Некроз. Апоптоз.
Общая патологическая анатомия. Повреждение и гибель клеток и тканей. Некроз. Апоптоз.
Повреждение (альтерация)— это вызванное внешним (экзогенным) или внутренним (эндогенным) воздействием нарушение структуры и функции клеток, тканей, органов или частей тела.Виды повреждения (альтерации) клеток: дистрофии, некроз, апоптоз
Дистрофии (внутриклеточные и внеклеточные накопления) — это преимущественно обратимые нарушения обмена веществ (трофики), морфологически выражающиеся изменением содержания (чаще — накоплением) в клетках или тканях нормальных или качественно измененных, а также аномальных метаболитов (воды, белков, жиров, углеводов, пигментов и др.).
Некроз — это смерть клеток, тканей, органов и частей тела в живом организме. Некроз — это общепатологический процесс, вид повреждения (альтерации), наиболее распространенный тип гибели клеток, вызванный экзогенными или эндогенными повреждающими воздействиями. Стадии некроза: паранекроз, некробиоз, смерть клетки, аутолиз и гетеролиз. Аутолиз — ферментное самопереваривание (лизис) клетки, гетеролиз — ферментное переваривание погибшей клетки либо ее частей фагоцитами и соседними клетками. Клинико-морфологические виды некроза: коагуляционный (сухой) некроз, колликвационный (влажный) некроз, гангрена (сухая и влажная гангрена, пролежень, нома), секвестр, казеозный (творожистый) некроз, фибриноидный некроз, восковидный (ценкеровский) некроз, жировой (ферментный) некроз (стеатонекроз), инфаркт (сосудистый, ишемический, ангиогенный некроз). Исходы некроза. Благоприятные: полная репаративная регенерация (реституция), неполная репаративная регенерация (субституция) — рубцевание, инкапсуляция, кальцификация (обызвествление), оссификация, резорбция некротических масс–формирование псевдокисты («кисты»), секвестрация, мутиляция («самоампутация»).
Неблагоприятные: гнойное расплавление (асептическое или инфицированное, вплоть до развития сепсиса).
Апоптоз— это общепатологический процесс, вид гибели клеток («программированная клеточная гибель»), реализующийся вследствие последовательной активации «генов смерти» и ферментов «суицидального биохимического пути». Апоптоз — это генетически контролируемое и требующие затрат энергии самоуничтожение клетки приспособительного характера или под влиянием слабых экзогенных и эндогенных повреждающих факторов, не вызывающих дистрофию и некроз.
Перечень препаратов, изучаемых на занятии: макропрепараты- костный секвестр при хроническом остеомиелите челюстнх костей, казеозный некроз лимфатического узла при туберкулезе, инфаркт миокарда, ишемический инфаркт почки, гангрена стопы; микропрепараты -баллонная дистрофия одонтобластов при глубоком кариесе, хронический остеомиелит челюстных костей, стадия секвестрации, казеозный некроз шейного лимфатического узла при туберкулезе, исчезновение гликогена из кардиомиоцитов в зоне ишемии миокарда (ШИК или PAS-реакция), некроз миндалин при лейкозе — «некротическая ангина», некроз и апоптоз лимфоцитов фолликулов селезенки, апоптозные тельца (тельца Каунсильмена) при вирусном гепатите; электронограммы -баллонная дистрофия одонтобласта, апоптозное тельце (тельце Каунсильмена) при вирусном гепатите.

А б
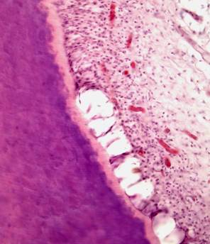
Рис. 1-1, а, б. Микропрепараты «Баллонная дистрофия одонтобластов при глубоком кариесе». Одонтобласты увеличены в размерах (1), в их цитоплазме крупные вакуоли, напоминающие «баллоны», заполненные цитоплазматической жидкостью, оттесняющие ядра и органеллы на периферию клетки (фокальный колликвационный некроз клетки). 2 – дентин, 3 – пульпа зуба (пульпит). Окраска гематоксилином и эозином, а –х120, б – х400.
а
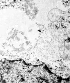
Рис. 1-2, Электронограмма«Баллонная дистрофия одонтобласта при глубоком кариесе». В цитоплазме одонтобласта - крупные вакуоли («баллоны») (1), органеллы и ядро(2) клетки смещены на периферию, кариопикноз, деструктивные изменения митохондрий (3).

А

Б
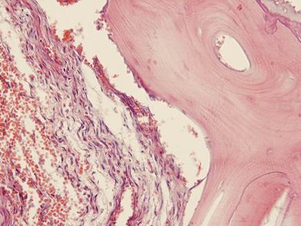
Рис. 1-4, а, б. Микропрепараты «Хронический остеомиелит челюстных костей, стадия секвестрации». а – костный секвестр (бесклеточный фрагмент костной балки - 1) и секвестральная соединительнотканная капсула (2), б – гнойное воспаление (гнойный экссудат состоит преимущественно из живых и погибших нейтрофильных лейкоцитов — гнойных телец) (3). Окраска гематоксилином и эозином, х200 (препараты Г.Н.Берченко) .

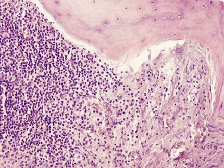
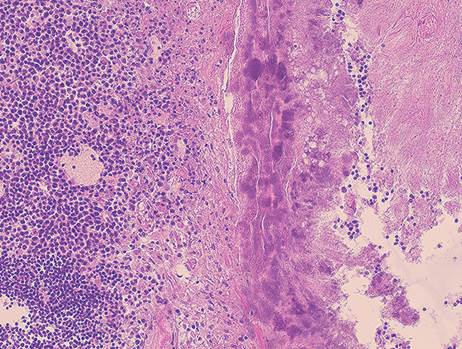
Рис. 1-6, Микропрепарат «Казеозный некроз шейного лимфатического узла при туберкулезе».Эозинофильные очаги казеозного (творожистого) некроза (1) в ткани лимфатического узла, окруженные «частоколом» из эпителиоидных клеток, скоплениями макрофагов и лимфоцитов (2), среди которых видны единичные гигантские многоядерные клетки Пирогова-Лангханса.Окраска гематоксилином и эозином, х120.
|
|
|
|
А
|
|
|
|
Б
Рис. 1-7, а, б. Макропрепараты «Инфаркт миокарда» Очаг некроза (1) неправильной геометрической формы, пестрого вида, желтовато-серого цвета с красными очажками, дряблой консистенции, западает на разрезе, окружен геморрагическим венчиком красного цвета (зоной демаркационного воспаления) - вид инфаркта — белый с геморрагическим венчиком,давность инфаркта – около 3 суток.

Рис. 1-8. Микропрепарат«Исчезновение гликогена из кардиомиоцитов в зоне ишемии миокарда»(1 – сохраннные кардиомиоциты, содержащие в цитоплазме фиолетово-малиного цвета гранулы гликогена, 2 – кардиомиоциты в зоне ишемии, их цитоплазма не окрасилась). PAS-реакция, х100 (из: «Атлас по патологической анатомии», Пальцев М.А., Пономарев А.Б., Берестова А.В., М.: Медицина, 2003).

Рис. 1-11. Микропрепарат «Некроз миндалин при лейкозе» («некротическая ангина»).Некроз покровного многослойного плоского эпителия миндалины, обширные очаги некроза лимфоидной ткани, окруженные воспалительным инфильтратом из полиморфноядерных лейкоцитов, расширенные полнокровные сосуды (демаркационное воспаление). 1 – некротический детрит с колониями бактерий, 2 – ткань миндалины с с демаркационным воспалением и лейкозной инфильтрацией.Окраска гематоксилином и эозином, х200.

А

Б
Рис. 1-12, а, б. Микропрепараты «Некроз и апоптоз лимфоцитов фолликулов селезенки».В светлом (герминативном) центре лимфоидного фолликула – апоптозные тельца и фрагменты некротизированных лимфоцитов (с признаками кариопикноза, кариорексиса) фагоцитируются фолликулярными дендритными клетками и макрофагами.Окраска гематоксилином и эозином, а - х200, б- 400.

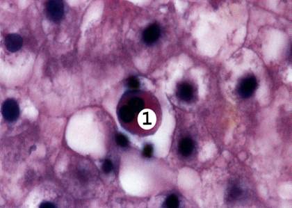
Рис. 1-13. Микропрепарат «Апоптозное тельце (тельце Каунсильмена [1]) при вирусном гепатите».В составе балок гепатоцитов (иногда могут выступать в пространства Диссе) - крупное апоптозное тельце с уплотненной эозинофильной цитоплазмой, сохранившимся пикнотичным и фрагментированным ядром. 2 – гидропическая (баллонная дистрофия гепатоцитов).Окраска гематоксилином и эозином, х600 (из: «Атлас по патологической анатомии», Пальцев М.А., Пономарев А.Б., Берестова А.В., М.: Медицина, 2003)

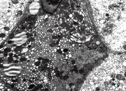
Рис. 1-14. Электронограмма «Апоптозное тельце (тельце Каунсильмена) при вирусном гепатите».Цитоплазма уплотнена, с компактным расположением органелл, фрагмент ядра (1) с конденсацией хроматина под ядерной мембраной гепатоцита, ставшего апоптозным тельцем(из: «Атлас по патологической анатомии», Пальцев М.А., Пономарев А.Б., Берестова А.В., М.: Медицина, 2003).
| <== предыдущая лекция | | | следующая лекция ==> |
| Тема 2.3 Практические расчеты на срез и смятие | | | Вопрос 1. Конкурентная среда, конкурентное преимущество и стратегии. |
Дата добавления: 2015-09-11; просмотров: 4152;
