ГЛАВА 10. ОРГАНЫ ПИЩЕВАРИТЕЛЬНОЙ СИСТЕМЫ

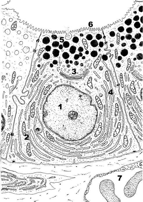
Какая клетка изображена на рисунке? Назовите структуры, обозначенные цифрами.
Рис. 1. Собственные железы желудка. Главный экзокриноцит.
Ядро. 2.Митохондрии.3.Комплекс Гольджи. 4.Гр. ЭПС. 5.Гранулы белкового секрета. 6.Микроворсинки.7.Кровеносный капилляр.
Главные экзокриноциты находятся в области дна и тела собственных желез желудка. Это небольшие по размеру клетки имеют базофильную цитоплазму ( за счет высокого содержания РНК). В апикальной части короткие микроворсинки (6), секреторные гранулы (5). Клетки имеют хорошо выраженный комплекс Гольджи (3), гр. ЭПС (4).
Дата добавления: 2015-08-01; просмотров: 1204;
