Плацента. Плацента — внезародышевый орган, который связывает плод с организмом матери и создает условия для нормального развития
Плацента — внезародышевый орган, который связывает плод с организмом матери и создает условия для нормального развития. У человека плацента является гемохориальной, т. е. ворсинки хориона в процессе развития органа полностью разрушают все слои эндометрия (эпителий, строму, стенку сосуда) и находятся в материнской крови лакун. Морфология плаценты устанавливается к концу третьего месяца беременности. В дальнейшем меняется система структур, обеспечивающих функции плацентарного барьера.
2. Рассмотрите рис.119, зарисуйте и подпишите внезародышевые оболочки.

Рис. 119. Внезародышевые оболочки.
3. Рассмотрите рис.120, зарисуйте и подпишите погруженную в эндометрий бластоцисту.

Рис. 120. Погруженная в эндометрий бластоциста.
4. Рассмотрите рис.121, зарисуйте и подпишите децидуальную оболочку.

Рис. 121. Децидуальная оболочка.
5.
Рассмотрите на большом увеличении микропрепарат «Амнион человека (тотальный препарат). Окраска гематоксилином-эозином» (Атлас, фото 61). Зарисуйте и подпишите: эпителиоциты, ядро.
6.
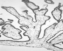
Рассмотрите на малом увеличении микропрепарат «Ворсинки хориона человека (тотальный препарат). Окраска кармином» (Атлас, фото 62). Зарисуйте и подпишите.
| Рис.122. Строение стенки хориона. 1 – кровеносные сосуды в хориальной пластинке; 2 - ворсинка; 3 - трофобласт. |
|
7.
Рассмотрите на малом увеличении микропрепарат «Пуповина свиньи (поперечный срез). Окраска гематоксилином-эозином» (Рис.123; Атлас, фото 63). Зарисуйте и подпишите.
| Рис.123. Поперечный разрез пуповины (схема): 1- пупочная вена; 2 – аллантоис; 3,5 - пупочные артерии; 4 – желточный мешок. |
Дата добавления: 2015-08-08; просмотров: 2708;
