тонуса сосудов мозга и результирующим увеличением объема крови в мозге. Очевидные признаки транстенториального вклинения, такие как расширение зрачков, могут появляться после плоских волн (но чаще не появляются), и иногда за ними следует смерть мозга. Непосредственной причиной нарастания неврологических расстройств, вероятно, служит рефлекторное повышение артериального давления, частичный рефлекс Кушинга (гипертензия и брадикардия), резкое увеличение внутричерепного объема крови и отек мозга.
Однозначного полного мнения о значимости нарушений мозгового кровотока, вызываемых черепно-мозговой травмой, нет. В интервале от нескольких минут до 1 ч после острой черепно-мозговой травмы у некоторых больных мозговой кровоток может увеличиваться, хотя метаболические потребности и потребление кислорода уменьшены. Механизмы ауторегуляции, а также способность гладкой мускулатуры сосудов мозга поддерживать постоянство кровотока в ответ на снижение или увеличение перфузионного давления в областях поражения также нарушены. Возрастание церебрального кровотока увеличивает уже повышенное ВЧД за счет нарастания объема крови. После травмы головы усиливается проницаемость гематоэнцефалического барьера вплоть до его исчезновения в наиболее пораженных областях, в результате чего вероятность развития отека возрастает.
Существует сложная взаимосвязь между высоким ВЧД и клиническими симптомами, такими как кома и расширение зрачков, сопутствующими объемным патологическим процессам супратенториальной локализации. Повышение ВЧД является результатом нахождения увеличения объема содержимого полости черепа за счет появления дополнительных масс; клинические симптомы выполняют роль барометра смещений ткани, особенно при поражении структур, расположенных вокруг отверстия мозжечкового намета. Само по себе повышенное ВЧД не вызывает неврологических симптомов (включая кому) до тех пор, пока оно не достигает уровней, препятствующих церебральной перфузии; затем оно приводит к общей ишемии мозга аналогично тому, как это происходит при острой гипотензии. Кома и другие вторичные симптомы, возникающие при смещениях мозговой ткани в области тенториального отверстия, описаны в гл. 21. Как показывает наш опыт, именно от горизонтальных смещений по средней линии на уровне шишковидного тела в наибольшей степени зависит уровень сознания при острых поражениях.
Поражения мозга при острой черепно-мозговой травме головы обусловлены и другими вторичными явлениями, которые также влияют на исход болезни. Например, часто развивается гипоксия, и если она достаточно выражена, то может свидетельствовать о менее благоприятном прогнозе.
Клинические синдромы и лечение при черепно-мозговой травме
Легкая травма
У больного после черепно-мозговой травмы, который находится в ясном сознании и с сохранным вниманием, у которого отмечаются один или более симптомов, в том числе головная боль, головокружение, тошнота, рвота, затруднения при концентрации внимания (или внимание сохранено) или легкое затуманивание зрения, прогноз благоприятный, а риск последующего ухудшения состояния незначителен. Симптомов очагового поражения мозга нет. Такие больные перенесли сотрясение мозга и сумеречное состояние, у них наблюдается короткий период амнезии на событие до и после удара. Иногда вазовагальный обморок продолжается от нескольких минут до
1 ч после травмы, что вызывает тревогу. В течение нескольких дней после травмы пострадавшие испытывают постоянные генерализованные или локальные головные боли в лобной области; боль может быть пульсирующей и гемикранической, как при мигрени. У большинства пациентов с синдромом легкой травмы не выявляют признаков перелома костей черепа при рентгенографии черепа или кровоизлияния при КТ. Решение о проведении этих исследований зависит прежде всего от доступности КТ и клинических симптомов, свидетельствующих о том, что удар был сильным (в том числе длительно удерживающиеся симптомы сотрясения, гематома в периорбитальной области или в области сосцевидного отростка, повторная рвота и т. д.). Дети и лица молодого возраста особенно склонны к сонливости, рвоте и раздражительности, иногда сохраняющимся на протяжении нескольких часов с момента легкой травмы. После наблюдения за больным в течение 1 ч он может быть отпущен домой с сопровождающим. Дальнейший присмотр за больным будут осуществлять родственники.
Стойкая головная боль и повторная рвота при неизмененном сознании и отсутствии неврологических симптомов обычно имеют доброкачественный характер, однако в этом случае следует провести КТ и/или рентгенографию черепа. При наличии переломов костей черепа вероятность субдуральной и эпидуральной гематомы повышается. Больным с такими симптомами, даже если они перенесли легкую травму, требуется наблюдение в клинике на протяжении 24 ч. Необходимость дальнейшего наблюдения и обследования определяется состоянием больного, наличием, помимо травмы черепа, иных травм, присутствием родственников или друзей в доме больного. Перед выпиской необходимо исследовать неврологический статус больного.
Травма средней тяжести
Если у больного, не находящегося в состоянии комы, наблюдают стойкую дезориентированность, изменения поведения, снижение скорости мышления, сильное головокружение и очаговую неврологическую симптоматику, например гемипарез, то его следует госпитализировать и провести КТ. Помимо посттравматических симптомов, характерных для легкой травмы (головная боль, головокружение, неустойчивость походки, фотофобия и рвота), у больных этой группы чаще всего наблюдают:
1) делирий (пострадавший не расположен к осмотру, перемещениям, допускает бранные выражения, сопротивляется, если его беспокоят); развивается чаще всего при ушибах передних отделов височной доли; 2) состояние безучастности, потери интереса к окружающему, замедленности мышления (абулия); у больного бездумное выражение лица, он легко раздражается при беспокойстве; если больного не тревожат, то он лежит тихо с закрытыми глазами; иногда у него возникает неадекватная веселость (Witzelsucht); данный синдром развивается при ушибах нижних и фронтополярных отделов лобной доли (хватательные рефлексы при этом обычно отсутствуют); 3) ретроградная и антероградная амнезия, головная боль и фотофобия при ушибах или диффузных травмах медиальных отделов височной доли; 4) очаговый дефицит, например афазия или легкий гемипарез (гемианопсия редко бывает изолированным посттравматическим симптомом), свидетельствуют о субдуральной гематоме или ушибе конвекситальной поверхности полушария; 5) общая дезориентированность: больной невнимателен, плохо выполняет простые психологические тесты, ориентировка флюктуирующего характера или с незначительными ошибками; развивается при травмах нескольких типов, включая два первых (см. выше), а также ушибы медиальных отделов лобной доли и межполушарные субдуральные гематомы;
6) повторная рвота, нистагм, сонливость и неустойчивость походки; развиваются при сотрясениях лабиринта, но иногда обусловлены субдуральными гематомами задней черепной ямки или расслоением позвоночной артерии; 7) сонливость в изолированном виде или в сочетании с немотой, при этом часто не обнаруживают существенных изменений на КТ; 8) несахарный диабет с синдромом лобно-височной доли (или без него); развивается при поражении срединного возвышения или воронки гипоталамуса и прилежащей медиальной коры.
Появлению перечисленных синдромов при травмах средней тяжести обычно предшествует кратковременная потеря сознания; у многих больных диагностируют переломы костей черепа. Проведение КТ требуется для исключения субдуральной или эпидуральной гематомы, которые удаляют хирургическим путем, и определения областей ушиба (с возникающим впоследствии перифокальным отеком или образующих при слиянии интрапаренхиматозные кровоизлияния). При ЭЭГ под зоной большого ушиба часто выявляют изменения пароксизмального или ритмического характера в отличие от таковых при внезапных судорожных припадках. Многие травмы средней тяжести осложняются лекарственной или алкогольной интоксикацией, в этом случае необходим скрининг токсических веществ.
Больного следует госпитализировать и вести тщательное клиническое наблюдение за его состоянием, чтобы своевременно выявить нарастание сонливости, изменения параметров дыхания, расширение зрачка и обеспечить ограниченный прием жидкости. Больным, находящимся в ясном сознании или в состоянии небольшой сонливости, следует ограничить прием жидкости и назначить лечение кортикостероидами; при более крупных гематомах, особенно если уровень сознания у больного колеблется или нарушения его все более усугубляются, требуется хирургическое вмешательство. У больных, имеющих хорошие шансы восстановления от прочих травм, необходимо удалить эпидуральные гематомы, вызывающие сдавление прилежащего вещества мозга. Следует ограничить свободный прием жидкости больным во избежание спонтанных подъемов осмолярности сыворотки крови до 290—305 мосмоль/л.
Если больной находится в лихорадочном состоянии, ему следует давать жаропонижающие средства или попытаться снизить температуру тела охлаждающими обертываниями; необходимо установить источник лихорадки (обычно аспирация). Так называемая центральная лихорадка встречается редко. Неотложное введение фенитоина, столь часто практикуемое, вряд ли целесообразно. Однако около половины нейрохирургов считают его применение обоснованным, особенно у детей и лиц молодого возраста, полагая, что таким путем можно снизить частоту посттравматической эпилепсии. Кортикостероиды можно назначать тем больным, у которых при КТ обнаруживаются ушиб, кровоизлияние и отек; в других случаях эти препараты затрудняют ведение больных и применятьих не следует. У всех больных со среднетяжелой черепно-мозговой травмой должна быть учтена возможность сопутствующей травмы шейного отдела позвоночника. В таких случаях показаны иммобилизация шеи и соответствующее рентгенологическое обследование позвоночника.
У большинства пациентов со среднетяжелой травмой улучшение наступает через 1—6 нед. В течение 1-й недели отмечаются колебания уровня сознания, раздражительности, функций памяти, больной может по-разному выполнять одни и те же психологические тесты. Изменения поведения по типу возбуждения наиболее отчетливо проявляются в ночное время, и иногда складывается впечатление об их усугублении на фоне терапии большими дозами кортикостероидов и депрессантов ЦНС. В подобных случаях эффективен галоперидол, назначаемый в умеренных дозах. Интеллектуальные функции, такие как внимание, спонтанность и память, обычно нормализуются позднее, и очень часто улучшение происходит резко.
Тяжелая черепно-мозговая травма и кома
Пострадавших, у которых сразу после травмы развиваются ступор или кома, должен немедленно осмотреть невролог, и часто им показаны реанимационные мероприятия. У таких больных обычно выявляют расширение или асимметрию зрачков. Если пациент длительное время не реагирует на внешние стимулы, то это считается угрожающим прогностическим признаком. После проведения интубации и стабилизации артериального давления необходимо уделить внимание угрожающим жизни больного нечерепным травмам, а затем исследовать его неврологический статус.
Особое внимание следует уделить травмам шейного отдела позвоночника, и его иммобилизацию необходимо проводить уже при первичном осмотре. Исключительно важно оценить глубину комы и определить величину зрачков. В наиболее тяжелых случаях у больных развивается гипервентиляция. Часто наблюдаются разгибательное положение конечностей и двусторонний симптом Бабинского в сочетании с кажущимися целенаправленными движениями. Асимметрия в установке и движениях конечностей наряду с насильственным поворотом глазных яблок указывают на возможность субдуральной или эпидуральной гематомы либо массивного ушиба.
Как только позволит состояние жизненно важных функций, больной должен быть помещен в палату интенсивной терапии; необходимо провести рентгенографию шейного отдела позвоночника и КТ. При обнаружении эпидуральной или субдуральной гематомы или массивного внутричерепного кровоизлияния следует осуществить хирургическую внутричерепную декомпрессию. Основным фактором, определяющим исход болезни, является время между моментом травмы и удалением острой субдуральной гематомы. Если указанных поражений нет, а больной все еще пребывает в коме или в критическом состоянии, то усилия концентрируются на коррекции высокого ВЧД. Больным с изменениями на КТ, свидетельствующими об ушибах, кровоизлияниях и тканевых смещениях, показан мониторинг ВЧД. Поскольку давление СМЖ, определяемое при люмбальной пункции, четко не отражает величины внутричерепного давления и может увеличить риск развития мозговой грыжи, на практике для измерения ВЧД в большинстве центров по лечению больных с черепно-мозговыми травмами применяют субарахноидальное зажимное устройство с полым бором, эпидуральный монитор или желудочковый катетер. Регистрировать давление следует в течение длительного времени, обращая особое внимание на нарушения его пластичности, падения и появление плоских волн.
Коррекцию повышенного ВЧД лучше всего контролировать с помощью прямых его измерений, но это можно сделать также опосредованно, основываясь на данных клинического обследования и КТ. Необходимо исключить все потенциально обостряющие течение болезни факторы. При гипоксии, гипертермии, гиперкапнии и высоком среднем давлении в воздухоносных путях при механической вентиляции легких церебральный объем крови и ВЧД повышаются. Очень важно следить за положением головы больного, так как у многих (но не у всех) пациентов при подъеме головы и туловища примерно на 60° по сравнению с положением лежа на спине ВЧД снижается. Активная тактика лечения при повышенном ВЧД включает индуцированную гипокапнию до исходного уровня 28—33 торр рсо2 и гиперосмолярную дегидратацию 20% раствором маннитола (от 0,25 до 1 г/кг каждые 3—6 ч) с предпочтительным использованием в качестве контроля прямого измерения ВЧД. С другой стороны, осмолярность сыворотки желательно довести до 305—315 мосмоль/л, а также осуществить дренирование жидкости из вентрикулярного и субарахноидального пространств.
Если после начала данной консервативной терапии ВЧД не снижается, это свидетельствует о неблагоприятном прогнозе. При дополнительном назначении в дальнейшем высоких доз барбитуратов ВЧД может понизиться и жизнь небольшого числа больных может быть спасена. Во многих случаях происходит параллельное уменьшение ВЧД и артериального давления, однако мозговая перфузия при этом не улучшается. Барбитураты оказывают седативное и противосудорожное действие, но они могут вызвать резкую гипотензию. Остальные детали лечения больных с повышенным ВЧД приведены в гл. 21. При необходимости систолическое кровяное давление поддерживают на уровне выше 100 торр с помощью вазопрессорных препаратов, но если их назначают одновременно с барбитуратами, то ЦПД улучшается незначительно. При средних уровнях кровяного давления выше 110—120 торр усиливается отек мозга и появляются плоские волны; в случае гипертензии показаны диуретики и -адреноблокаторы. Жидкость и электролиты следует назначать с осторожностью, свободный прием жидкости нужно ограничить. Для предотвращения эпилептических припадков многие нейрохирурги рекомендуют фенитоин или фенобарбитал. Для профилактики желудочно-кишечных кровотечений назначают циметидин по 300 мг внутривенно каждые 4 ч или антациды — каждый час через носожелудочный зонд. По поводу использования больших доз кортикостероидов при тяжелых черепно-мозговых травмах единого мнения нет, но у некоторых пациентов они способствуют улучшению состояния, особенно если травма относительно менее тяжелая. Если больной продолжает оставаться в коматозном состоянии, то целесообразно повторить КТ для исключения отсроченного поверхностного или внутримозгового кровоизлияния. Интенсивная терапия дает возможность спасти жизнь некоторым больным, находящимся в критическом состоянии, если все усилия сосредоточить на простых методах лечения, позволяющих избежать осложнений и предотвратить повышение ВЧД. Позволяет ли более тщательный контроль ВЧД и ЦПД добиться более эффективных результатов, еще требуется доказать.
Сопутствующие расстройства при тяжелой черепно-мозговой травме
При первичном обследовании больного крайне необходимо обнаружить все возможные полученные повреждения, включая и нечерепные (сопутствующие травмы позвоночника, длинных костей, органов брюшной полости и т.д.).
Жидкости и электролиты. Более чем у половины больных, находящихся в коме в течение 24 ч после черепно-мозговой травмы, развиваются нарушения водно-электролитного баланса. Часто они являются следствием лечения, но метаболические сдвиги при черепно-мозговой травме сходны с таковыми при травмах любой другой локализации и имеют важное значение при определении тактики лечения. Ограничение воды и осмотические препараты вызывают у большинства больных гиперосмолярность и гиперволемию, что делает необходимым мониторинг осмолярности и концентраций натрия. При увеличении количества выделяемой мочи и снижении ее относительной плотности следует рассмотреть вероятность несахарного диабета. В легких случаях бывает достаточно возместить потери воды, но в случаях персистирующего течения болезни может потребоваться назначение вазопрессина. Уровень осмоляльности сыворотки около 325 мосмоль/л считают максимальным, дальнейшее его повышение приведет к уменьшению минутного сердечного выброса.
Секреция альдостерона и антидиуретического гормона (АДГ) как реакция на стресс способствует задержке натрия и свободной воды соответственно. Последняя обычно преобладает, приводя к незначительной гиперволемической гипонатриемии у нелеченых больных, которая маскируется за счет одновременного назначения осмотических препаратов. Выраженная гипонатриемия связана с избыточной секрецией АДГ, которая может отмечаться при повышении ВЧД, переломах костей основания черепа и после длительной механической вентиляции. При черепно-мозговой травме происходит потеря калия в связи с гиперсекрецией альдостерона, индуцированной травмой, медикаментозным осмотическим диурезом и кортикостероидами. Поскольку калий представляет собой преимущественно внутриклеточный ион, гипокалиемия часто проявляется гипохлоремическим алкалозом с нормальным или минимально уменьшенным уровнем калия в сыворотке. В этом случае необходима адекватная заместительная терапия с введением КСl.
Респираторные осложнения. У некоторых больных сразу после травмы развивается гипоксия при отсутствии очевидной патологии со стороны легких. Высокий риск сопряжен с аспирационной пневмонией; травматизация при кислотном ожоге после аспирации содержимого желудка, инфекция и ателектаз в случае, если они протекают одновременно, способны вызвать респираторный дистресс-синдром взрослых (РДСВ) и грубое артериовенозное шунтирование. РДСВ также может развиться при диссеминированной внутрисосудистой коагулопатии, жировой эмболии и в редких случаях — при «нейрогенном» отеке легких. Лечение, как и в других случаях РДСВ, осуществляется с помощью положительного давления конца выдоха (ПДКВ), позволяющего снизить концентрацию вдыхаемого кислорода и предупредить нарастание ателектаза. Действие ПДКВ на ВЧД достаточно сложное, но от ПДКВ не следует воздерживаться, если это необходимо для оксигенации.
Ателектаз часто встречается у больных, слабо реагирующих на терапевтические мероприятия. В этом случае показано физиотерапевтическое воздействие на грудную клетку и адекватные вентиляционные приливно-отливные объемы. Угрозу для жизни больных, находящихся на постельном режиме, представляет эмболия легочной артерии, для профилактики которой целесообразно применять прерывистый пневмомассаж голеней и подкожные введения гепарина в низких дозах, которые не могут спровоцировать внутримозговые и желудочно-кишечные кровотечения. Раннее распознавание тромбоза глубоких вен нижних конечностей и хирургическое лечение посредством окклюзии нижней полой вены помогают предупредить новые эмболии.
Желудочно-кишечные кровотечения. У большинства больных с тяжелыми черепно-мозговыми травмами появляются эрозии желудка, но лишь у некоторых имеют место клинически значимые кровоизлияния. Желудочно-кишечные кровотечения обычно происходят в первые дни или в течение 1-й недели. В отличие от большинства больных в состоянии шока или со стрессовым изъязвлением у пациентов с черепно-мозговой травмой кислотность желудочного сока часто повышена. Возникает вопрос о синергическом эффекте кортикостероидов в детерминировании кровотечений из верхнего отдела ЖКТ, но эти препараты обусловливают повышенную частоту перфораций полых органов, особенно кишечника. При профилактическом лечении циметидином или частом приеме антацидных препаратов с целью поддержания на высоком уровне рН желудочного содержимого (выше 3,5) снижается частота желудочных кровотечений при других стрессовых состояниях, в связи с чем эти меры применяют при черепно-мозговых травмах.
Жировая эмболия. У больных с тяжелыми переломами длинных костей часто возникают распространенные жировые эмболии мозговых сосудов. В настоящее время данное осложнение встречается реже. чем прежде, возможно, благодаря адекватному восполнению жидкости. В типичном случае черепно-мозговая травма представляет собой лишь малую часть общей травмы; в некоторых случаях тяжелая черепно-мозговая травма маскирует этот общий синдром. Через несколько дней после костных переломов беспокойство, делирий или сонливость нарастают в тяжелых случаях до комы, развиваются эпилептические припадки, генерализованный отек мозга и дыхательная недостаточность. Примерно у половины больных возникают точечные геморрагии в сетчатку и конъюнктиву и видимые жировые эмболы в сосудах сетчатки. У некоторых пациентов появляются петехиальные высыпания на передних подмышечных складках и в надключичных ямках, при рентгенографии грудной клетки выявляют диффузные интерстициальные инфильтраты, в моче обнаруживают жир, развивается почечная недостаточность. При распространенных легочных травмах артериальный уровень кислорода (РДСВ) может резко снижаться. Жировая эмболия сосудов мозга вызывает церебральную пурпуру, особенно в области белого вещества, обусловленную окклюзией капилляров жировыми шариками. Имеются подтверждения тому, что чем раньше поставлен диагноз и начато лечение, тем лучше прогноз. Эффективны применение массивных доз кортикостероидов, снижение ВЧД и вентиляция под положительным давлением с высоким давлением в конце выдоха. Введение гепарина и внутривенные инъекции этилового спирта в настоящее время не рекомендуются.
Изменения со стороны сердечно-сосудистой системы. Острая черепно-мозговая травма может вызвать преходящую остановку дыхания и остановку сердца. В отсутствие массивного и необратимого поражения мозга после остановки дыхания и сердца функции дыхательной и сердечно-сосудистой систем, как правило, восстанавливаются. В дальнейшем высокое ВЧД может явиться причиной системной гипертензии, сочетающейся по классическому типу с брадикардией (рефлекс Кушинга) или, почти столь же часто, с тахикардией. Нередко имеют место аритмии сердца, чаще всего синусовая брадикардия, суправентрикулярные тахикардии, узловой ритм и блокада сердца. Инверсии Г-волн и изменения сегмента ST могут симулировать субэндокардиальную ишемию.
Нейрогенный отек легких представляет собой форму РДСВ, при которой альвеолы заполнены жидкостью, как это бывает при застойной сердечной недостаточности, но давление в левом желудочке в конце диастолы (измеренное по легочному капиллярному давлению) нормальное. Просачивание жидкости из легочных сосудов может произойти тогда, когда имеет место внезапное смещение внутрисосудистого объема от системной к легочной циркуляции, что транзиторно отмечается при резких подъемах ВЧД. Как только возникло повреждение сосудистого русла легких, просачивание из капилляров в альвеолы может продолжаться, несмотря на нормализацию кровяного давления. Результатом этого служит отек легких, несмотря на то, что показатели центрального венозного и капиллярного давления после первоначальной травмы находятся в пределах нормы.
Гематологические осложнения. У большого числа больных диагностируют легкую коагулопатию, а у 5—10% — синдром диссеминированного внутрисосудистого свертывания различной степени выраженности. Может отмечаться корреляция между тяжестью травмы и уровнем продуктов усиленного распада фибрина в крови. Считается, что причиной коагулопатии служит высвобождение из пораженного мозга в системный кровоток вещества с сильными тромбогенными свойствами.
Дата добавления: 2015-07-22; просмотров: 1195;
