Тема. Включения цитоплазмы.

Фото 27. Включения жира (1) в жировых клетках кожи. Окраска Суданом III.

Фото 28. Включения жира (1) в клетках печени аксолотля. Окраска осмиевой кислотой с докраской ядер сафранином.

Фото 29. Включения гликогена (1) в печени аксолотля.Окраска по методу Беста.

Фото 30. Включения белка (желточные пластинки) (1) в бластомерах амфибии.Окраска: пикрофуксин.

Фото 31. Секреторные белковые включения (1) в клетках Лейдига кожи аксолотля. Окраска: гематоксилин-эозин.

Фото 32. Пигментные включения в клетках кожи головастика. Препарат не окрашен.

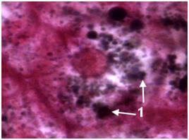
Фото 33. Малярийная пигментация клеток печени. Окраска: гематоксилин-эозин.

Фото 34. Малярийная пигментация клеток селезенки. Окраска: гематоксилин-эозин.
Дата добавления: 2015-08-08; просмотров: 4158;
