Сперматогеннные клетки и сперматогенез
а) Общая характеристика сперматогенных клеток
| Типы клеток | а) Развитие сперматогенных клеток называется сперматогенезом. б) Разным этапам последнего соответствуют специальные названия клеток: I. сперматогонии (Сг) – митотически делящиеся клетки, II. сперматоциты (Сц) – клетки, проходящие мейоз, III. сперматиды (Ст) – неделящиеся клетки в состоянии морфологической перестройки, IV. сперматозоиды (Сз) – мужские половые клетки, утратившие связь со стенкой канальца. | ||
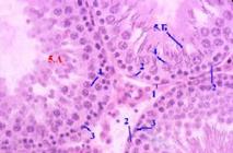
| Рис. 29.3, а-б. Яичко. Стенка извитых семенных канальцев Окраска гематоксилином и эозином |
| |
| Положение и вид клеток | а) По мере созревания клеток они постепенно перемещаются от базальной мембраны канальца к его просвету. б) В соответствии с этим, на снимках видны: - вблизи базальной мембраны – Сг (3) – клетки средних размеров с тёмными ядрами, - во втором или (и) в третьем слое клеток – Сц (4) – крупные клетки с выраженным рисунком хроматина в ядрах, - в среднем слое – ранние Ст (5А) – небольшие, округлые, со светлым ядром; - в слоях, близких к просвету, – средние Ст – овальной формы, с более тёмным ядром, и поздние Ст (5Б) – мелкие, с плотным ядром и жгутиком; - наконец, в просвете канальцев – Сз(6), близкие по морфологии к поздним Ст. | ||
б) Три стадии сперматогенеза
| а) Сперматогенез у половозрелого человека – это продолжение более общего процесса, который начинается ещё на самых ранних стадиях эмбриогенеза. б) В этом общем процессе можно выделить три стадии. | |
| 1. Стадия гоноцитов | а) Клетка-предшественница половых клеток, видимо, появляется на одной из первых стадий дробления зиготы. Её потомки - на стадии гаструляции из эпибласта временно перемещаются в гипобласт и вместе с ним оказываются в стенке желточного мешка, - а через некоторое время по появившимся кровеносным сосудам возвращаются в тело эмбриона. б) Здесь гоноциты (или первичные половые клетки, ППК) внедряются в эпителиальные половые валики на поверхности первичных почек и вместе с их клетками врастают в ткань этих почек. в) Под влиянием окружающих эпителиальных клеток определяется направление развития ППК – в сторону мужских половых клеток. |
Стадии сперматогенеза (продолжение)
| 2. Пре-сперматогенез | а) После этого клетки, называемые теперь пресперматогониями, вступают в длительный период покоя. б) В возрасте 7–8 лет пресперматогонии начинают интенсивно делиться, что приводит к образованию большого количества изолированных сперматогоний (и-Сг). в) Название отражает тот факт, что, в отличие от последующих сперматогенных клеток, и-Сг не связаны друг с другом цитоплазматическимимостиками. г) И-Сг вновь вступают на несколько лет в период покоя – до достижения половозрелости. |
| 3. Собственно сперматогенез | С наступлением же репродуктивного возраста и-Сг начинают вступать в митотические деления двух типов. а) Одни ведут к появлению таких же и-Сг (не связанных мостиками) – для пополнения их численности. б) А после других делений между дочерними клетками остаются цитоплазматическиемостики, что означает начало собственносперматогенеза – необратимого процесса, ведущего к образованию сперматозоидов. |
Дата добавления: 2015-08-04; просмотров: 994;
