Толстая кишка, печень и поджелудочная железа
1. Толстая кишкаа) Общие сведения
| Отделы кишки | Длина толстой кишки – 1–1,5 м, ширина – 4–7 см. Её отделы: I. слепая кишка с червеобразным отростком, II–V. восходящая, поперечная, нисходящая и сигмовидная ободочная кишка, а также VI. прямая кишка. |
| Функции | Функции толстой кишки: а) интенсивное всасываниеводы из химуса, б) формирование каловых масс и их продвижение к прямой кишке, для чего большое значение имеет активное слизеобразование; в) выделение в просвет кишки из крови ряда веществ (солей тяжёлых металлов, ионов Са2+ и пр.), г) поддержание постоянной бактериальной флоры, которая синтезирует витамины К и В12 и частично переваривает клетчатку. |
б) Отличия толстой кишки от тонкой
| 1) Отсут-ствие ворсинок | 1,а) В толстой кишке, в отличие от тонкой, нет ворсинок. б) Крипты же есть, причём, они глубже, шире и многочисленней, чем в тонкой кишке. |
|
|
| Рис. 25.1,а-б. Толстая кишка | |||
| в) В целом, слизистая оболочка формирует - в желудке и тонкой кишке – два «этажа» специфических структур (соответственно, ямки+железы и ворсинки+крипты); - а в толстой кишке – только один (крипты). | |||
| 2) Состав эпителия | а) Эпителий толстой кишки – однослойный цилиндрический, условно каёмчатый. б) Условность связана с тем, что здесь столбчатые (каёмчатые) клетки – уже не самые многочисленные. Поэтому каёмка – прерывистая и тонкая. в) Значительно же преобладают в эпителии бокаловидные клетки (в связи с функцией активного слизеобразования). Это придаёт эпителию характерный «дырчатый» вид (см. рис. 25.1,б). г) Но на качественном уровне клеточный состав в толстой кишке – такой же, как в криптах тонкой: те же 5 видов эпителиоцитов. Кроме - бокаловидных клеток и столбчатых, это ещё - недифференцированные (стволовые) клетки, обновляющие состав эпителия за 4–6 суток, - клетки Панета (с ацидофильными гранулами) и эндокриноциты. | ||
| 3) Ленты | Третья особенность – в том, что наружный продольный слой мышечной оболочки разделён на три ленты. А т.к. они чуть короче прочих слоёв стенки, эти слои образуют вздутия (haustrae). | ||
| 4) | Наконец, в серозной оболочке много жировых отростков. |
в) Червеобразный отросток (аппендикс)
| а) Стенка аппендикса имеет обычный состав: - слизистую оболочку, подслизистую основу, - мышечную и серозную оболочки. б) Но, в силу промежуточного положения в кишечнике и в связи с выполняемой функцией, отдельные черты строения аппендикса напоминают тонкую кишку, другие – толстую, а третьи присущи только ему самому. | ||
| Признаки тонкой кишки в строении аппендикса | Признаки толстой кишки в аппендиксе | «Индивидуальные» особенности аппендикса |
| 1) В эпителии нет преобладания бокаловидных клеток 2) Наружный слой мышечной оболочки не разделён на ленты. Поэтому нет и вздутий. 3) В серозной оболочке нет жировых отростков. | 1) Отсутствие ворсинок 2) Эпителий (однослойный цилиндрический) почти лишён каёмки. | Наличие в собственной пластинке слизистой оболочки с заходом в подслизистую основу многочисленных лимфатических фолликулов и межфолликулярной лимфоидной ткани. |
г) Прямая кишка
| Отделы прямой кишки | а) В прямой кишке – 3 отдела: надампулярный, ампула и анальный отдел, а в последнем – 3 зоны: столбчатая, промежуточная (геморроидальная) и кожная. б) Строение первых двух отделов подобно таковому в предыдущих отделах толстой кишки, но с некоторыми коррективами. в) В строении зон анальной части – более существенные особенности. |
| Надампулярный отдел и ампула | Признаки, общие для всей толстой кишки | Отличия от строения предыдущих отделов толстой кишки |
| 1) Крипты в слизистой оболочке. 2) Эпителий – однослойный цилиндрический с тем же клеточным составом. | 1) Подслизистая основа: - хорошо развита, что провоцирует выпадение слизистой оболочки через анус, - содержит барорецепторы (тельца Фатера-Пачини). 2) Наружный слой мыш. оболочки – опять непрерывен (нет лент). 3) Вместо серозной – адвентиц. Оболочка |
Анальный отдел– крипт уже нет.
| Столбчатая зона | Геморроидальная зона | Кожная зона | |
| Поверх-ность | Анальные столбы (продольные складки) и между ними – анальные синусы (щели) | Граница со столбчатой зоной – гребешковая линия. Поверхность гладкая | Покрыта кожей с её обычными проиводными |
| Эпителий | Многослойный кубический | Многослойный плоский неороговевающий | Эпи- Дермис |
| Спец. Структуры | В собств. пластинке слиз. об. – лакуны, из которых кровь течёт в геморроидальные вены | В подслизистой основе вены образуют геморроидальное сплетение. | Под кожей – поперечнопол. Сфинктер |
2. Печень(m ≈ 1,5 кг)а) Печёночные дольки и маршрут тока крови и желчи
| Дольки | Основной элемент печени – печёночные дольки. Они имеют вид пяти- или шестигранных призм, состоящих из гепатоцитов, специфических сосудов и ряда дополнительных клеток. |
Рис. 25.2. Ток крови и желчи в печени
|
| Ток крови от ворот печени к долькам | а) К долькам притекает кровь из двух сосудов, впадающих в ворота печени, – печёночной артерии и воротной вены. б) Всё уменьшающиеся по калибру ветви этих сосудов (долевые, сегментарные, междольковые, вокругдольковые) всегда идут вместе. в) От вокругдольковых артериол и венул внутрь долек отходят капилляры. | |
| Ток крови от периферии дольки к её центру | а) Почти сразу каждая пара капилляров («артериального» и «венозного») сливается в единый синусоидный капилляр, идущий к центру дольки. б) Таким образом, в дольках от границ к центру идут синусоидные капилляры, которые впадают в центральную вену, расположенную по оси дольки. в) Капилляры разделены печёночными балками; на поперечном сечении они выглядят как двойные ряды гепатоцитов. | |
| Появление желчи | Здесь начинается противоток двух жидких сред – крови и желчи. Желчь образуется гепатоцитами и включает - желчные кислоты (эмульгаторы жиров и липидов), - желчныепигменты (билирубин, биливердин – продукты распада протопорфирина, т.е. гема без железа), а также - соли и холестерин. | |
| Ток желчи к периферии дольки | а) Вначале желчь поступает в щели между соседними гепатоцитами. Эти щели рассматриваются как желчные капилляры, начинаются в центральной области дольки и распространяются до её (дольки) периферии. б) Таким образом, желчь течёт в дольке от центра к периферии, а кровь – напротив, от периферии – к центру. | |
| Ток желчи от долек к воротам печени | а) На выходе из дольки желчь попадает уже в настоящий желчный проточек – вокругдольковую холангиолу, стенка которой образована одним слоем кубических эпителиоцитов. Причём, она идёт параллельно артериоле и венуле, образуя с ними триаду. б) И этот совместный ход желчевыводящих протоков с парой артерия- вена будет продолжаться вплоть до ворот печени – на междольковом уровне, сегментарном и долевом. Соответственно, и триады будут всех этих уровней. в) Только в сосудах триады ток – от ворот к долькам, а в желчных протоках – от долек к воротам печени. | |
| Отток крови от долек печени | а) Вернёмся к току крови. По синусоидным капиллярам смешанная кровь мимо печёночных балок (активно обмениваясь с гепатоцитами различными веществами) стекает в центральнуювену дольки. б) Центральные вены продолжаются в поддольковые, те – в собирательные, далее – в печёночные, которые впадают в нижнюю полую вену. |
б) Границы между печёночными дольками
| Опреде-ление границ | а) В печени человека границы между дольками не обозначены выраженными соединительнотканными перегородками (как, например, имеет место у свиньи). б) Поэтому границы определяют по положению междольковых триад. в) Как следует из предыдущего, любая триада содержит - вену – ветвь воротной вены, - артерию – ветвь печёночной артерии - и желчный проток того же уровня. |
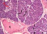
Рис. 25.3.
Междольковая триада печени
Окраска гематоксилином и эозином
|
| Характеристика компонентов триад | а) Причём, вена (2) обычно имеет самый большой просвет и относится к венам со слабым развитием мышечных элементов (миоциты – только в t. media, ориентированы циркулярно). б) Артерия (3) значительно меньше по размеру и часто находится прямо в стенке вены. Если это ещё не вокругдольковая артериола, то как у артерии мышечного типа у неё нередко – относительно толстая стенка (из-за миоцитов) и складчатая внутренняя поверхность. в) Но самым надёжным признаком триады является желчный проток (один или несколько) (1). Благодаря резко базофильным и близко расположенным округлым ядрам эпителиоцитов, протоки имеют характерный тёмный цвет и легко узнаваемы – даже при своих небольших размерах. |
в) Синусоидные капилляры
| Общий вид | Синусоидные капилляры выглядят как просветы между печёночными балками, причём те и другие в целом сходятся к центру дольки. |
| Эндотелиоциты | а) Эндотелиоциты занимают лишь 60% внутренней поверхности синусоидных капиляров. б) В промежуточных участках дольки в эндотелиоцитах особенно много фенестр и мелких пор, а базальная мембрана под ними почти отсутствует. |
| Клетки Купфера | а) Остальные 40 % площади внутренней поверхности капилляров приходится на клетки Купфера, или звёздчатые макрофаги. б) Это ещё одна разновидность специализированных макрофагов, происходящих из моноцитов. Клетки Купфера - имеют отростчатую форму, - сосредоточены, главным образом, на периферии дольки, куда в первую очередь поступает притекающая кровь, - и способны к фагоцитозу (после чего превращаются в свободные макрофаги, отходят от стенки капилляра и выполняют функции АПК – антигенпредставляющих клеток). |
| Пространство Диссе | а) Вокруг синусоидных капилляров (между ними и гепатоцитами) находится узкое перисинусоидальное пространство Диссе. Здесь находятся: - pit-, или ямочные, клетки – NK-клетки, или естественные киллеры, - и клеткиИто, перисинусоидальные липоциты, депонирующие жирорастворимые витамины (А, Е, К, Д). |
г) Гепатоциты
| Морфо-логия | а) Гепатоциты составляют примерно 60% всех клеток печени. б) Морфология: гепатоциты - по форме – крупные, полигональные; - многие клетки (до 20%) – двухядерные, а многие ядра (до 50 %) –полиплоидные; - причём, в связи с высокой функциональной активностью, 1) в ядрах преобладает эухроматин, 2) хорошо развиты шероховатая ЭПСи аппарат Гольджи (синтез экспортных белков), 3) хорошо развита также гладкая ЭПС (с которой связана система гидроксилирования, используемая в синтезе стероидов и других липидов, а также для обезвреживания токсических веществ), 4) в цитоплазме часто содержатся глыбки гликогена и липидные капли. |
| Функции. 1. Синтез веществ, идущих на экспорт | В соответствии со своей структурой, гепатоциты синтезируют много веществ, поступающих в желчь и в кровь. а) В случае желчи это холестерин и образуемые из него желчные кислоты. Вместе с желчными пигментами они выделяются в желчные капилляры. б) Кровь же гепатоциты обогащают незаменимыми компонентами её плазмы: 1) белками, среди которых – альбумины, фибриноген, различные глобулины (кроме гамма-глобулинов – антител), 2) липидами – тем же холестерином, фосфолипидами, жирами, 3) энергетическими метаболитами – глюкозой (образуемой из гликогена, белков и т.д.) и кетоновыми телами (из жирных кислот),– для питания мозга и сердца. |
| 2. Прочие функции гепато-цитов | а) В гепатоцитах также происходит обезвреживание веществ – - аммиака (который переводится в состав мочевины), - гормонов, лекарственных препаратов, - продуктов гниения азотсодержащих веществ в кишечнике (и т.д.). б) Очень известная функция гепатоцитов – депонирование углеводов в виде гранул гликогена. |
| Поверхность клетки | Выделению тех или иных компонентов из печени в желчь или кровь способствует тот факт, что поверхность гепатоцита подразделяется на 3 части: а) контактную (с соседними гепатоцитами) – 50% поверхности, б) васкулярную – обращённую к синусоидным капиллярам, 37 %, в) билиарную – обращённую в щели желчных капилляров, 13 %. |
| Функции других клеток печени | Напомним функции других клеток печени (о которых уже было сказано). а) Так, у клеток Купфера это фагоцитоз и представление антигенных детерминант Т-лимфоцитам. б) У NK-киллеров – уничтожение, в первую очередь, опухолевых клеток. в) У липофибробластов – депонирование жирорастворимых витаминов. |
д) Вены оттока крови от долек
| а) Центральные и поддольковые вены – безмышечного типа. б) Собирательные и печёночные вены: миоциты регулируют отток крови из печени. |
3. Поджелудочная железаа) Две части железы
| а) Масса железы – 70–80 г. б) В железе – две части: |
Рис 25.4, а-б
Поджелудочная железа
|
| Экзокринная часть (97 % всей массы) | Эндокринная часть (3 % всей массы) |
| 1) Представлена ацинусами (2) и выводными протоками (3) 2) Образует панкреатический сок, содержащий проферменты переваривания - белков (трипсиноген, химотрипсиноген и др.), - углеводов (амилаза), - липидов (липазы), - нуклеиновых кислот. | 1) Представлена островкамиЛангерганса.(4). 2) Образует 5 гормонов: - инсулин (В-клетки), - глюкагон (А-клетки), - соматостатин (D-клетки), - ВИП (вазоинтестинальный пептид) (D1-клетки), - ПП (панкреатический полипептид) (PP-клетки) |
б) Экзокринная часть
| Ацинус и его секретор-ный отдел | Ацинус включает секреторный отдел и вставочный проток. а) Секреторный отдел – мешочек из 8-12 крупных ацинарных клеток (см. рис. 25.4, б). б) Каждая ацинарная клетка близка по форме к пирамидной: - её широкая базальная часть прилежит к базальной мембране, окружающей ацинус, и сильно базофильна из-за развития здесь шероховатой ЭПС; - а узкая апикальная верхушка обращена к центру ацинуса и оксифильна из-за того, что здесь скапливаются белковые продукты синтеза. в) Таким образом, секреторные отделы ацинусов и ацинусы в целом имеют в поджелудочной железе очень характерный вид: они тёмные с периферии и светлые в центре. |
| Вставочный проток | а) Вставочный проток в данной железе (в отличие от слюнных) принято включать в состав ацинуса. б) В одних случаях он является продолжением секреторного отдела, в других случаях он как бы внедрён в глубь секреторного отдела, образуя второй (внутрений) слой клеток. |
| Выводные протоки | а) Эпителий выводных протоков на всём протяжении (до впадения в двенадцатиперстную кишку) остаётся однослойным. Но из плоского он становится цилиндрическим. б) У внедольковых протоков очень развит окружающий их слой РВСТ. |
в) Эндокринная часть
| а) Островки Лангерганса – округлой или овальной формы и более бледные, чем окружающие их ацинусы. б) Составляющие их клетки меньше ацинарных (по размеру), называются инсулоцитами и подразделяются на 5 типов (см. выше). в) Капилляры и в островках, и возле ацинусов – фенестрированного типа. |
Рис. 25.4, в
|
Дата добавления: 2015-08-04; просмотров: 1037;

Рис. 25.2. Ток крови и желчи в печени
Рис. 25.3.
Междольковая триада печени
Окраска гематоксилином и эозином
Рис 25.4, а-б
Поджелудочная железа
Рис. 25.4, в