Теория. Задание. Изучить микроструктуру доэвтектоидной, эвтектоидной и заэвтектоидной сталей в отожженном состоянии
Задание.
- Изучить микроструктуру доэвтектоидной, эвтектоидной и заэвтектоидной сталей в отожженном состоянии.
- Изучить микроструктуру белого, серого, ковкого и высокопрочного чугунов.
- Освоить метод приближенного определения содержания углерода в стали.
- Начертить диаграмму состояния железо-цементит.
- Сделать выводы по работе.
Приборы, материалы, инструменты. Для выполнения работы необходимо:
-металлографические микроскопы МИМ-7;
-комплекты наборов микрошлифов;
- альбомы фотографий микроструктур.
Методика проведения эксперимента.
Лабораторную работу выполняют после изучения диаграммы состояния железо-углерод (железо-цементит), изучив структурные составляющие железоуглеродистых сплавов. Работу выполняют три бригады по 4-5 человек. Каждое рабочее место оборудовано одним металлографическим микроскопом и набором шлифов железоуглеродистых сплавов.
Теория.
Под равновесным состоянием сплава понимается состояние, когда все фазовые превращения в сплаве полностью закончились в соответствии с диаграммой состояния. Такое состояние выступает только при очень медленном охлаждении. Следовательно, основой для определения структурных составляющих железоуглеродистых сплавов в равновесном состоянии является диаграмма состояния Fe – Fe3C (рис.3.1), основы которой были выведены Д.К.Черновым, когда он открыл

Рис.3.1 Диаграмма состояния железо-цементит
Компонентами, образующими эту систему, являются чистое железо Fe и карбид железа Fe3C. Наличие химического соединения Fe3C в диаграмме железо-углерод позволяет рассматривать диаграмму Fe-Fe3C.
Сплавы, содержащие не свыше 2% С, называются сталями.
Структура стали в равновесном состоянии, зависит от содержания углерода в железоуглеродистых сплавах.
Структура сплава с содержанием углерода до 0,025% будет состоять из феррита и третичного цементита, располагающегося по границам зерен феррита и тем самым понижающего пластичность и вязкость стали.
Ферритом называется Fe-
или твердый раствор (внедрения) углерода в Fe-
. Кристаллическая решетка феррита – пространственно центрированный куб. Максимальная растворимость углерода в Fe-
при температуре Т=7200С равна 0,025%, а при 00С – 0,006%.
Феррит – почти чистое железо (имеет зернистое строение), обладает магнитными свойствами и является самой пластичной и мягкой составляющей железоуглеродистых сплавов (рис.3.2). Феррит является однородной структурой и на диаграмме состояния занимает область GPQ.
С увеличением содержания углерода более 0,025% в структуре сплава появляется перлит.
Рис.3.2

Перлит представляет собой механическую смесь, состоящую из мягких пластинок (рис.3.3а) или зерен (рис.3.3б) цементита и феррита.
Рис.3.3 Микроструктура эвтектоидных сталей:
а-С=0,8% структура-пластинчатый перлит,б-С=0,8%структура-зернистый перлит.
Перлит содержит 0,83% углерода и образуется при температуре 7230 из аустенита:
Fe
(C)
Feα (C) + Fe3C
т.е. аустенит превращается в смесь феррита и цементита (двухфазная структура).
Пластичный перлит обладает твердостью НВ 200-250, а зернистый перлит – НВ 160-220.
Все стали, содержащие углерод от 0,025% до 0,8% состоит из феррита (светлый фон) и перлита (темные зерна) и называются доэвтектоидными (рис.3.4).

Рис.3.4 Микроструктура доэвтектоидных сталей:
А-С=0,15%структура феррит и перлит, б-С=0,35% структура феррит и перлит.
С увеличением углерода в доэвтектоидных сталях количество перлита увеличивается, а количество феррита уменьшается пропорционально увеличению углерода.
При соотношении площадей, занимаемых в исследованной структуре перлитом и ферритом можно определить содержание углерода в стали. Зная, что в перлите содержится 0,8% углерода, можно подсчитать содержание углерода в доэвтектоидной стали. Для этого необходимо определить, какую часть площади занимает перлит, и умножить ее на 0,8.
Например, если на просматриваемом поле шлифа перлит занимает примерно ¼ часть общей площади микроструктуры, то содержание углерода в этой стали равно 0,8 х ¼=0,2% С.
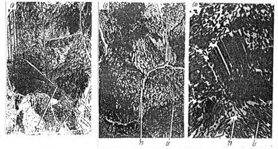
Стали с содержанием углерода от 0,8 до 2% называются заэвтектоидными, и структура их состоит из перлита и вторичного цементита (рис.3.5).

Рис.3.5 Заэвтектоидная сталь(травление 4%-ным спиртовым раствором азотной кислоты): а-выделение избыточного цементита в виде зерен (х 600),б-выделенин избыточного цементита в виде сетки(х200),в- выделение избыточного цементита в виде (х660).
Цементит – это химическое соединение железа с углеродом Fe3С - карбид железа (однофазная составляющая). Он содержит 6,67% углерода является самой хрупкой и твердой (НВ до 800) структурой железоуглеродистых сплавов.
Вторичный цементит в заэвтектоидной стали обычно расположен в виде светлой сетки или светлых зерен (цепочки) по границам перлитных зерен или в виде игл (рис.3.5б).
В сталях содержащих меньше 0,8% углерода, феррит также может выделиться в виде сетки по границам зерен перлита, и при травлении 4%-ным спиртовым раствором азотной кислоты, эта сетка также получается светлой, чтобы выяснить является эта сетка ферритной или цементитной, микрошлиф подвергают травлению нитратом натрия. Если сетка после травления осталась светлая, то это феррит и, следовательно, сталь является доэвтектоидной; если же сетка потемнела, то цементит, и сталь является заэвтектоидной.
Аустенитом называется твердый раствор (внедрения) углерода в Fe-
c кристаллической решеткой гранецентрированного куба.
Максимальная растворимость углерода в гамма-железе при температуре 11470 равна 2,14%.
Аустенит в углеродистой стали устойчив лишь при температуре выше кристаллической точки Ас. Аустенит парамагнитен, вязок, пластичен и обладает меньшим удельным весом, чем феррит. Твердость аустенита при содержании 0,8%С примерно равна 200 единицам по Бринеллю.
На диаграмме состояния аустенит занимает область NIESQ и является однофазной структурной составляющей.
В зависимости от содержания углерода стали, подразделяют на доэвтектоидные, эвтектоидные и заэвтектоидные.
Микроструктура углеродистых сталей. Технически чистое железо содержит от 0,01 до 0,15% углерода (рис.3.2) и является двухфазным сплавом, так как при содержании до 0,02% углерода структура технически чистого железа состоит из феррита и третичного цементита. При содержании от 0,02% до 0,15% С структура состоит из феррита и небольшого количества перлита.
Эвтектоидная сталь
При содержании 0,8% С называется эвтектоидной и состоит из одного эвтектоида- перлита.
Перлит, состоящий из пластинок феррита и цементита, чередующихся между собой, называется пластинчатым (рис.3.3а). Зернистый перлит получают путем длительной выдержки, последнего при температурах около 7230С (рис.3.3б). Эвтектоидное строение – равномерность распределения обеих фаз утрачивается и в зернистом перлите. При травлении 4%-ным раствором азотной кислоты в спирте феррит и цементит окрашиваются в белый цвет. В перлите при изготовлении шлифа цементит, как тело очень твердое, мало сошлифовывается и выступает над ферритом, отбрасывая на него тени, и перлит нам представляется в виде чередующихся темных и светлых полосок.
Дата добавления: 2015-08-01; просмотров: 1988;
