Желудок и тонкая кишка
1. Желудок: дно и телоа) Части желудка
| Перечень частей | В желудке различают 4 части: - кардиальную (примыкающую ко входу в желудок), - дно (fundus), или свод, - тело (составляющее основную часть желудка) и - пилорическую часть. |
| Различие вкладов в секрецию | а) Несмотря на общий план строения всех частей, кардиальная и пилори-ческая части имеют более упрощённые (по сравнению с дном и телом) состав и структуру слизистой оболочки. б) Функция же выработки желудочного сока ложится, в основном, на дно и тело желудка, с чем связаны их морфологические особенности. |
б) Дно и тело желудка: эпителий и железы
| Ямки | а) Слизистая оболочка всех частей желудка имеет многочисленные ямки (1А). б) В области дна каждой ямки в неё (в ямку) открывается несколько желудочных желёз (2А). |
Рис. 24.1,а.
Дно желудка
Окраска конго-ротом и гематоксилином
|
| Эпителий | а) Эпителий, выстилающий внутреннюю поверхность желудка (в т.ч. и ямок), – однослойный призматический железистый. б) Однако термин «железистый» никак не связан с подлежащими железами. Он означает, что клетки самого эпителия – секреторные (экзокриноциты). | |
| в) Они выделяют слизь, покрывающую внутреннюю поверхность желудка и защищающую её от агрессивной среды активного желудочного сока. | ||
| Фундаль-ные железы: локализация | а) Железы дна и тела желудка называются фундальными, или собственными. Они (так же, как железы других частей желудка) находятся в в собственной пластинке слизистой оболочки. б) Таким образом, в данном случае эта пластинка представлена лишь узкими прослойками РВСТ между железами. | |
| Тип и отделы желёз | По морфологии это простые неразветвлённые трубчатые железы. В каждой железе с известной долей условности различают - главную часть (концевой отдел) – опять-таки дно и тело, а также - выводной проток – шейку и её устье – перешеек. | |
| Клеточный состав желёз | 1) Клетки концевых отделов: а) экзокриноциты - париетальные (обкладочные) клетки, обр. НСl, - главные клетки, обр. пепсиноген и химозин, - добавочные клетки – мукоциты; б) эндокриноциты. 2) Клетки выводных протоков (шеечные клетки): - малодифференцированные (камбиальные) кл. - и шеечные мукоциты. |
Рис.24.1,б.
Дно желудка
|
в) Характеристика клеток фундальных желёз (см. рис. 24.1,б)
| Париетальные клетки: морфо-логия | Париетальные (обкладочные) клетки (1): а) по размеру – самые крупные среди клеток данных желёз, б) лежат поодиночке и слегка выбухают из концевых отделов кнаружи; в) цитоплазма – оксифильная, окрашивается конго-ротом в яркий оранжевый цвет; г) секрет выделяется вначале во внутриклеточные секреторные канальцы, которые переходят в межклеточные канальцы и лишь затем – в просвет железы. |
| Париетальные клетки: выведение НСl | а) Основная функция – продукция соляной кислоты. б) При этом выведение и ионов Н+, и ионов CI– во внутриклеточные секреторные канальцы происходит с участием ионов К+: - выведение Н+ – путём антипорта с К+ (который перемещается в цитозоль против градиента своей концентрации), с помощью транспортного белка Н+,К+-АТФазы и за счёт энергии АТФ; - выведение Сl– – путём симпорта с К+ (для чего энергии уже не требуется, т.к. К+ теперь движется по градиенту концентрации). |
| Главные клетки | а) Главные клетки (2) – небольшие, располагаются группами. б) В связи со своей функцией (продукцией экспортных белков – пепсиногена и химозина), имеют развитые гранулярную ЭПС и комплекс Гольджи. в) Высокое содержание гранулярной ЭПС (мембраносвязанных рибосом) обусловливает базофилию цитоплазмы: клетки на препарате – тёмные. |
| Эндокриноциты | а) Всего в желудке – около 10 видов эндокриноцитов. б) Из них в фундальных железах, помимо прочих, содержатся: ЕСL-клетки – продуценты гистамина, и ЕС-клетки – продуценты серотонина и мелатонина. в) Серотонин и гистамин при попадании пищи в желудок стимулируют его секреторную и моторную активность. г) А мелатонин (как и такой же гормон эпифиза), вероятно, определяет суточную периодичность работы желудочно-кишечного тракта. |
| Шеечные клетки | Особенно важны малодифференцированные шеечные клетки. Они обеспечивают регулярное обновление - и поверхностных мукоцитов (т.е. клеток поверхностного эпителия), живущих, в среднем, всего около 4-х суток, - и клеток желёз, существующих по несколько месяцев. |
г) Дно и тело желудка: остальные компоненты стенки
| I. Итак, в желудке железы лежат в собственной пластинке слизистой оболочки. Под ними – мышечная пластинка слизистой оболочки, состоящая из трёх слоёв гладких миоцитов. II-IV. Следующие оболочки: подслизистая основа (II), мышечная оболочка, тоже включающая три гладкомышечных слоя: наружный продольный, средний циркулярный и внутренний косой (III), – и серозная оболочка (IV). |
2. Прочие части желудкаа) Кардиальная часть
| Особенности кардиальной части | Кардиальная часть желудка видна на препарате «Переход пищевода в желудок» (рис. 24.2). а) Особенности этой части касаются лишь желёз: в кардиальных железах (3Б) - концевые отделы ветвятся, - а секрет является слизистым. б) Таким образом, среди экзокриноцитов здесь нет ни париетальных, ни главных клеток. в) Несколько отличается и представительство эндокриноцитов: так, - кроме клеток ЕС (серотонин и мелатонин), |
Рис.24.2. Переход пищевода в желудок
Окраска гематоксилином и эозином
| ||
| - имеются клетки G – продуценты гастрина. Последний входит в группу гормонов, стимулирующих секрецию и моторику желудка. | ||||
| Приведённый рисунок позволяет сформулировать и РАЗЛИЧИЯ В СТРОЕНИИ СТЕНОК ПИЩЕВОДА И ЖЕЛУДКА. | ||||
| ПИЩЕВОД | ЖЕЛУДОК(кард. часть) | |||
| Внутр. поверхность | Относительно ровная | Ямки | ||
| Эпителий | Многосл. плоский неорогов. | Односл. цилиндр. железистый | ||
| Собств. пластинка | Обычно на препарате желёз нет | Кардиальные железы | ||
| Мышечная пластин. | Один слой гладких миоцитов | Три слоя гладких миоцитов | ||
| Подслизистая осн. | Собств. железы пищевода | Ничего примечательного | ||
| Мышечная обол. | Два гладкомышечных слоя | Три гладкомышечных слоя | ||
б) Пилорическая часть
| Основные особен-ности | а) У пилорической части желудка –3 особенности: - здесь очень глубокие ямки – до 50–70% толщины слизистой оболочки, - железы тоже (как в кардиальной части желудка), во-первых, слизистые (светлые), во-вторых, разветвлённые. б) При этом концевые отделы пилорическихжелёз выглядят как округлые светлые грозди коротких трубочек. |
Рис. 24.3. Пилорическая часть
желудка
|
| Эндо- крино-циты | Немного иной (по сравнению с фундальными железами) и спектр эндо-криноцитов: например, есть, - как и в кардиальных железах, клетки G (гастрин), а кроме того, - ещё ряд клеток, вырабатывающих стимуляторы [Р-клетки (бомбезин)] и ингибиторы [D-клетки (соматостатин)] тех или иных функций пищеварительного тракта. |
3. Тонкая кишкаа) Общие сведения
| Отделы кишки | Длина тонкой кишки – 6–7 м. Её отделы: - двенадцатиперстная кишка (35–30 см), - тощая кишка (примерно 2/5 длины тонкой кишки) и - подвздошная кишка. |
| Функции | Функции тонкой кишки: а) переваривание пищи ферментами (полостное и пристеночное) и всасывание продуктов переваривания, б) эндокринная – выработка одиночными эндокриноцитами ряда гормонов, влияющих на переваривание; в) механическая – перемещение непереваренных остатков пищи по направлению к толстой кишке, г) защитная – участие в иммунных реакциях благодаря наличию в слизистой оболочке одиночных (солитарных) и сгруппированных (в т.н. пейеровы бляшки) лимфатических фолликулов. |
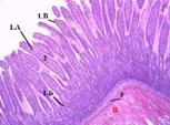
б) Ворсинки и крипты
| Самое главное | 1) Слизистая оболочка тонкой кишки образует - ворсинки (пальцевидные выпячивания) (1А) - и крипты (трубчатые углубления) (1Б). 2,а) Эпителий, покрывающий ворсинки и выстилающий крипты, – однослойный цилиндрический каёмчатый (1В). 2,б) Название связано с тем, что на поверхности эпителия выявляется оксифильнаякаёмка, образованная микроворсинками соответств. клеток. |
Рис. 24.4.
Тонкая кишка
Окраска гем. и эозином
|
| Состав ворсинок | а) Под эпителием ворсинки содержится строма (РВСТ) – часть собственной пластинки слизистой оболочки, а в ней: - макрофаги, лимфоциты и плазмоциты, - густая сеть кровеносных капилляров фенестрированного типа, - один или несколько лимфатических капилляров, которые начинаются слепо на верхушке ворсинки и идут вдоль её оси, - большое число безмиелиновых нервных волокон и их окончаний, а также отдельные гладкие миоциты – представляющие, но не исчерпывающие, мышечную пластинку слизистой оболочки. б) Своими периодическими (4-6 1/мин) сокращениями миоциты способствуют проникновению продуктов переваривания в капилляры ворсинки. | |
| О криптах | а) Крипты кишки похожи на железы желудка – и локализацией (в собственной пластинке слизистой оболочки), и трубчатой формой. Б) Но поскольку среди эпителиоцитов крипт в полной мере секреторными являются далеко не все клетки, то правильней всё-таки их называть не железами, а криптами. | |
| Состав эпителия | 1) В составе эпителия ворсинок – три вида клеток: а) столбчатые, или каёмчатые, или энтероциты, б) бокаловидные и в) эндокриноциты. 2) В эпителии крипт, помимо этих трёх, – ещё стволовые кл. и кл. Панета. |
в) Столбчатые эпителиоциты ворсинок и крипт
| Микро- ворсинки | а) Столбчатые (каёмчатые) клетки – основной вид клеток этого эпителия. б) Именно на их апикальной поверхности имеются микроворсинки, сливающиеся в оксифильную каёмку. в) На поверхность микроворсинок клетки выделяют ферменты пристеночного и мембранного пищеварения: аминопептидазы, фосфатазы и др. г) Однако, несмотря на такую секреторную активность, главной функцией столбчатых клеток является всасывание продуктов пищеварения через мембрану тех же самых микроворсинок. |
| Всасывание водорастворимых в-в | 1) Водорастворимые компоненты пищи – полисахариды, белки и пр. – - завершают на поверхности микроворсинок свой распад до мономеров - и проникают через плазмолемму (всасываются) путём а) простой диффузии (вода, этиловый спирт), б) облегчённой диффузии (глюкоза) или в) активного транспорта (аминокислоты). 2) Пройдя через апикальную и базальную мембраны столбчатых клеток, они попадают в кровеносные капилляры и прежде всего поступают в печень. |
| Всасывание липидов | Всасывание же жиров и липидов идёт принципиально иначе: а) необходимо предварительное эмульгирование желчными кислотами, б) после действия на липиды липаз (фосфолипаз) образовавшиеся продукты проникают в столбчатые клетки путём простой диффузии, в) в столбчатых же клетках происходит ресинтез жиров и упаковка их в специальные транспортные формы – хиломикроны; г) последние поступают в лимфатические капилляры ворсинок и попадают затем в большой круг кровообращения, минуя печень. |
г) Другие эпителиоциты ворсинок и крипт
| Бокало-видные к. | Бокаловидные клетки – очередная разновидность слизеобразующих клеток. Лежат поодиночке и имеют светлую пузыреобразную цитоплазму. |
| Эндо-крино-циты | Эндокриноциты тонкой кишки: кроме уже встречавшихся ЕС- и D-клеток, назовём S-клетки (секретин) и I-клетки (холецистокинин, или панкреозимин) – стимулируют секрецию pancreas и моторику желчных путей. |
| Клетки Панета | Лежат только в эпителии крипт. Иное название – «экзокриноциты с ацидофильными гранулами». Видимо, в этих гранулах – дипептидазы и лизоцим (антимикробный агент), которые выделяются в просвет крипт. |
| Стволовые кл. | Как и клетки Панета, находятся только в нижней половине крипт. Обеспечивают постоянное обновление (за 6 суток) эпителия и крипт, и ворсинок. |
д) Другие компоненты стенки тонкой кишки
| Пластинки слизистой об. | а) Итак, в тонкой кишке собственная пластинка слизистой оболочки и образует строму ворсинок, и находится под ворсинками между криптами. б) Под криптами – мышечная пластинка слизистой оболочки из 2-х слоёв. |
| Прочие оболочки | II. Подслизистая основа; в duodenum сод. бруннеровы железы (слизистые) III. Мышечная оболочка: 2 слоя (наружный продольный и внутренний циркулярный. IV. Серозная оболочка. |
Тема 25. Пищеварительная система:
Дата добавления: 2015-08-04; просмотров: 1036;

Рис. 24.1,а.
Дно желудка
Окраска конго-ротом и гематоксилином
Рис.24.1,б.
Дно желудка
Рис.24.2. Переход пищевода в желудок
Окраска гематоксилином и эозином
Рис. 24.3. Пилорическая часть
желудка
Рис. 24.4.
Тонкая кишка
Окраска гем. и эозином