Артерии. а) Артерии эластического типа
| Класси-фикация | а) Классификационный признак: соотношение эластических и мышечных элементов в t. mediа. б) По этому признаку артерии подразделяются на 3 типа: - эластического типа – аорта и лёгочный ствол, - мышечно-эластического типа – крупные ветви аорты: сонные, подключичные и подвздошные артерии; - мышечного типа – артерии среднего и мелкого калибра. |
а) Артерии эластического типа. Аорта
| Внутрен-няя оболочка | а) В аорте в t. intima (I) под эндотелием (1) содержится достаточно выраженный подэндотелиальный слой (2). б) Поэтому холестерин в первую очередь откладывается именно здесь. |
Рис.18.1,а-б. Аорта. Окраска
а) гематоксилином и эозином, б) орсеином
|
| Средняя оболочка | а) А в t. media (II) параллельно поверхности расположено 60-70 окончатых эластических мембран, что выявляется при окраске орсеином. б) Но между мембранами содержится немало гладких миоцитов: при обычной окраске именно они прокрашиваются на препарате (рис. 18.1,а) в) Т.о. термин «артерия эластического типа» означает - не отсутствие гладких миоцитов в t. media, - а лишь преобладание над ними эластических элементов по занимаемому объёму. г) Миоциты же здесь выполняют двойную функцию: - механическую (поддержание тонуса стенки аорты) и - биосинтетическую (продуцируют вещества – эластин, фибриллин, протеогликаны и пр.,– входящие в структуры межклеточной среды). | |
| Наружная оболочка | В t. externa (III) особенностей нет. Только в РВСТ и внутренней, и наружной оболочек – заметное присутствие эластических волокон. |
б) Артерии мышечно-эластического типа: здесь в t. media миоциты и эластические элементы (волокна и окончатые мембраны) содержатся в примерно равном количестве (по занимаемому ими объёму)
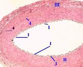
в) Артерии мышечного типа На препаратах у этих артерий – 3 чётких признака.
| 1) Внутренняя поверхность – в складчатом состоянии. Это появляется только при приготовлении препарата – из-за высокого содержания миоцитов в t. media дегидратация образца сокращает длину t. media, что и даёт складки в t. intima. 2) На границе t. intima с t. media – внутренняя эластическая мембрана – в виде блестящей извилистой полоски. 3) T. media – самая толстая и почти вся занята циркулярными пучками гладких миоцитов. |
Рис. 18.2
|
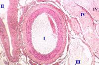
г) Сосудисто-нервный пучок
| 1) Артерии обычно идут рядом с венами и нервами, образуя вместе с ними сосудисто-нервные пучки. 2) В представленном на снимке пучке видны: - артерия (I) мышечного типа cо всеми тремя характерными признаками (складчатостью, внутренней эластической мембраной, высоким содержанием миоцитов в t. media); - вена (II), где нет ни одного из этих признаков, - лимфатический сосуд (III) и нерв (IV). | \
Рис. 18.3
|
3. Микроциркуляторное руслоа) Артериолы
| Состав стенки | Артериолы формально сохраняют три оболочки, хотя последние очень истончены: а) t. intima – эндотелий на базальной мембране и внутренняя эластическая мембрана (тонкая и прерывистая): б) t. media – 1 –2 слоя миоцитов, расположенных циркулярно; в) t. externa – РВСТ. |
| Функции миоцитов | Здесь гладкие миоциты нужны уже не для поддержания сосудистого тонуса и кинетической энергии крови, а для влияния на просвет сосуда – в ответ на - нервные (симпатические и парасимпатические) и - эндокринные (адреналин, ангиотензин, гистамин и др.) сигналы. |
б) Кровеносные капилляры
| Классифи-кационные признаки | а) Как уже было сказано, в стенке кровеносного капилляра – три вида клеток, и два из них (перициты и адвентициальные клетки) сплошных слоёв не образуют. б) Поэтому проницаемость капилляра зависит лишь от строения эндотелия и базальной мембраны. | ||
| Типы капилляров |
На этих двух признаках основана классификация капилляров: последние делятся на
- соматические (или обычные),
- перфорированные.
| ||
| а) Соматические капилляры | Эти, наиболее распространённые, капилляры имеют непрерывный эндотелий и непрерыв-ную базальную мембрану (БМ). Их проницае-мость зависит от состояния БМ и окружения |
| |
| б) Капилляры с фенестрами | Имеют фенестры – локальные истончения эндотелия (облегчающие транспорт в-в) и непрерывную БМ. Содержатся в почках, в ворсинках кишки и в эндокринных органах. |
| |
| в) Перфорированные капилляры | И в эндотелии, и в БМ имеются щелевидные поры (облегчающие переход клеток). Часто это синусоидные (широкие) капилляры – в красном костном мозгу, селезёнке, печени. |
|
в) Венулы Различают три вида венул, последовательно переходящих одни в другие.
| ПОСТКАПИЛЛЯРНЫЕ | СОБИРАТЕЛЬНЫЕ | МЫШЕЧНЫЕ |
| Стенка – как у капилляров, но больше перицитов | Перициты образуют сплошной слой | Вместо перицитов – 1–2 сплошных слоя миоцитов |
| Диаметр – до 30 мкм | Диаметр – до 50 мкм | Диаметр – до 100 мкм |
г) Микрососуды мягкой мозговой оболочки
| 1) В мягкой мозговой оболочке (как и в ряде других органов) венулы и даже вены совсем не содержат гладких миоцитов. 2) В этом случае очень легко различить все три основные вида микрососудов. 3) Это, в частности, видно на тотальном препарате: мягкая мозговая оболочка растянута на стекле и мы наблюдаем её сверху. | ||
| Рис. 18.5, а-в. Мягкая мозговая оболочка. Тотальный препарат. Окраска гематоксилином и эозином | ||
| Артериола | Капилляр | Венулы |
|
|
|
| Циркулярно расположенные миоциты создают «поперечную исчерченность» сосуда. Эритроцитов обычно не видно. | Через стенку капилляра видны эритроциты, но, из-за его небольшого диаметра, они идут в 1 ряд. В венуле (I) они уже – в 2 ряда. | В венулах, как уже сказано, нет миоцитов, т.е. нет и поперечной исчерченности. Просвет заполнен эритроцитами. |
д) Артериоло-венулярные анастомозы (АВА)
| С помощью АВА кровь попадает из артериального русла в венозное, минуя капилляры. Бывают истинные АВА (шунты) и атипичные. (полушунты) | |
| Истинные АВА | а) Имеют широкий просвет (от 30 до 500 мкм). Так что кровь очень быстро проходит через них, не успев изменить состав. б) Во-вторых, у такого АВА более толстая, чем у капилляра, стенка. |
| Виды истинных АВА | I. Простые АВА: в стенке анастомоза строение артериолы резко сменяется строением венулы. Кровоток через АВА регулируется гладкими миоцитами артериолы. II. АВА с запирающим устройством: здесь в самом АВА содержатся либо миоциты, либо эпителиоидные клетки, регулирующие просвет АВА. |
| Атипич-ные АВА | Это сосуд капиллярного типа, но короткий и широкий. Поэтому обмен веществами между сосудами и тканями идёт, однако неполный. |
Дата добавления: 2015-08-04; просмотров: 1426;

Рис.18.1,а-б. Аорта. Окраска
а) гематоксилином и эозином, б) орсеином
Рис. 18.2
Рис. 18.3