Изучить гистологические препараты.
Препарат № 115 Мультиполярные нейроны. Нейроглия. Спинной мозг собаки.Окраска: Импрегнация азотнокислым серебром
При малом увеличении в центральных участках поперечного среза спинного мозга в сером веществе, имеющем вид бабочки, определить мультиполярные нейроны, расположенные одиночно или группами (ядрами). В спайке серого вещества рассмотреть центральный спинномозговой канал. По периферии серого вещества определить продольные и поперечные срезы нервных волокон белого вещества спинного мозга.
При большом увеличении в препарате определить мультиполярные нейроны с их многочисленными отростками, эпендимную глию, выстилающую спинномозговой канал, тела клеток астроцитов, глиальные макрофаги (микроглию) – мелкие клетки с многочисленными отростками, срезы нервных волокон.
Определить, зарисовать при большом увеличении половину среза спинного мозга. Обозначить: А) Серое вещество:1 мультиполярные нейроны, 2. микроглия, 3. центральный канал, 4. эпендимоциты; Б) Белое вещество: 6. поперечные и продольные срезы нервных волокон; 7. тела астроцитов в сером и белом веществе.

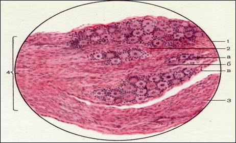
Препарат № 114. Псевдоуниполярные нейроны. Безмякотные нервные волокна. Спинномозговой узел (спинальный ганглий) собаки.Окраска: гематоксилин – эозин.
При малом увеличении определить под соединительно-тканной капсулой спинального ганглия скопления крупных, круглых клеток – псевдоуниполярных чувствительных нейронов. Обратить внимание, что нервные волокна окрашены эозином, отходя от тел клеток, формируют пучки, расположенные в центральной части органа.
При большом увеличении изучить строение нейронов, нейроплазму, имеющую мелкую зернистость. Определите светлое крупное ядро. По периферии от оболочки нейронов располагаются в один слой мелкие круглые глиоциты - сателлиты (мантийные) клетки. Цитоплазма глиоцитов практически не заметна, но хорошо видны округлые плотные ядра. Нервные волокна (осевые цилиндры и цитоплазма шванновских клеток) окрашены эозином в розовый цвет, палочковидные ядра шванновских клеток базофильны. Попытайтесь найти вблизи тел нейронов Т-образное деление отростка.
Определить, зарисовать при большом увеличении участок спинального ганглия.
Обозначить: 1. соединительно-тканная капсула; 2.трабекулы (с/ тк. перегородки); 3. псевдоуниполярный нейрон; 3а) ядро, 3б) нейроплазма, 3в) оболочка; 4.нервные волокна; 4а.) цитоплазма осевого цилиндра и шванновских клеток (леммоцитов); 4б) ядра шванновских клеток; 4в) Т-образное ветвление; 5. сателлиты (мантийные клетки). 


Препарат № 112. Безмякотные (безмиелиновые) нервные волокна.Окраска:гематоксилин-эозин.
При малом увеличении найти изолированные нервные волокна.
При большом увеличении они имеют вид тяжей. Осевые цилиндры и цитоплазма шванновских клеток нервных волокон окрашены эозином в розовый цвет, палочковидные ядра шванновских клеток базофильны, окрашены гематоксилином и располагаются вдоль нервных волокон.
Изучить и зарисовать 1-2 безмиелиновых нервных волокна. Обозначить: А) Безмиелиновое нервное волокно; 1. неврилемма; 2. цитоплазма леммоцитов (шванновских клеток) и осевого цилиндра (отростка); 3. ядра леммоцитов.

Препарат № 111. Мякотные (миелиновые) нервные волокна. Расщепленный нерв.Окраска: импрегнация четырех окисью осмия.
При малом увеличении найти неповрежденные, расположенные изолированно нервные волокна. Осмиевая кислота окрашивает миелиновую оболочку в черный цвет из-за наличия в ней липидов.
При большом увеличении определить в миелиновом волокне бледно окрашенный осевой цилиндр, по периферии которого располагается темный миелиновый слой с узловыми перехватами Ранвье и насечками, имеющими вид светлых узких косых щелей. Неврилемма, при слегка опущенном конденсоре, видна как блестящая полоска по периферии волокна. Хорошо заметна она в области узлового перехвата.

Зарисовать и обозначить:1.миелиновое нервное волокно; 2. осевой цилиндр; 3. миелиновая оболочка в леммоците; 4. узловой перехват Ранвье; 5.неврилемма; 6. насечки Шмидт–Лантермана.
Препарат № 113. Периферический нерв. Поперечный срез.Окраска:импрегнация четырех окисью осмия.
Изучить препарат при большом увеличении. Определить соединительно-тканную оболочку – эпиневрий. Внутрь нерва врастают прослойки рыхлой соединительной ткани – периневрий и делят нерв на пучки - стволики. В стволиках определить нервные волокна. Обратить внимание на то, что стволики содержат различное количество нервных волокон. Определите миелиновые волокна - большие по диаметру. Миелиновая оболочка их окрашена черным цветом. Безмиелиновые волокна более мелкие, светлые. Нервные волокна разделены тонкими прослойками рыхлой соединительной ткани – эндоневрием.
.

Определить, зарисовать при большом увеличении. Обозначить: 1. миелиновые нервные волокна; 2. безмиелиновые нервные волокна: а) осевые цилиндры; 3. эндоневрий; 4. периневрий; 5. эпиневрий
Препарат № 120. Тельце Фатер-Пачини (барорецептор). Инкапсулированное нервное окончание. Кожа пальца.Окраска: гематоксилин-эозин
При малом увеличении в сетчатом слое дермы кожи найти крупные образования слоистой структуры - пластинчатое тельце Фатер-Пачини. В поперечном срезе тельца имеют округлую форму, а в продольном – овальную.
При большом увеличении рассмотреть наружную капсулу, образованную пластинчатыми глиоцитами (видоизмененными шванновскими клетками). В центре тельца видна бледно окрашенная внутренняя колба. Ветвления осевого цилиндра нервного волокна внутри тельца, глиоциты и нервные терминали при этой окраске не выявляются. Зарисовать при большом увеличении тельце Фатер-Пачини, окруженное плотной соединительной тканью сетчатого слоя дермы.
Определить, изучить и обозначить: А). Тельце Фатер-Пачини: 1. Наружная глиальная капсула и в ней; 1а) пластинчатые глиоциты; 1б) ядра глиоцитов; 2. внутренняя (глиальная) колба; 3. ветвящийся осевой цилиндр; Б) сетчатый слой дермы - плотная соединительная ткань.

Изучить демонстрационные препараты:
Препарат №46. Тигроид (базофильное вещество) в мультиполярных нейронах спинного мозга.Окраска: тионином по методу Ниссля.
При малом увеличении, передвигая препарат, в передних рогах серого вещества найти крупные мультиполярные нейроны, окрашенные в голубой цвет.
При большом увеличении изучить форму клеток и тинкториальные свойства ядра и цитоплазмы. Хромафильная субстанция богата рибонуклеопротеидами, поэтому она хорошо окрашивается основными красителями (метиленовым синим или толуидиновым синим), на этом и основан метод Ниссля. Определить светлое ядро с крупными ядрышками, базофильные гранулы в цитоплазме и у основания дендритов. В основании аксона гранул нет. Между нейроцитами видны ядра глиальных клеток (коротко лучистые астроциты).
Препарат № 53. Нейрофибриллы в нервных клетках спинного мозга.Окраска: импрегнация азотнокислым серебром по методу Кахаля.
При большом увеличении рассмотреть и изучить нейрон. Определить ядро клетки и ядрышковый аппарат, в цитоплазме рассмотреть нейрофибриллы - переплетающиеся тонкие нити, которые продолжаются параллельными пучками в отростки клеток.

Препарат № 117. Грушевидные нейроны (клетки Пуркинье). Коры мозжечка.Окраска:импрегнация азотнокислым серебром по методу Бильшовского.
Определить одну из извилин коры мозжечка. При большом увеличении в центральной части извилины определить крупные тела грушевидных нейронов, расположенных в один ряд. Дендриты клеток идут к периферии извилины, множественно ветвятся параллельно поверхности извилины. От овального основания тел нейронов вертикально отходят аксоны, формируя белое вещество, расположенное в центре извилины. Препарат изучите.
Мал ув среднее увеличение

Препарат № 116. Пирамидные клетки. Кора больших полушарий.Окраска: импрегнация азотнокислым серебром по методу Кахаля.
При малом увеличении определить серое вещество коры больших полушарий. Оно более темно окрашенное, расположенное по периферии от белого вещества.
При большом увеличении определить пирамидные клетки серого вещества. Изучить наиболее крупные пирамидные клетки - клетки Бэца. От вершины пирамидной клетки отходит длинный дендрит к поверхности коры, от боковых поверхностей пирамид в стороны отходят короткие ветвящиеся дендриты, от широкого основания клеток отходят аксоны, формируя белое вещество коры больших полушарий.
Окраска: серебрение по Кахалю. Сред ув крупн увеличение
Препарат № 108. Нервные стволики в перимизии мышцы языка кролика.Окраска: железный гематоксилин по Гейденгайну.
На малом увеличении, передвигая препарат по столику, в перимизии определить нервные стволики, как правило, расположенные вблизи артерий и вен. Нервы разные по диаметру, чаще оказываются поперечно или косо срезанные. С поверхности покрыты периневрием. Нервные волокна имеют вид светлых кружков, ядра леммоцитов расположены по периферии осевых цилиндров, мелкие, в виде точек, темно окрашенные.
Препарат № 200. Нейросекреторные гранулы в хромаффиноцитах мозгового вещества надпочечника.Окраска: Осмиевая кислота с последующей окраской фуксином.
В мозговом веществе, расположенном в центре среза, определить скопления крупных полигональных клеток, разделенных прослойками рыхлой соединительной ткани и крупными гемокапиллярами. Полигональные клетки нервного происхождения - эндокриноциты (хромаффиноциты). В цитоплазме светлых эндокриноцитов выявляются нейросекреторные осмиефильные гранулы, содержащие адреналин; в цитоплазме темных эндокриноцитов - гранулы норадреналина.
Дата добавления: 2015-07-07; просмотров: 12113;
