Diagnosis programmer
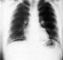
X-ray examination of abdominal cavity organs for presence of free gas (pneumoperitoneum, fig. 17).
Fibergastroduodenoscopy (FGDS) + X-ray examination.
Ultrasonic of abdominal cavity (pneumoperitoneum, fig. 18) + laparocentesis (peritoneal exudate).
Laparoscopy.
Laparotomy.
CT with oral contrast may also demonstrate extravasation of contrast in the presence of a perforated ulcer. If history and physical examination raise the possibility of perforation, upright chest radiography and an upper digestive tract contrast study with water-soluble contrast are the diagnostic studies of choice. Do not perform CT scanning in this situation.
Figure 17 – X-ray examination of abdominal cavity, pneumoperitoneum

Figure 18 – Ultrasonic of abdominal cavity, pneumoperitoneum
Laboratory Studies
CBC count (leucocytosis with left shift is found in most cases).
Serum gastrin level. Gastrin levels greater than 1000 pg/mL are suggestive of gastrinoma.
Serum H pylori antibody detection. Antibodies (immunoglobulin G [IgG]) to H pylori can be measured in serum, plasma, or whole blood. However, results from whole blood tests using finger sticks are less reliable.
Urea breath tests. Urea breath tests are used to detect active H pylori infection by testing for the enzymatic activity of bacterial urease. In the presence of urease produced by H pylori, labeled carbon dioxide (heavy isotope, carbon-13, or radioactive isotope carbon-14) is produced in the stomach, absorbed into the bloodstream, diffused into the lungs, and exhaled.
Faecal antigen tests. Faecal antigen testing is used to identify active H pylori infection by revealing the presence of H pylori antigens in stools.
This test is more accurate than antibody testing and less expensive than urea breath tests.
Дата добавления: 2015-07-04; просмотров: 930;
