Special examinations. The main tasks of special investigations are: Differential diagnosis with other abdominal and extraabdominal diseases
The main tasks of special investigations are:
- Differential diagnosis with other abdominal and extraabdominal diseases.
- Detection of the form (pancreatitis or pancreonecrosis).
- Detection of the previous system disorders for immediate correction.
Laboratory studies
Amylase and lipase. Serum amylase and lipase levels are typically elevated in persons with acute pancreatitis. Amylase or lipase levels at least 3 times above the reference range are generally considered diagnostic of acute pancreatitis.
The level of serum amylase or lipase does not indicate whether the disease is mild, moderate, or severe, and monitoring levels serially during the course of hospitalization does not offer insight into prognosis.
Liver-associated enzymes. Determine alkaline phosphatase, total bilirubin, aspartate aminotransferase and alanine aminotransferase levels to search for evidence of gallstone pancreatitis.
Calcium, cholesterol and triglycerides. Determine these levels to search for aetiology of pancreatitis (hypercalcemia or hyperlipidemia) or complications of pancreatitis (hypocalcemia resulting from saponification of fats in the retroperitoneum). However, be wary of the fact that baseline serum triglyceride levels can be falsely lowered during an episode of acute pancreatitis.
Serum electrolytes, creatinine, and glucose. Measure these to look for electrolyte imbalances, renal insufficiency, and pancreatic endocrine dysfunction.
CBC. Haemoconcentration at admission (an admission hematocrit value greater than 47%) has been proposed as a sensitive measure of more severe disease. Leukocytosis may represent inflammation or infection.
C-reactive protein. A C-reactive protein (CRP) value can be obtained 24–48 hours after presentation to provide some indication of prognosis. Higher levels have been shown to correlate with a propensity toward organ failure. A CRP value in double figures (i.e., >10 mg/dL) strongly indicates severe pancreatitis. CRP is an acute-phase reactant that is not specific for pancreatitis.
Arterial blood gases. Measure ABGs if a patient is dyspneic. Whether tachypnea is due to acute respiratory distress syndrome or diaphragmatic irritation must be determined.
Trypsin and its precursor trypsinogen-2 in both the urine and the peritoneal fluid have been evaluated as possible markers for acute pancreatitis but are not widely used.
Imaging studies
Abdominal radiography. This modality has a limited role in acute pancreatitis. These radiographs are primarily used to detect free air in the abdomen, indicating a perforated viscus, as would be the case in a perforated ulcer. In some cases, the inflammatory process may damage peripancreatic structures, resulting in a colon cut-off sign, a sentinel loop, or an ileus. The presence of calcifications within the pancreas may indicate chronic pancreatitis.
Chest radiography can help to detect lung and pleural complications.
Abdominal ultrasonography. This is the most useful initial test in determining the aetiology of pancreatitis and is the technique of choice for detecting gallstones. In the setting of acute pancreatitis, sensitivity is reduced to 70–80%. In addition, the ability to identify choledocholithiasis is limited. Ultrasonography cannot measure the severity of disease. Some complications (pancreatical mass, pancreatical abscess, abdominal or retroperitoneal abscess, pseudocyst of pancreas, peritonitis) can be diagnosed.
Abdominal CT scanning. This is generally not indicated for patients with mild pancreatitis unless a pancreatic tumor is suspected (usually in elderly patients). CT scanning is always indicated in patients with severe acute pancreatitis and is the imaging study of choice for assessign complications. Scans are seldom needed within the first 72 hours, because inflammatory changes are often not radiographically present until this time.
Contrast-enhanced CT of the pancreas is diagnostic and can show (fig. 15, 16):
– enlargement of pancreas due to oedema;
– peripancreatic inflammation: linear strands in the peripancreatic fat;
– phlegmon;
– haemorrhagic: enlarged pancreas with increased density due to haemorrhage;
– necrosis: on contrast enhanced phases the necrotic pancreatic parenchyma will show decreased or no enhancement when compared with normally enhancing viable tissue;
– fluid in the paracolic gutter;
– fluid collections: a simple peripancreatic fluid collection will not have a well-defined capsule;
– pseudocysts: as liquifaction of necrotic pancreatic tissue progresses it will gradually take on the appearance of localized fluid collection pseudocyst;
– abscesses: diffusely enlarged pancreas with air pockets.

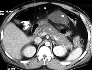
Figure 15 – CT scan in acute pancreatitis
Post Contrast CT findings reveal diffusely enlarged pancreas with low density from oedema. C – colon, St – stomach,
P – pancreas

Figure 16 – Acute pancreatitis, pancreatic necrosis
Note the nonenhancing pancreatic body anterior to the splenic vein. Also present is peripancreatic fluid extending anteriorly from the pancreatic head
Abdominal CT scans also provide prognostic information based on the following grading scale developed by Balthazar:
A – normal.
B – enlargement.
C – peripancreatic inflammation.
D – signle fluid collection.
E – multiple fluid collections.
The chances of infection and death are virtually nil in grades A and B but steadily increase in grades C through E. Patients with grade E pancreatitis have a 50% chance of developing an infection and a 15% chance of dying.
Dynamic spiral CT scanning is used to determine the presence and extent of pancreatic necrosis. Focal or diffuse regions of unenhanced parenchyma on the second study suggest pancreatic necrosis.
Magnetic resonance cholangiopancreatography (MRCP) has an emerging role in the diagnosis of suspected biliary and pancreatic duct obstruction.
Endoscopic ultrasonography (EUS) is an endoscopic procedure that allows a high-frequency Ultrasonic transducer to be inserted into the gastrointestinal tract. EUS is often helpful in evaluating the cause of severe pancreatitis, particularly microlithiasis and biliary sludge, and can help identify periampullary lesions better than other imaging modalities.
Procedures
Endoscopic retrograde cholangiopancreatography is dangerous in patients with acute pancreatitis and should never be used as a first-line diagnostic tool in this disease.
The indications for this procedure are:
1) if a patient has severe acute pancreatitis that is believed, and is seen on other radiographic studies, to be secondary to choledocholithiasis;
2) if a patient has biliary pancreatitis and is experiencing worsening jaundice and clinical deterioration despite maximal supportive therapy.
CT-guided needle aspiration. This procedure is used to differentiate infected necrosis and sterile necrosis in patients with severe necrotizing pancreatitis.
Дата добавления: 2015-07-04; просмотров: 995;
