Структурно-функциональной единицей печени является печеночная долька, имеющая форму призмы. Состоит из печеночных балок, а они, в свою очередь, образованы гепатоцитами (6).
Гепатоциты имеют многоугольную форму, 1 или 2 ядра. Составляют 80% всех клеток печени, живут более 1 года. В печеночных балках гепатоциты располагаются в 2 ряда. Между собой клетки соединяются при помощи десмосом (15), плотных контактов, по типу «замка». Между рядами располагаются желчные капилляры (14), которые не имеют собственной стенки (ею являются билиарные поверхности гепатоцитов) и начинаются они слепо. Поверхность гепатоцита обращенная к синусоидному капилляру называется васкулярной. Васкулярной поверхностью гепатоцит выделяет в кровь белки, витамины, глюкозу, липидные комплексы. Васкулярная и билиарная поверхности гепатоцитов имеют микроворсинки. В норме желчь не поступает в кровь. Возможность попадания желчи в кровь создается при повреждении гепатоцитов (возникает паренхиматозная желтуха).
Цитоплазма печеночных эпителиоцитов воспринимает кислые и основные красители. Клетки содержат много органелл. Хорошо развит комплекс Гольджи (7), где осуществляется биосинтез липопротеинов, гликопротеинов. Комплекс Гольджи может смещаться к той или иной поверхности гепатоцита в зависимости от того, что в данный момент синтезирует гепатоцит. Гранулярная ЭПС (11) располагается плотно, на ее поверхности синтезируется много белков, которые затем поступают в комплекс Гольджи. Агранулярная ЭПС отвечает за синтез гликогена, липидов. Много митохондрий (8), имеющих овальную форму, с малым количеством крист. Митохондрии обеспечивают энергетические процессы. Лизосомы располагаются вблизи ядра, принимают участие во внутриклеточном переваривании. Пероксисомы расщепляют эндогенные перекиси. Включения гликогена (13), жира относят к трофическим. Их количество связано с пищеварением. Между печеночными балками находятся синусоидные капилляры (1), стенка которых выстлана эндотелиоцитами (4). Между эндотелиальными клетками располагаются звездчатые макрофаги (17) – клетки Купфера. Их функция осуществляется за счет высокой фагоцитарной активности, наличия лизосомального аппарата. Они очищают кровь от антигенов, токсинов, микроорганизмов; фагоцитируют поврежденные эритроциты. Со стороны просвета капилляра с помощью псевдоподий прикрепляются ямочные клетки (3). В их цитоплазме содержатся гранулы с биологически активными веществами и пептидными гормонами. Ямочные клетки относят к натуральным киллерам. Они уничтожают поврежденные гепатоциты; обладают эндокринной функцией (стимулируют пролиферацию печеночных клеток), их относят к APUD системе.
Перисинусоидальное пространство (перикапиллярное) (2), в норме заполнено жидкостью, богатой белками. Здесь находятся микроворсинки гепатоцитов, отростки звездчатых макрофагов. Перисинусоидальные липоциты (16) – отросчатые клетки со слабо развитыми органеллами. Вокруг ядра и в отростках липидные капли. Располагаются в перисинусоидальном пространстве между гепатоцитами. В норме эти клетки накапливают витамин А (в цитоплазме в виде мелких липидных капель), в патологических условиях вырабатывают коллаген, что может приводить к фиброзу печени. В этих клетках много рибосом, меньше митохондрий.

Фрагмент какого органа изображен на рисунке? Назовите структуры, обозначенные цифрами.
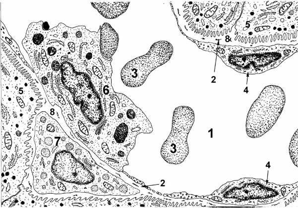
Рис. 11. Синусоидный капилляр в печеночной дольке.
Капилляр. 2.Перывистая базальная мембрана. 3.Эритроцит. 4.Эндотелиоцит. 5.Фрагмент печеночного эпителиоцита (гепатоцита). 6.Звездчатый макрофаг (клетка Купфера). 7.Перисинусоидальный липоцит (клетка Ито). 8.Пространство Диссе (периваскулярное).
Между печеночными балками находятся синусоидные капилляры (1), стенка которых выстлана эндотелиоцитами (4). Между эндотелиальными клетками располагаются звездчатые макрофаги (6) – клетки Купфера образующиеся из моноцитов крови. Этих клеток больше на периферии печеночной дольки. Отростки этих клеток проникают в пространство Диссе (8). Их функция состоит в высокой фагоцитарной активности. Они очищают кровь от антигенов, токсинов, микроорганизмов, фагоцитируют поврежденные эритроциты, стимулируют регенерацию гепатоцитов.
Перисинусоидальное пространство (перикапиллярное, пространство Диссе), в норме заполнено жидкостью, богатой белками. Здесь находятся микроворсинки гепатоцитов, отростки звездчатых макрофагов (6). Перисинусоидальные липоциты (клетки Ито) (7) – отросчатые клетки со слабо развитыми органеллами. Их отростки контактируют как с синусоидными капиллярами, так и с гепатоцитами. Вокруг ядра и в отростках липидные капли. Клетки располагаются в перисинусоидальном пространстве между гепатоцитами. В норме эти клетки накапливают витамин А ( в цитоплазме в виде мелких липидных капель) и другие жирорастворимые витамины (А, Д, Е, К). В патологических условиях вырабатывают коллаген, что может приводить к циррозу печени. В этих клетках много рибосом, меньше митохондрий.

Фрагмент каких клеток изображен на рисунке? Назовите структуры, обозначенные цифрами.
Рис. 12. Печеночный эпителиоцит. Включения в клетках печени.
Дата добавления: 2015-08-01; просмотров: 2247;
