Оценить эффективность предыдущего антигипертензивного лечения. 10 страница
В течение длительного времени (до 15–20 лет) порок остается полностью компенсированным: несмотря на высокий градиент давления, гипертрофированный ЛЖ обеспечивает нормальный сердечный выброс и уровень АД (по крайней мере, в покое). Этому способствуют также характерные для аортального стеноза брадикардия и компенсаторное удлинение систолы ЛЖ.
2. Диастолическая дисфункция. Несмотря на сохранение в течение длительного времени нормальной сократимости миокарда и систолической функции ЛЖ, выраженная гипертрофия миокарда сопровождается диастолической дисфункцией ЛЖ, возникающей в первую очередь вследствие нарушения податливости мышечной массы желудочка и угнетения процесса активного расслабления миокарда ЛЖ (подробнее — см. главы 2 и 7). Нарушение диастолического наполнения желудочка сопровождается ростом КДД в ЛЖ и давления наполнения. В результате происходит перераспределение диастолического потока крови в пользу ЛП, которое усиливает свои сокращения. Вклад предсердия в формирование ударного объема значительно увеличивается. Это является по сути вторым важным компенсаторным механизмом поддержания нормального сердечного выброса. Если по каким-то причинам предсердие “выпадает” из сокращения (например, при фибрилляции предсердий), происходит резкое ухудшение состояния больных аортальным стенозом.
С другой стороны, нарушение диастолической функции ЛЖ закономерно сопровождается ростом давления в ЛП, а также в венах малого круга кровообращения. В этих условиях воздействие любых неблагоприятных факторов (физическая нагрузка, подъем АД у больных с сопутствующей АГ, возникновение фибрилляции предсердий и др.) может привести к заметному увеличению застойных явлений в легких и появлению клинических признаков левожелудочковой недостаточности, в данном случае ее диастолической формы.
3. Фиксированный ударный объем.Несмотря на то что сердечный выброс у больных со стенозом устья аорты в течение длительного времени остается неизмененным, прирост его во время физической нагрузки заметно снижен. Это объясняется главным образом существованием на пути кровотока “третьего барьера” — обструкции аортального клапанного кольца. Неспособность ЛЖ к адекватному увеличению УО во время нагрузки (фиксированный ударный объем) объясняет частое появление у больных аортальным стенозом признаков нарушения перфузии головного мозга (головокружения, синкопальные состояния), характерных для этих больных даже в стадии компенсации порока. Нарушению перфузии периферических органов и тканей способствуют вазоконстрикторные сосудистые реакции, обусловленные в том числе активацией САС, РААС и вазоконстрикторных эндотелиальных факторов.
4. Нарушения коронарной перфузиипри стенозе устья аорты наступают достаточно рано. Они обусловлены действием следующих факторов:
- выраженной гипертрофией миокарда ЛЖ и относительным преобладанием мышечной массы над количеством капилляров (относительная коронарная недостаточность);
- повышением КДД в гипертрофированном ЛЖ и, соответственно, уменьшением диастолического градиента между аортой и желудочком, под действием которого во время диастолы и осуществляется коронарный кровоток;
- сдавлением субэндокардиальных сосудов гипертрофированным миокардом ЛЖ.
Таким образом, даже при отсутствии сопутствующего атеросклеротического сужения коронарных артерий у больных аортальным стенозом закономерно выявляются признаки коронарной недостаточности, причем задолго до развития сердечной декомпенсации.
5. Декомпенсация сердца обычно развивается на поздних стадиях заболевания, когда снижается сократительная способность гипертрофированного миокарда ЛЖ, уменьшается величина ФВ и УО, происходит значительное расширение ЛЖ (миогенная дилатация) и быстрый рост конечно-диастолического давления в нем, т.е. возникает систолическая дисфункция ЛЖ. При этом повышается давление в ЛП и венах малого круга кровообращения и развивается картина левожелудочковой недостаточности.
Иногда у больных с тяжелой левожелудочковой недостаточностью при значительном расширении ЛЖ и фиброзного кольца двустворчатого клапана развивается относительная недостаточность митрального клапана (“митрализация” аортального порока), которая еще больше усугубляет признаки застоя крови в легких.
Наконец, если в течение 2–3-х лет с момента возникновения левожелудочковой недостаточности не наступает летального исхода, высокое давление в легочной артерии может приводить к развитию компенсаторной гипертрофии ПЖ, а затем и к его недостаточности, хотя эти изменения в целом не характерны для больных аортальным стенозом. Они могут появляться, как правило, на конечной стадии развития заболевания, особенно при “митрализации” аортального порока сердца.
Запомните
1. Важнейшими компенсаторными механизмами, длительное время поддерживающими у больных аортальным стенозом сердечный выброс на нормальном уровне, являются:
· выраженная концентрическая гипертрофия миокарда ЛЖ без расширения его полости;
· усиление сокращений ЛП;
· удлинение систолы ЛЖ.
2. Сердечный выброс при аортальном стенозе длительное время остается неизмененным в покое, но при физической нагрузке ЛЖ не способен адекватно увеличивать УО (фиксированный ударный объем), что приводит к нарушению перфузии периферических органов и тканей. 3. Признаки коронарной недостаточности при аортальном стенозе возникают вследствие уменьшения диастолического градиента давления между аортой и ЛЖ, а также в результате резкого увеличения мышечной массы желудочка без адекватного увеличения числа капилляров (относительная коронарная недостаточность). 4. Нарушение систолической функции ЛЖ возникает на поздних стадиях заболевания и проявляется ростом КДД в ЛЖ, его миогенной дилатацией, снижением ФВ и УО, а также быстрым нарастанием застойных явлений в малом круге кровообращения и развитием легочной гипертензии. 5. Признаки левожелудочковой недостаточности при аортальном стенозе могут появляться не только на конечном этапе развития заболевания (т.е. при нарушении систолической функции ЛЖ), но и на более ранних его стадиях — в результате диастолической дисфункции ЛЖ (снижение податливости гипертрофированного миокарда ЛЖ, нарушение его активного расслабления и значительное увеличение давления наполнения).
| ||
| 8.3.3. Клиническая картина | ||
| ||
Жалобы
Больные со стенозом устья аорты в течение длительного времени не испытывают заметного дискомфорта, что свидетельствует о полной компенсации порока.
Первые жалобы появляются обычно при сужении устья аорты примерно до 50% ее просвета. Поначалу (в стадии компенсации) жалобы больных отражают признаки фиксированного сердечного выброса и относительной коронарной недостаточности. Для больных аортальным стенозом характерны головокружения, подташнивание, обморочные состояния(синкопе), появляющиеся при физической нагрузке или быстром изменении положения тела. Эти симптомы объясняются невозможностью адекватного увеличения сердечного выброса при нагрузке и преходящей недостаточностью мозгового кровообращения.
Следует помнить, что изредка причиной синкопальных состояний могут быть внезапно наступающие нарушения АВ-проводимости (АВ-блокады II и III степени), в целом весьма характерные для больных со стенозом устья аорты.
Со временем на фоне описанных клинических проявлений фиксированного ударного объема появляются быстрая утомляемость, слабость при физической нагрузке (недостаточная перфузия скелетных мышц, в том числе за счет вазоконстрикторных сосудистых реакций).
Типичные приступы стенокардиинапряжения или покоя очень характерны для части больных аортальным стенозом. Боли в области сердца появляются еще в период компенсации порока в результате относительной коронарной недостаточности, которая появляется или усугубляется во время физической нагрузки. Боль обычно локализуется за грудиной (редко — в области верхушки или во II–IV межреберье слева от грудины), иррадиирует в левую руку и плечо, купируется нитроглицерином.
Одышка — весьма характерная жалоба больных аортальным стенозом. Вначале она носит интермиттирующий характер и появляется при физической нагрузке или тахикардии любого происхождения, свидетельствуя, главным образом, о наличии диастолической дисфункции ЛЖ, ведущей к умеренному повышению давления в ЛП и легочных венах. Со временем одышка становится более стойкой, возникает при все меньшем физическом напряжении и даже в покое, иногда приобретая характер ортопноэ. Возникновение приступов удушья (сердечная астма или рецидивирующий альвеолярный отек легких), как правило, свидетельствует о присоединении к диастолической дисфункции ЛЖ нарушений его сократимости и указывает на вступление больного в финальный период развития заболевания.
Жалобы на появление отековна ногах, чувства тяжести в правом подреберье и других признаков правожелудочковой недостаточности не очень характерны для больных с изолированным стенозом устья аорты. Правожелудочковая недостаточность чаще развивается при выраженном падении сократимости ЛЖ, значительной легочной гипертензии, а также при сочетании аортального стеноза и пороков митрального клапана (в том числе при “митрализации” аортального порока).
Внезапная сердечная смерть возникает у 5–10% больных со стенозом устья аорты, главным образом, у лиц пожилого и старческого возраста с выраженной обструкцией аортального клапана.
Запомните
1. Стеноз устья аорты в течение длительного времени протекает бессимптомно. 2. При значительном сужении клапанного отверстия наиболее характерны жалобы, обусловленные наличием фиксированного ударного объема, относительной коронарной недостаточностью и левожелудочковой недостаточностью:
· головокружение, обмороки при нагрузке или быстрой перемене положения тела;
· быстрая утомляемость, слабость при физической нагрузке;
· приступы типичной стенокардии;
· одышка при нагрузке, а затем и в покое;
· в тяжелых случаях — приступы удушья (сердечная астма или отек легких).
3. Жалобы, связанные с появлением признаков правожелудочковой недостаточности (отеки, тяжесть в правом подреберье и др.), относительно редко встречаются у больных с изолированным стенозом устья аорты и возникают при значительной легочной гипертензии, в том числе обусловленной сочетанием аортального стеноза и пороков митрального клапана.
|
Осмотр
При общем осмотре обращает на себя внимание характерная бледность кожных покровов (“аортальная бледность”), обусловленная снижением сердечного выброса и возникающей на этом фоне склонностью периферических сосудов к вазоконстрикторным реакциям.
Акроцианоз возникает в более поздних стадиях заболевания и обычно не столь выражен, как при митральных пороках сердца.
Отеки на ногах выявляются достаточно редко.
Пальпация и перкуссия сердца
В стадии компенсации, когда преобладает выраженная концентрическая гипертрофия миокарда ЛЖ без расширения его полости, отмечают резко усиленный концентрированный и мало смещенный верхушечный толчок. Обычно он располагается в V межреберье по срединно-ключичной линии. Границы относительной тупости сердца практически не изменены (рис. 8.46, а). Иногда определяется “двойной” верхушечный толчок, обусловленный усиленным сокращением ЛП.
Следует еще раз напомнить, что даже в этот начальный период заболевания, условно называемый стадией компенсации, несмотря на отсутствие дилатации ЛЖ и сохранение насосной (систолической) функции сердца, у больных могут наблюдаться первые клинические признаки порока: головокружение, обмороки, стенокардия и даже одышка. Последняя обусловлена наличием выраженной диастолической дисфункции ЛЖ.
В стадии декомпенсации, которая характеризуется не только диастолической дисфункцией, но и снижением сократимости миокарда, наблюдается дилатация полости ЛЖ. При пальпации определяется усиленный верхушечный толчок, расположенный в V–VI межреберье кнаружи от левой срединно-ключичной линии. Левая граница относительной тупости сердца смещена влево (рис. 8.46, б). При резко выраженной дилатации ЛЖ проекция сердечной тупости на переднюю грудную стенку принимает вид “аортальной конфигурации” с подчеркнутой “талией” сердца.
Кроме того, при значительном сужении аортального клапанного отверстия и сохраненной функции ЛЖ на основании сердца нередко пальпаторно определяется систолическое дрожание, обусловленное низкочастотными колебаниями, образующимися при прохождении крови через суженное клапанное отверстие. Систолическое дрожание может определяться также в яремной вырезке и на сонных артериях.
|
| Рис. 8.46. Контуры относительной тупости сердца у больного с аортальным стенозом: а- стадия компенсации (дилатация ЛЖ не выражена); б - стадия декомпенсации (аортальная конфигурация) |
Аускультация сердца
В типичных случаях для стеноза устья аорты характерен грубый интенсивный систолический шум в зоне аускультации аорты и разнообразные изменения II и I тонов, чаще их ослабление (рис. 8.47).
| Рис. 8,47. Изменения ФКГ при стенозе устья аорты (второе межреберье справа): ослабление I и II тонов, высокоамплитудный систолический шум ромбовидного характера, занимающий всю систолу. S - систола, D - диастола. Вверху показан основной механизм возникновения шума (турбулентный ток крови) |
|
Изменения I тона. Для аортального стеноза наиболее характерно ослабление I тона сердца на верхушке, обусловленное замедлением изоволюмического сокращения резко гипертрофированного ЛЖ. В более редких случаях I тон может быть нормальной интенсивности. Иногда определяется своеобразное расщепление (раздвоение) I тона, свидетельствующее об увеличении асинхронизма в сокращении правого и гипертрофированного левого желудочков.
Изменения II тона.Аускультативные характеристики II тона на аорте, как правило, зависят от формы стеноза: при клапанном стенозе II тон обычно ослаблен, преимущественно, за счет уменьшения подвижности сросшихся и уплотненных створок аортального клапана.
Если за счет удлиненной систолы ЛЖ закрытие аортального клапана запаздывает и аортальный компонент II тона следует за пульмональным, возникает парадоксальное расщепление II тона, хотя этот аускультативный феномен на практике выявляется довольно редко. На выдохе расщепление выражено сильнее, чем на вдохе.
Дополнительные тоны сердца. При аортальном стенозе несколько чаще, особенно в стадии компенсации порока, можно выслушать IV патологический тон сердца, обусловленный увеличением силы сокращения ЛП и недостаточной диастолической податливостью гипертрофированного и ригидного ЛЖ. В тяжелых случаях декомпенсированного аортального стеноза, когда начинает преобладать систолическая дисфункция и объемная перегрузка дилатированного ЛЖ, можно выслушать протодиастолический ритм галопа, обусловленный появлением III патологического тона.
Систолический шумявляется важнейшим аускультативным признаком аортального стеноза. Шум лучше выслушивается во втором межреберье справа у края грудины, реже — на рукоятке грудины, и еще реже — в первом межреберье справа. Шум проводится на сосуды шеи, а в отдельных случаях — в проекции грудной аорты (межлопаточное пространство) или даже брюшной аорты (рис. 8.48).
|
| Рис. 8.48. Место выслушивания систолического шума при стенозе устья аорты |
Характерен интенсивный громкий систолический шум. По мере прогрессирования аортального стеноза шум становится все более интенсивным, а пик его — все более поздним. Шум сопровождается пальпаторно определяемым дрожанием над областью сердца и сонными артериями.
Иногда систолический шум приобретает “дистанционный” характер. Такой дистанционный шум может по своей интенсивности варьировать от слышимого фонендоскопом, расположенным на небольшом расстоянии от грудной стенки, до слышимого без фонендоскопа на расстоянии нескольких шагов от больного.
Систолический шум аортального стеноза продолжительный, имеет своеобразную ромбовидную форму. Шум может занимать всю систолу, не сливаясь ни с І тоном, ни со II тоном. Длительность шума отражает тяжесть обструкции в большей степени, чем характеристика его силы. Чем выраженнее стеноз, тем ближе ко II тону смещается “пик” ромбовидного шума. При небольшом стенозе “пик” шума располагается ближе к І тону.
Артериальный пульс и АД
В начальных стадиях заболевания артериальный пульс и АД практически не изменены. При значительном сужении аортального клапана пульс становится малым, низким и редким (pulsus parvus, tardus et rarus). Замедление сердечного ритма является своеобразным компенсаторным механизмом, обеспечивающим более полное изгнание крови через суженное отверстие аортального клапана.
При выраженном аортальном стенозе наблюдается уменьшение систолического и пульсового АД, что отражает характерные для порока изменения гемодинамики (уменьшение сердечного выброса).
Изменения других органов
Влажные хрипы в легких свидетельствуют о наличии у больного левожелудочковой недостаточности и застое крови в малом круге кровообращения. Гепатомегалия, так же как и другие признаки правожелудочковой недостаточности, редко встречается при изолированном аортальном стенозе
| 8.3.4. Инструментальная диагностика |
|
Электрокардиография
На ЭКГ у больных аортальным стенозом в большинстве случаев выявляются признаки выраженной гипертрофии ЛЖ (см. выше), чаще с его систолической перегрузкой. Резко увеличиваются амплитуды зубцов R в левых грудных отведениях (V5, 6) и амплитуда S в правых грудных отведениях (V1, 2), увеличивается длительность интервала внутреннего отклонения в V5, 6 больше 0,05 с, наблюдается резкий поворот сердца вокруг продольной оси против часовой стрелки, отклонение электрической оси сердца влево. Часто в отведениях V5, 6, I, aVL выявляются признаки систолической перегрузки ЛЖ в виде депрессии сегмента RS–Т и формирования двухфазных (–+) или отрицательных асимметричных зубцов Т (рис. 8.49).
| Рис. 8.49. ЭКГ больного с аортальным стенозом. Выявляется выраженная гипертрофия ЛЖ с его систолической перегрузкой |
|
Нередко на ЭКГ больных стенозом устья аорты наблюдается увеличение амплитуды и продолжительности зубцов R в левых грудных отведениях (V5, V6), а также в отведениях I и аVL, что говорит по меньшей мере об электрической перегрузке левого предсердия, обусловленной диастолической дисфункцией ЛЖ, возрастанием давления наполнения ЛЖ и среднего давления в ЛП. При “митрализации” аортального стеноза и развитии относительной недостаточности митрального клапана, сопровождающейся гипертрофией ЛП, эти признаки усугубляются еще больше.
Наконец, у больных аортальным стенозом нередко выявляются ЭКГ-признаки внутрижелудочковых блокад, чаще блокады левой ножки пучка Гиса.
Запомните
При стенозе устья аорты на ЭКГ определяются: 1. Выраженные признаки гипертрофии ЛЖ с его систолической перегрузкой (депрессия сегмента RS–Т и двухфазный или отрицательный зубец Т в левых грудных отведениях). 2. При выраженном аортальном стенозе, особенно при “митрализации” порока, увеличиваются амплитуда и продолжительность зубцов Р в левых грудных отведениях. 3. Признаки полной или неполной блокады левой ножки пучка Гиса (не всегда).
|
Рентгенологическое исследование
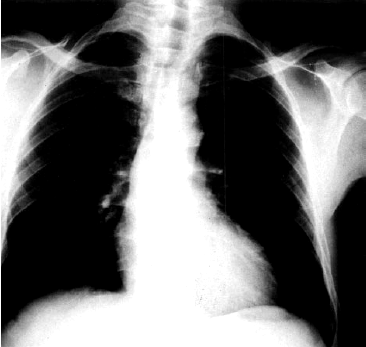
Длительное время в период компенсации порока размеры сердца почти не изменены, что объясняется отсутствием заметной дилатации ЛЖ. При декомпенсации сердца и развитии миогенной дилатации желудочка наблюдаются типичные рентгенологические признаки его расширения (см. выше), в частности удлинение нижней дуги левого контура сердца. При значительном смещении верхушки влево угол между сосудистым пучком и контуром ЛЖ становится менее тупым, а “талия” сердца — более подчеркнутой. Такая конфигурация сердца получила название “аортальной”, так как наиболее отчетливо проявляется при аортальных пороках сердца (недостаточности клапана аорты и стенозе устья аорты в стадии декомпенсации).
Кроме того, выраженное сужение устья аорты нередко приводит к постстенотическому расширению аорты, что объясняется значительным увеличением скорости систолического потока крови через суженное аортальное отверстие и высоким давлением струи крови на стенку аорты (рис. 8.50).
| Рис. 8.50. Рентгенограмма сердца в прямой проекции больного с аортальным стенозом. Заметно увеличение левого контура сердца с подчеркнутой "талией" сердца (аортальная конфигурация) и постстенотическое расширение аорты |
|
Наконец, при застое крови в малом круге кровообращения на рентгенограммах выявляются признаки венозной и артериальной легочной гипертензии, описанные выше.
Эхокардиограмма
Диагностическими критериями стеноза устья аорты при М–модальномисследовании является уменьшение степени расхождения створок аортального клапана во время систолы ЛЖ, а также уплотнение и неоднородность структуры створок клапана.
В норме движение створок аортального клапана записывается в форме своеобразной “коробочки” во время систолы и в виде прямой во время диастолы (рис. 8.51, а), причем систолическое раскрытие створок аортального клапана обычно превышает 12–18 мм. При тяжелой степени стеноза раскрытие створок становится меньше 8 мм (рис. 8.51, б). Расхождение створок в пределах 8–12 мм может соответствовать разной степени аортального стеноза.
|
| Рис. 8.51. Схема изменений одномерной эхокардиограммы при аортальном стенозе: а- систолическое раскрытие створок аортального клапана (АК) у здорового человека; б - систолическое раскрытие скобок АК у больного с аортальным стенозом. RCC - правая коронарная створка АК; NCC - некоронарная створка АК |
В то же время следует иметь в виду, что этот показатель, определяемый при М-модальном исследовании, не относится к числу надежных и достоверных критериев тяжести стеноза, поскольку он во многом зависит от величины УО. При застойной недостаточности кровообращения, мерцательной тахиаритмии и других патологических состояниях, сопровождающихся уменьшением сердечного выброса, степень расхождения створок аортального клапана также уменьшается, достигая в отдельных случаях критического значения — 12 мм.
Двухмерное исследование из парастернального доступа по длинной оси сердца позволяет выявить более достоверные признаки аортального стеноза (рис. 8.52):
|
| Рис. 8.52. Двухмерная эхокардиограмма, зарегестрированная из парастернального доступпа по длинной оси сердца у больного с аортальным стенозом (б). Заметны утолщения створок АК, неполное их раскрытие в систолу, значительное постстенотическое расширение аорты и выраженная гипертрофия задней стенки ЛЖ и МЖП (по В.К. Khandherio, A.J. Tajik, G.J. Taylor et al., 1989). Слева - схема ультразвуковой локации (а) |
1. Систолический прогиб створок клапана в сторону аорты (эхокардиографический симптом, аналогичный “парусению” створок митрального клапана при стенозе левого атриовентрикулярного отверстия) или расположение створок под углом друг к другу. Эти два признака свидетельствуют о неполном раскрытии аортального клапана во время систолы ЛЖ.
2. Выраженная гипертрофия миокарда ЛЖ при отсутствии существенной дилатации его полости, в результате чего КДО и КСО ЛЖ в течение длительного времени мало отличаются от нормы, но имеется значительное увеличение толщины МЖП и задней стенки ЛЖ. Только в далеко зашедших случаях аортального стеноза, когда развивается миогенная дилатация ЛЖ или возникает митрализация порока, на эхокардиограмме определяется увеличение размеров ЛЖ.
3. Постстенотическое расширение аорты, обусловленное значительным увеличением линейной скорости кровотока через суженное аортальное отверстие (см. рис. 8.52).
4. Выраженный кальциноз створок аортального клапана и корня аорты, что сопровождается увеличением интенсивности эхосигналов от створок клапана, а также появлением в просвете аорты множества интенсивных эхосигналов, параллельных стенкам сосуда.
Следует подчеркнуть, что площадь аортального отверстия не может оцениваться по данным двухмерной ЭхоКГ, так как в большинстве случаев происходит выраженная деформация клапанного отверстия и грубый кальциноз створок, что затрудняет планиметрическое определение его площади.
Самым надежным способом выявления стеноза устья аорты и определения его тяжести является допплер-эхокардиографическое исследованиев сочетании с двухмерной эхокардиографией. При аортальном стенозе линейная скорость кровотока в аорте существенно выше, чем в норме, достигая 3–5 м/с (рис. 8.53).
|
| Рис. 8.53. Допплеровское исследование трансаортального потока крови у больного с аортальным стенозом (апикальная позиция по длинной оси ЛЖ). Скорость трансаортального систолического потока крови достигает 3,6м/с, что соответствует систолическому градиенту давлений в аорте и ЛЖ 51,8 мм рт. ст. |
Степень сужения клапана оценивается по величине градиента давления между ЛЖ и аортой. Исследование проводится из апикального или супрастернального доступа в постоянно-волновом режиме, который позволяет измерять очень высокие скорости кровотока в аорте. Градиент давления по обе стороны аортальной обструкции определяется по формуле:
DР = 4 ґ V2,
где DР — градиент давления между ЛЖ и аортой (мм рт. ст.); V — максимальная скорость кровотока дистальнее обструкции (м/с).
В целом чем больше градиент давления, тем более выражено сужение аортального клапана. Если максимальная линейная скорость кровотока в аорте і 4 м/с (DР больше 64 мм рт. ст.), имеется тяжелая степень критического стеноза, безусловно требующая хирургической коррекции. Если эта скорость <3 м/с(DР меньше 36 мм рт. ст.), речь идет, как правило, об умеренном сужении клапана.
Однако при значениях максимальной скорости кровотока от 3 до 4 м/с (DР от 36 до 64 мм рт. ст.) корреляция между величиной максимального градиента и степенью сужения клапана не столь определенна. Поэтому в этих случаях необходим дополнительный расчет площади отверстия аортального клапана по данным допплеровского исследования в импульсно-волновом режиме.
С этой целью на двухмерной эхокардиограмме планиметрически измеряют площадь поперечного сечения выносящего тракта ЛЖ (рис. 8.54, а), а по данным допплер-эхокардиографии получают спектр линейной скорости потока крови в выносящем тракте ЛЖ и в аорте, т.е ниже и выше места сужения (рис. 8.54, б).
|
| Рис. 8.54. Расчет площади отверстия аортального клапана с помощью допплеровского и двухмерного эхокардиографического исследования (схема): а - планиметрическое определение площади поперечного сечения выносящего тракта ЛЖ; б - допплеровское определение линейной скорости систолического потока крови в выносящем тракте ЛЖ и в аорте (выше место сужения). Обозначение в тексте |
Как известно, объем кровотока в любой области сердца или магистрального сосуда можно определить как произведение интеграла линейной скорости потока на площадь поперечного сечения:
Дата добавления: 2015-08-04; просмотров: 706;

Запомните
1. Важнейшими компенсаторными механизмами, длительное время поддерживающими у больных аортальным стенозом сердечный выброс на нормальном уровне, являются:
· выраженная концентрическая гипертрофия миокарда ЛЖ без расширения его полости;
· усиление сокращений ЛП;
· удлинение систолы ЛЖ.
2. Сердечный выброс при аортальном стенозе длительное время остается неизмененным в покое, но при физической нагрузке ЛЖ не способен адекватно увеличивать УО (фиксированный ударный объем), что приводит к нарушению перфузии периферических органов и тканей. 3. Признаки коронарной недостаточности при аортальном стенозе возникают вследствие уменьшения диастолического градиента давления между аортой и ЛЖ, а также в результате резкого увеличения мышечной массы желудочка без адекватного увеличения числа капилляров (относительная коронарная недостаточность). 4. Нарушение систолической функции ЛЖ возникает на поздних стадиях заболевания и проявляется ростом КДД в ЛЖ, его миогенной дилатацией, снижением ФВ и УО, а также быстрым нарастанием застойных явлений в малом круге кровообращения и развитием легочной гипертензии. 5. Признаки левожелудочковой недостаточности при аортальном стенозе могут появляться не только на конечном этапе развития заболевания (т.е. при нарушении систолической функции ЛЖ), но и на более ранних его стадиях — в результате диастолической дисфункции ЛЖ (снижение податливости гипертрофированного миокарда ЛЖ, нарушение его активного расслабления и значительное увеличение давления наполнения).