Инструментальные методы исследования
Для диагностики заболеваний почек применяются различные инструментальные исследования. К ним относятся следующие визуализирующие методы:
- Ультразвуковые исследования;
- Рентгенологические (внутривенная или экскреторная урография, ретроградная пиелоуретерография, компьютерная томография, ангиография, цистография);
- Радионуклидные (радиоизотопная ренография, динамическая и статическая нефросцинтиграфия, радиоизотопная урофлоуметрия);
- Магнитно-резонансные исследования.
У всех пациентов с заболеваниями почек должно быть проведено ультразвуковое исследование (УЗИ) почек и мочевых путей. УЗИ дает представление о размерах (табл.10), положении и форме почек, а также позволяет выявить изменения в структуре почек – наличие кист, нефрокальциноз, неоднородную эхогенность паренхимы (при различных воспалительных процессах). Выявляются врожденные аномалии развития почек, опухоли, туберкулез, нефроуролитиаз. Для уточнения диагноза необоходимо сопоставление с результатами клинико-лабораторных исследований и других визуализирующих исследований. На УЗИ определяются расширение почечных лоханок, чашачек, связанных с обструкцией мочевыводящих путей.
Таблица 10. Размеры почек по возрастам.
| Возраст | Длина (см) | Ширина (см) |
| Новорожденный | 4.2 | 2.2 |
| 5 мес | 5.5 | 3.1 |
| 1 год | 7.0 | 3.7 |
| 5 лет | 7.9 | 4.2 |
| 11 лет | 9.8 | 4.5 |
| 15 лет | 10.7 | 5.0 |
| Взрослый | 10-12 | 4 – 5.5 |
Допплерография сосудов почекпозволяет оценить скорость кровотока в почечных артериях и венах. Она показана при наличии артериальной гипертензии и для выявления причин дисфункции трансплантата.
Микционная цистоуретрографияпроводится для установления пузырно-мочеточникового рефлюкса (ПМР), имеющего особое значение у детей. Косвенным показателем ПМР является расширение мочевых путей на УЗИ. Цистография также позволяет оценить анатомическое и функциональное состояние мочевого пузыря и уретры.
Экскреторная (внутривенная) урография (рис.8)применяется все реже в связи с нефротоксичностью рентген-контрастных препаратов и появлением новых методов контрастирования (МРТ). Она позволяет оценить анатомическое и функциональное состояние почек и уродинамику. Проводится по показаниям после УЗИ при подозрении на камни в мочевыводящих путях, опухоли и врожденные аномалии мочевыводящей системы. Исследование начинается с обзорного рентген-снимка с последующей серией снимков после внутривенного контрастирования. Противопоказаниями являются почечная недостаточность, тяжелое поражение печени, повышенная чувствительность к йоду. Проведение внутривенной пиелографии опасно при выраженной протеинурии (>2 г/л), дегидратации, артериальной гипертонии и наличии сахарного диабета у пациентов.
| Рисунок 8. Интраренальный рефлюкс Экскреторная цистоуретрограмма 4-х летней девочки с рецидивирующей ИМП. Обнаружен 2-х сторонний рефлюкс в лоханке и интраренальный рефлюкс в паренхиму почек (стрелки). (Из: Amar, D, JAMA 1970; 213:293. By permission of the American Medical Association, copyright 1970.) |
Компьютерная томография, ретроградная пиелография и почечная ангиография проводятся по показаниям (опухоли, туберкулез почек, сосудистая патология и т.д.). При назначении визуализирующих исследований необходимо сопоставление информативности, побочных явлений и стоимости того или иного метода.
В мировой практике широко используются радионуклидные методы исследования. Метод нефросцинтиграфии с 99Тс DMSA особенно информативен для выявления очагов воспаления (острый пиелонефрит) (рис.9) и сморщивания (рубцов)в почечной паренхиме у детей с пузырно-мочеточниковым рефлюксом (рефлюкс-нефропатия).
| Рисунок 9.Нефросцинтиграфия с 99Тс DMSA Острый пиелонефрит правой почки. Видны большие дефекты в верхнем и нижнем полюсах (на снимке справа). Также можно заметить небольшие дефекты в обоих полюсах левой почки. Таким образом, клинически правосторонний пиелонефрит на самом деле двухсторонний. (Из: UpToDate Version 17.2) |
Эти методы позволяют выявить стеноз в мочевыводящих путях, оценить уродинамику, сравнить функции правой и левой почки. При поствезикальном стенозе эти методы дополняются катетеризацией мочевого пузыря.
Для оценки состояния мочевого пузыря и мочеточников, а также для выявления образований в мочевом пузыре проводят цистоскопию (уретероцеле, конкремент, инородное тело, дивертикул, полип). При урофлоуметрии графически регистрируется динамика объемной скорости потока мочи во время мочеиспускания, что позволяет оценить тонус, сократительную активность детрузора и проходимость уретры.
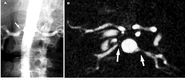
Магнитно-ядерный резонанс (рис.10).Является сравнительно молодым, бурноразвивающимся неинвазивным и информативным методом. Преимущество заключается в возможности получения отчетливого изображения почек, органов брюшной полости, забрюшинного пространства в различных проекциях. Достоинством является одновременная визуализация сосудов. Важно отсутствие лучевой нагрузки и узкий круг противопоказаний.
|
Рисунок 10.Магнитно-ядерный резонанс.
Двусторонний стеноз почечных артерий. А: стандартная ангиограмма аорты выявила двусторонний стеноз у устья правой и левой почечной артерии (стрелки).
Б: стандартная ЯМР-ангиограмма на том же уровне обнаружила те же изменения (стрелки). (Рисунки Jonathan Kruskal, MD, PhD.)
Дата добавления: 2015-07-14; просмотров: 1286;
