Инструментальная диагностика
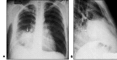
По-прежнему базовым методом подтверждения клинического диагноза бактериальной деструкции легкого остается полипозиционная рентгеноскопия и рентгенография грудной клетки, позволяющая подтвердить диагноз и определить локализацию процесса. При остром абсцессе легкого до сообщения его с бронхиальным деревом определяется правильная округлая гомогенно затемненная полость с перифокальной инфильтрацией (рис. 1). После опорожнения гнойника в дыхательные пути – полость с уровнем жидкости (рис. 2).

Рис. 1. Блокированный абсцесс средней доли правого легкого (отмечен стрелкой). Рентгенограмма грудной клетки в прямой (а) и правой (б) боковой проекции.
|
|
|
Рис. 2. Абсцесс верхней доли правого легкого (отмечен стрелкой). Обзорная рентгенограмма грудной клетки в прямой (а) и правой (б) боковой проекции.
Рентгенологическая картина гангренозного абсцесса характеризуется полостью в пределах доли легкого с бухтообразным неправильным очертанием внутреннего контура за счет некротических секвестров легочной ткани (рис. 3).

Рис. 3. Гангренозный абсцесс верхней доли правого легкого. Обзорная рентгенограмма грудной клетки в прямой (а) и правой (б) боковой проекции.
Для распространенной гангрены легкого характерно тотальное затемнение гемиторакса на стороне заболевания с мелкими неправильного очертания воздушными полостями, гидропневмоторакс (эмпиема плевры) (рис. 4).

Рис. 4. Распространенная гангрена правого легкого. Обзорная рентгенограмма
грудной клетки в прямой (а) и правой (б) боковой проекции.
Золотым стандартом лучевой диагностики заболеваний легких следует считать компьютерную томографию, которая позволяет детально изучить структуру полостного образования, его локализацию и провести дифференциальную диагностику нагноительных и других заболеваний, в частности, рака и туберкулеза легких (рис. 5, а, б).
Рис. 5. Компьютерные томограммы грудной клетки. а – гангренозный абсцесс верхней доли правого легкого (отмечен черными стрелками), в полости гнойника дренажная трубка (белая стрелка), б – распространенная гангрена правого легкого (отмечена черными стрелками).
С появлением современных цифровых визуализирующих технологий определенное значение для диагностики субплевральных образований легких и заболеваний плевры приобрела ультрасонография (рис. 6).
|
Рис. 6. Ультрасонограммы грудной клетки. а – абсцесс верхней доли правого легкого (отмечен стрелкой); б – периферический рак с полостью распада (отмечен стрелкой); в – ограниченная эмпиема плевры (отмечен стрелкой).
В перечень обязательных инструментальных исследований нагноительных заболеваний легких включена фибробронхоскопия, позволяющая оценить выраженность и распространенность эндобронхита, диагностировать инородное тело, бронхолит или опухоль бронха, провести забор материала для микробиологического и цитологического исследований (рис. 7).
Весьма ценным диагностическим методом при остром абсцессе легкого, особенно осложненным легочным кровотечением, является бронхиальная артериография, позволяющая оценить выраженность и стадию воспалительного процесса, локализовать источник геморрагии. Исследование проводится в рентеноперационной. Рентгеноконтрастный катетер по методике Селдингера через бедренную артерию ретроградно вводится в нисходящий сегмент грудной аорты и устанавливается в устье бронхиальной артерии, которая контрастируется. Выполняется серия ангиограмм.

|
|
Рис. 7. Эндофотографии (фибробронхоскопия). а – выраженный катаральный эндобронхит, б – эндобронхит (гнойная мокрота, фибрин, отмечены стрелками), в – рак верхнедолевого бронха справа (опухоль отмечена стрелкой).
Дата добавления: 2015-07-18; просмотров: 2015;
