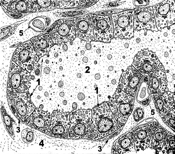
Базальные клетки. 2.Базальная клетка в состоянии митоза. 3.Клетки, накапливающие секрет. 4.Разрушающиеся клетки. 5. Секрет. 6.Рыхлая соединительная ткань.
Сальная железа является простой альвеолярной разветвленной железой. Между альвеолами располагается рыхлая волокнистая соединительная ткань (6). Клетки концевых секреторных отделов – себоциты. Базальные клетки (1) располагаются на базальной мембране. Они имеют кубическую или уплощенную форму. В них много гликогена, митохондрий, свободных рибосом. Слабо развиты комплекс Гольджи, гранулярная и агранулярная ЭПС. Базальные себоциты, которые выстилают верхнюю часть альвеолы не принимают участия в продукции кожного сала, являясь камбием. Дифференцируясь клетки увеличиваются в обьеме. В них хорошо развиты гранулярная и агранулярная ЭПС, комплекс Гольджи, много липидных капель. При дальнейшей дифференцировке обьем клеток значительно увеличивается (3). Они заполнены липидами. Между липидными гранулами – лизосомы, митохондрии. В клетках, накопивших секрет (3) ядра клеток становятся пикнотическими или совсем не видны, поскольку в клетке большое количество жира (агрегаты из жировых капель). В клетках увеличивается количество гидролитических ферментов в лизосомах. Начинается разрушение клеток (4), а секрет-кожное сало (состоит из триглицеридов) попадает в выводной проток. Такой тип секреции назывется голокриновым. Этот термин означает, что в процессе секреции происходит разрушение и гибель всей клетки. Голокриновые железы встречаются редко. Единственным широко распространенным примером желез такого типа являются сальные железы кожи. Тестостерон увеличивает интенсивность митоза в себоцитах. Появляется много зрелых клеток и отток кожного сала затруднен (угри). Тиреоидные гормоны усиливают функцию себоцитов. Эстрогены угнетают функцию сальных желез, а прогестерон ее стимулирует (у женщин).

Дайте название процессу на схеме. Фрагмент какой железы представлен на схеме? Назовите типы клеток и структуры, обозначенные цифрами.
Рис. 4. Молочная железа. Апокриновый тип секреции.
Дата добавления: 2015-08-01; просмотров: 2038;
