УЛЬТРАЗВУКОВЫЕ МЕТОДЫ ИССЛЕДОВАНИЯ
Ультразвуковое исследование (УЗИ, сонография) является наиболее широко используемым методом визуализации в медицинской практике, что обусловлено его значительными преимуществами: отсутствием лучевой нагрузки, неинвазивностью, мобильностью и доступностью. Метод не требует применения контрастных веществ, и его результативность не зависит от функционального состояния почек, что имеет особое значение в урологической практике.
В настоящее время в практической медицине используются ультразвуковые сканеры, работающие в режиме реального времени, с построением изображения в серой шкале. В действии приборов реализуется физический феномен эхолокации. Отраженная ультразвуковая энергия улавливается сканирующим датчиком и преобразуется в электрическую, которая опосредованно формирует визуальный образ на экране ультразвукового прибора в палитре серых оттенков как в двух-, так и в трехмерном изображении.
При прохождении ультразвуковой волны через гомогенную жидкостную среду отраженная энергия минимальна, поэтому на экране формируется изображение в черном цвете, что носит название анэхогенной структуры. В том случае, когда жидкость содержится в замкнутой полости (киста), дальняя от источника ультразвука стенка визуализируется лучше, а непосредственно за ней формируется эффект дорсального усиления, являющийся важным признаком жидкостного характера исследуемого образования. Высокая гидрофильность тканей (зоны воспалительного отека, опухолевая ткань) также приводит к формированию изображения в оттенках черного или темно-серого цвета, что связано с малой энергией отраженного ультразвука. Такая структура носит название гипоэхогенной. В отличие от жидкостных структур гипоэхогенные образования не имеют эффекта дорсального усиления. С увеличением импеданса исследуемой структуры мощность отраженной ультразвуковой волны возрастает, что сопровождается формированием на экране структуры все более светлых оттенков серого цвета, называемых гиперэхогенными. Чем более значительной эхоплотностью (импедансом) обладает исследуемый объем, тем более светлыми оттенками характеризуется сформированное на экране изображение. Наибольшая отраженная энергия формируется при взаимодействии ультразвуковой волны и структур, содержащих кальций (камень, кость) или воздух (газовые пузыри в кишечнике).
Наилучшая визуализация внутренних органов возможна при минимальном содержании газов в кишечнике, для чего УЗИ выполняют натощак или с использованием специальных методик, приводящих к уменьшению метеоризма. Локация органов малого таза трансабдоминальным доступом возможна только при тугом заполнении мочевого пузыря, который в данном случае играет роль акустического окна, проводящего ультразвуковую волну от поверхности тела пациента до исследуемого объекта.
В настоящее время в работе ультразвуковых сканеров используют датчики трех модификаций с различной формой лоцирующей поверхности: линейные, конвексные и секторные - с частотой локации от 2 до 14 МГц. Чем выше частота локации, тем большей разрешающей способностью обладает датчик и тем крупнее масштаб полученного изображения. При этом датчики с высокой разрешающей способностью пригодны для исследования поверхностно расположенных структур. В урологической практике это наружные половые органы, поскольку мощность ультразвуковой волны по мере увеличения частоты существенно падает.
Задача врача при проведении УЗИ-диагностики - получить четкое изображение объекта исследования. С этой целью используют различные сонографические доступы и специальные модифицированные датчики. Сканирование, проводимое через кожные покровы, носит название транскутанное. Транскутанное ультразвуковое сканирование органов живота, малого таза традиционно называется трансадбоминальной сонографией.
Кроме транскутанного исследования часто используются эндокорпоральные способы сканирования, при которых датчик помещается в тело человека через физиологические отверстия. Наиболее широкое применение имеют трансвагинальные и трансректальные датчики, служащие для исследования органов малого таза. При проведении трансвагинального УЗИ визуализации доступны мочевой пузырь, внутренние половые органы, средне- и нижнеампулярные отделы толстой кишки, Дугласово пространство, частично уретра и дистальные отделы мочеточников. При трансректальном УЗИ визуализируются внутренние половые органы вне зависимости от пола обследуемого пациента, мочевой пузырь, уретра на всем ее протяжении, пузырно-мочеточниковые сегменты и тазовые отделы мочеточников.
Трансуретральный доступ не получил широкого распространения ввиду значительного перечня противопоказаний.
В настоящее время все чаще используются ультразвуковые сканеры, оснащенные миниатюрными датчиками высокого разрешения и вмонтированные в проксимальный конец гибкого уретероскопа. Данный метод, носящий название эндолюминальная сонография, позволяет провести исследование всех отделов мочевыводящих путей, что привносит ценную диагностическую информацию при заболеваниях мочеточника, чашечно-лоханочной системы почки.
УЗИ сосудов различных органов возможно благодаря эффекту Доплера, который основан на регистрации мелких перемещающихся частиц. В клинической практике данный метод был использован в 1956 году Satomuru при УЗИ сердца. В настоящее время применяются несколько ультразвуковых методик для исследования сосудистой системы, в основе которых лежит использование эффекта Доплера,- цветное доплеровское картирование, энергетический доплер. Данные методики дают представление о сосудистой архитектонике обследуемого объекта. Спектральный анализ позволяет оценивать распределение сдвига доплеровских частот, определять количественные скоростные характеристики сосудистого кровотока. Сочетание серошкального ультразвукового изображения, цветного доплеровского картирования и спектрального анализа носит название триплексное сканирование.
Доплеровские методики в практической урологии применяются для решения широкого круга диагностических вопросов. Наиболее распространена методика цветного доплеровского картирования. Определение хаотичных сосудистых структур в тканевом объемном образовании почки в большинстве случаев свидетельствует о его злокачественном характере. При выявлении асимметричного увеличения кровоснабжения патологических гипоэхогенных участков в простате значительно возрастает вероятность ее злокачественного поражения.
Спектральный анализ кровотока используется в дифференциальной диагностике вазоренальной гипертензии. Изучение скоростных показателей на различных уровнях сосудов почек: от основной почечной артерии до аркуатных артерий - позволяет определить причину артериальной гипертензии. Спектральный доплеровский анализ применяется в дифференциальной диагностике эректильной дисфункции. Данная методика проводится с использованием фармакологической пробы. Методическая последовательность включает определение скоростных показателей кровотока по кавернозным артериям и тыльной вене полового члена в состоянии покоя. В дальнейшем, после интракавернозного введения препарата (папаверин, кавердэскт и др.), проводится повторное измерение пенильного кровотока с определением индексов. Сопоставление полученных результатов позволяет не только установить диагноз вазогенной эректильной дисфункции, но и дифференцировать наиболее заинтересованное сосудистое звено - артериальное, венозное. Описано также применение таблетированных препаратов, вызывающих состояние тумесценции.
В соответствии с диагностическими задачами виды УЗИ подразделяются на скрининговые, инициальные и экспертные. Скрининговые исследования, направленные на выявление доклинических стадий заболеваний, относятся к превентивной медицине и проводятся здоровым людям, составляющим группу риска по каким-либо заболеваниям. Инициальное (первичное) УЗИ проводится пациентам, обратившимся за медицинской помощью в связи с возникновением определенных жалоб. Цель его - установить причину, анатомический субстрат имеющейся клинической картины. Диагностической задачей экспертного УЗИ является не только подтверждение диагноза, но в большей степени установление степени распространенности и стадии процесса, вовлечение других органов и систем в патологический процесс.
УЗИ почек. Основным доступом при локации почек является кособоковое расположение датчика по средней подмышечной линии. Данная проекция дает изображение почки, сопоставимое с изображением при рентгенологическом исследовании. При сканировании по длинной оси органа почка имеет вид овального образования с четкими, ровными контурами (рис. 4.10).
Полипозиционное сканирование с последовательным перемещением плоскости сканирования позволяет получить информацию обо всех отделах органа, в котором дифференцируются паренхима и центрально расположенный эхокомплекс. Кортикальньгй слой имеет равномерную, несколько повышенную по сравнению с мозговым веществом эхогенность. Мозговое вещество, или пирамиды, на анатомическом препарате почки имеют вид треугольных структур, обращенных основанием к контуру почки и вершиной к полостной системе. В норме видимая при УЗИ часть пирамиды составляет около трети от толщины паренхимы.
Рис. 4.10. Сонограмма. Нормальное строение почки
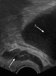
Рис. 4.11. Сонограмма. Солитарная киста почки: 1 - нормальная почечная ткань; 2 – киста
Центрально расположенный эхокомлекс характеризуется значительной эхоплотностью по сравнению с другими отделами почки. В формировании изображения центрального синуса принимают участие такие анатомические структуры, как элементы полостной системы, сосудистые образования, лимфатическая дренажная система, жировая ткань. У здоровых людей в отсутствие водной нагрузки элементы полостной системы, как правило, не дифференцируются, возможна визуализация отдельных чашек до 5 мм. В условиях водной нагрузки иногда визуализируется лоханка, как правило, она имеет форму треугольника размером не более 15 мм.
Представление о состоянии сосудистой архитектоники почки дает цветное доплеровское картирование (рис. 35, см. цв. вклейку).
Характер очаговой патологии почки определяется сонографической картиной выявленных изменений - от анэхогенного образования с дорсальным усилением до гиперэхогеннего образования, дающего акустическую тень. Анэхогенное жидкостное образование в проекции почки по своему происхождению может быть кистой (рис. 4.11) или расширением чашечек и лоханки – гидронефрозом (рис. 4.12).
Рис. 4.12. Сонограмма. Гидронефроз: 1 - выраженное расширение лоханки и чашечек со сглаживанием их контуров; 2 - резкое истончение паренхимы почки
Рис. 4.13. Сонограмма. Опухоль почки: 1 - опухолевый узел; 2 - нормальная почечная ткань
Очаговое образование низкой плотности без дорсального усиления в проекции почки может свидетельствовать о локальном повышении гидрофильности ткани. Такие изменения могут быть обусловлены либо воспалительными изменениями (формирование карбункула почки), либо наличием опухолевой ткани (рис. 4.13).
Картина эхоплотного образования без дорсального усиления характерна для наличия тканевой структуры с высокой отражающей способностью, такой как жир (липома), фиброзная ткань (фиброма) или смешанная структура (ангиомиолипома). Эхоплотная структура с формированием акустической тени свидетельствует о наличии кальция в выявленном образовании. Локализация такого образования в полостной системе почки или мочевыводящих путях говорит о имеющемся камне (рис. 4.14).
Рис. 4.14. Сонограмма. Камень почки: 1 - почка; 2 - камень; 3 - акустическая тень от камня
УЗИ мочеточника. Инспекция мочеточника проводится при продвижении датчика по месту его анатомической проекции. При трансабдоминальном доступе наилучшими для визуализации местами являются пиелоуретеральный сегмент и место пересечения мочеточника с подвздошными сосудами. В норме мочеточник, как правило, не визуализируется. Тазовый отдел его оценивается при трансректальном УЗИ, когда возможна визуализация пузырно-мочеточникового сегмента.
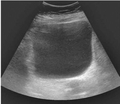
УЗИ мочевого пузыря возможно только при его адекватном наполнении мочой, когда складчатость слизистого слоя уменьшается. Визуализация мочевого пузыря возможна трансабдоминальным (рис. 4.15), трансректальным (рис. 4.16) и трансвагинальным доступом.
В урологической практике предпочтительной является комбинация трансабдоминального и трансректального доступов. Первый позволяет судить о состоянии мочевого пузыря в целом. Трансректальный доступ дает ценную информацию о нижних отделах мочеточников, уретре, половых органах.
При УЗИ стенка мочевого пузыря имеет трехслойное строение. Средний гипоэхогенный слой представлен срединным слоем детрузора, внутренний гиперэхогенный слой является единым изображением внутреннего слоя детрузора и уротелиальной выстилки, наружный гиперэхогенный слой - изображением наружного слоя детрузора и адвентиции.
Рис. 4.15. Трансабдоминальная сонограмма мочевого пузыря в норме
Рис. 4.16. Трансректальная сонограмма мочевого пузыря в норме
При адекватном наполнении мочевого пузыря различают его анатомические отделы - дно, верхушку и боковые стенки. Шейка мочевого пузыря имеет вид неглубокой воронки. Моча, находящаяся в мочевом пузыре, является полностью анэхогенной средой, без взвеси. Иногда можно наблюдать поступление болюса мочи из устья мочеточников, что связано с возникновением турбулентного потока (рис. 4.17).
При трансректальном сканировании лучше визуализируется нижний сегмент мочевого пузыря. Пузырно-мочеточниковый сегмент представляет собой структуру, состоящую из юкставезикального, интрамурального отделов мочеточника и зоны мочевого пузыря рядом с устьем (рис. 4.18). Устье мочеточника определятся в виде щелевидного образования, несколько возвышающегося над внутренней поверхностью мочевого пузыря. При прохождении болюса мочи устье приподнимается, открывается, и струя мочи поступает в полость мочевого пузыря. По данным трансректального УЗИ можно оценивать моторную функцию пузырно-мочеточникового сегмента. Частота сокращений мочеточника в норме составляет 4-6 в минуту. При сокращении мочеточника его стенки полностью смыкаются, при этом диаметр юкставезикального отдела не превышает 3,5 мм. Сама стенка мочеточника лоцируется в виде эхоплотной однородной структуры шириной около 1,0 мм. В момент прохождения болюса мочи мочеточник расширяется и достигает 3-4 мм.
Рис. 4.17. Трансректальная сонограмма. Выброс мочи (1) из устья мочеточника (2) в мочевой пузырь (3)
Рис. 4.18. Трансректальная сонограмма пузырно-мочеточникового сегмента в норме: 1 - мочевой пузырь; 2 - устье мочеточника; 3 - интрамуральный отдел мочеточника; 4 - юкставезикальный отдел мочеточника
УЗИ предстательной железы. Визуализация предстательной железы возможна при использовании как трансабдоминального (рис. 4.19), так и трансректального (рис. 4.20) доступа. Предстательная железа в поперечном скане представляет собой образование овальной формы, при сканировании в сагиттальном скане имеет форму треугольника с широким основанием и заостренным апикальным концом.
Рис. 4.19. Трансабдоминальная сонограмма. Предстательная железа в норме
Рис. 4.20. Трансректальная сонограмма. Предстательная железа в норме
Периферическая зона является преобладающей в объеме простаты и лоцируется в виде однородной эхоплотной ткани в заднелатеральной части простаты от основания до верхушки. Центральная и периферическая зоны обладают меньшей эхоплотностью, что позволяет дифференцировать эти отделы простаты. Переходная зона располагается кзади от уретры и охватывает простатическую часть семявыбрасывающих протоков. Суммарное изображение этих отделов простаты в норме составляет около 30 % объема железы.
Визуализация сосудистой архитектоники предстательной железы осуществляется с помощью ультразвукового доплеровского исследования (рис. 4.21).
Рис. 4.21. Сонодоплерограмма предстательной железы в норме
Асимметричное увеличение кровоснабжения гипоэхогенных участков в простате значительно повышает вероятность ее злокачественного поражения.
УЗИ семенных пузырьков и семявыносящих протоков. Семенные пузырьки и семявыносящие протоки лоцируются кзади от простаты. Семенные пузырьки в зависимости от плоскости сканирования имеют вид конусообразных или овальных образований, прилежащих непосредственно к задней поверхности простаты (рис. 4.22). В норме их размер составляет около 40 мм по длиннику и 20 мм в поперечнике. Семенные пузырьки характеризуются однородной структурой низкой плотности.
Рис. 4.22. Трансректальная сонограмма: семенные пузырьки (1) и мочевой пузырь (2) в норме
Семявыносящие протоки лоцируются в виде эхоплотных трубчатых структур диаметром 3-5 мм от места впадения в простату вверх до физиологического изгиба на уровне тела мочевого пузыря, когда проток меняет направление от внутреннего отверстия пахового канала к простате.
УЗИ мочеиспускательного канала. Мужская уретра представлена протяженной структурой от шейки мочевого пузыря в направлении верхушки и имеет неоднородную структуру низкой эхоплотности. Место впадения семявыбрасывающего протока в простатическую уретру соответствует проекции семенного бугорка. За пределами простаты уретра продолжается в направлении мочеполовой диафрагмы в виде вогнутой по большому радиусу дуги. В проксимальных отделах, в непосредственной близости от верхушки простаты, уретра имеет утолщение, соответствующее рабдосфинктеру. Ближе к мочеполовой диафрагме кзади от уретры определяются парные периуретральные (куперовы) железы, имеющие вид симметричных округлых гипоэхогенных образований диаметром до 5 мм.
УЗИ органов мошонки. При УЗИ органов мошонки используют датчики высокой разрешающей способности, от 5 до 12 мГц, что позволяет хорошо видеть мелкие структуры и образования. В норме яичко определяется в виде гиперэхогенного образования овальной формы с четкими, ровными контурами (рис. 4.23).
Рис. 4.23. Сонограмма мошонки. Яичко в норме
Структура яичка характеризуется как однородная гиперэхогенная ткань. В центральных отделах его определяется линейная структура высокой плотности, ориентированная по длиннику органа, что соответствует изображению средостения яичка. В краниальных отделах яичка хорошо визуализируется головка придатка, имеющая форму, близкую к треугольной. К каудальному отделу яичка прилежит хвост придатка, повторяющий форму яичка. Тело придатка визуализируется неотчетливо. По своей эхогенности придаток яичка близок к эхогенности самого яичка, однороден, имеет четкие контуры. Межоболочечная жидкость анэхогенная, прозрачная, в норме определяется в виде минимальной прослойки от 0,3 до 0,7 см преимущественно в проекции головки и хвоста придатка.
Малоинвазивные диагностические и оперативные вмешательства под сонографическим контролем. Внедрение ультразвуковых сканеров позволило значительно расширить арсенал малоинвазивных методов в диагностике и лечении урологических заболеваний. К ним относятся:
диагностические:
- пункционная биопсия почки, предстательной железы, органов мошонки;
- пункционная антеградная пиелоуретерография; лечебные:
- пункция кист почки;
- пункционная нефростомия;
- пункционное дренирование гнойно-воспалительных очагов в почке, забрюшинной клетчатке, предстательной железе и семенных пузырьках;
- пункционная (троакарная) эпицистостомия.
Диагностические пункции по способу получения материала подразделяются на цитологические и гистологические.
Цитологический материал получают при проведении тонкоигольной аспирационной биопсии. Более широкое применение имеет гистологическая биопсия, при которой забираются участки (столбики) ткани органа. Таким образом взятый полноценный гистологический материал может быть использован для постановки морфологического диагноза, проведения иммуногистохимического исследования и определения чувствительности к химиопрепаратам.
Способ получения диагностического материала определяется расположением интересующего органа и возможностями ультразвукового прибора. Пункции образований почек, забрюшинных объемных образований выполняются с использованием трансабдоминальных датчиков, которые позволяют визуализировать всю зону пункционного вмешательства. Пункция может проводиться по методике «свободная рука», когда врач совмещает траекторию иглы и зоны интереса, работая пункционной иглой без фиксирующей направляющей насадки. В настоящее время преимущественно используют методику с фиксацией биопсийной иглы в специальном пункционном канале. Направляющий канал для пункционной иглы предусмотрен либо в специальной модели ультразвукового датчика, либо в специальной пункционной насадке, которая может крепиться к обычному датчику. Пункция органов и патологических образований малого таза осуществляется в настоящее время только с использованием трансректальных датчиков со специальной пункционной насадкой. Специальные функции ультразвукового прибора позволяют наилучшим образом совмещать зону интереса с траекторией пункционной иглы.
Объем пункционного материала зависит от конкретной диагностической задачи. При диагностической пункции простаты в настоящее время используют веерную технологию с забором не менее 12 трепан-биоптатов. Данная методика позволяет распределить зоны забора гистологического материала равномерно по всем отделам простаты и получить адекватный объем исследуемого материала. При необходимости объем диагностической биопсии расширяют - увеличивают число трепан-биоптатов, биопсируют близлежащие органы, в частности семенные пузырьки. При повторных биопсиях простаты число трепан-биоптатов, как правило, удваивают. Такая биопсия носит название сатурационной. При подготовке биопсии простаты осуществляют профилактику воспалительных осложнений, кровотечений, подготавливают ампулу прямой кишки. Анестезию выполняют с помощью ректальных инстиллятов, применяют проводниковую анестезию.
Лечебные пункции под сонографическим контролем используются для эвакуации содержимого из патологических полостных образований - кист, абсцессов. В зависимости от конкретной задачи в освобожденную от патологического содержимого полость вводят лекарственные препараты. При кистах почек применяют склерозанты (этиловый спирт), что приводит к уменьшению объема кистозного образования вследствие повреждения его внутренней выстилки. Использование данного метода возможно только после проведения кистографии, позволяющей убедиться в отсутствии связи кисты с чашечно-лоханочной системой почки. Применение склеротерапии не исключает рецидива заболевания. После пункции абсцесса любой локализации пункционный канал расширяют, гнойную полость опорожняют, промывают растворами антисептиков и дренируют.
Сонографический контроль при выполнении чрескожной нефростомии позволяет с максимальной точностью пунктировать чашечно-лоханочную систему почки и установить нефростомический дренаж.
Дата добавления: 2015-07-14; просмотров: 2609;
