Ситуационная задача № 4. Больная, 29 лет, жалуется на выраженную дисфагию (проходит только вода), общую слабость, похудение, повышенную саливацию
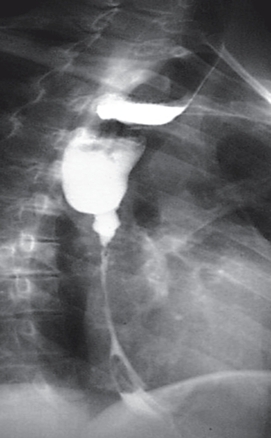
Больная, 29 лет, жалуется на выраженную дисфагию (проходит только вода), общую слабость, похудение, повышенную саливацию. Год назад с суицидальной целью выпила уксусную эссенцию. Первая помощь была оказана дома, затем в стационаре. Из больницы выписана через 1 мес в удовлетворительном состоянии, пища по пищеводу проходила свободно. Через 3 мес после выписки возникла дисфагия, которая прогрессирующе усиливается. Больная похудела на 11 кг. Рентгенологически выявлена следующая картина (рис. 27).
Ваш диагноз? Какой вид оперативного вмешательства потребуется пациентке?

Рис. 27.Рентгенограмма пищевода больной, 29 лет

Рис. 28.Рентгенограмма пищевода больной, 49 лет
Дата добавления: 2015-04-29; просмотров: 681;
