I. Окраска орсеином на эластические компоненты
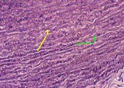
| 3,а-б. Препарат - артерия эластического типа. Аорта. Окраска орсеином. | |
а)(Малое увеличение)
Полный размер
| б)(Большое увеличение)
Полный размер
|
| 1. Согласно п. 1.1.3.3, при окраске орсеином эластические компоненты окрашиваются в вишнёво-красный или коричневыйцвет. 2. а) В данном случае, благодаря этой окраске, в средней оболочке (II) аорты обнаруживаются многочисленные окончатые мембраны (1). б) На снимках они имеют вид толстых извитых линий, расположенных концентрически. 3. а) Внутренняя оболочка (I) в данном случае очень тонкая. б) Это особенность аорты кошки, из которой приготовлен препарат. 4. В наружной оболочке (III) эластические элементы представлены тонкими волокнами. |
II. Окраска толуидиновым синим на гликозамингликаны
| 1. а) Аморфное вещество (1), лежащее между эластическими элементами (и другими компонентами) стенки аорты, богато гликозамингликанами. б) Последние, как отмечалось в п. 1.1.4, выявляются при обработке толуидиновым синим по фиолетово-красной окраске. 2. Напомним (п. 18.1.5), что эти компоненты, равно как и эластические волокна и мембраны, образуются, видимо, гладкими миоцитами (по крайней мере, в средней оболочке сосуда). | 4. Препарат - глюкозамингликаны в стенке аорты. Окраска толуидиновым синим.
Полный размер
|

18.2.3. Артерии мышечно-эластического типа
Кратко отметим особенности строения стенки этих сосудов.
| Внутренняя оболочка | Под эндотелием и хорошо выраженным подэндотелиальным слоем находится внутренняя эластическая мембрана (а не сплетение эластических волокон, как в аорте). |
| Средняя оболочка | Уже отмечалось, что миоциты и эластические элементы (волокна и окончатые мембраны) содержатся в t. media данных сосудов в примерно равном количестве. |
| Наружная оболочка | Пучки миоцитов располагаются также в t. externa
(наряду с обычными компонентами этой оболочки -
рыхлой соединительной тканью, vasa vasorum и адипоцитами).
|

18.2.4. Артерии мышечного типа
Дата добавления: 2015-07-18; просмотров: 3338;

Полный размер
Полный размер
Полный размер
рыхлой соединительной тканью,